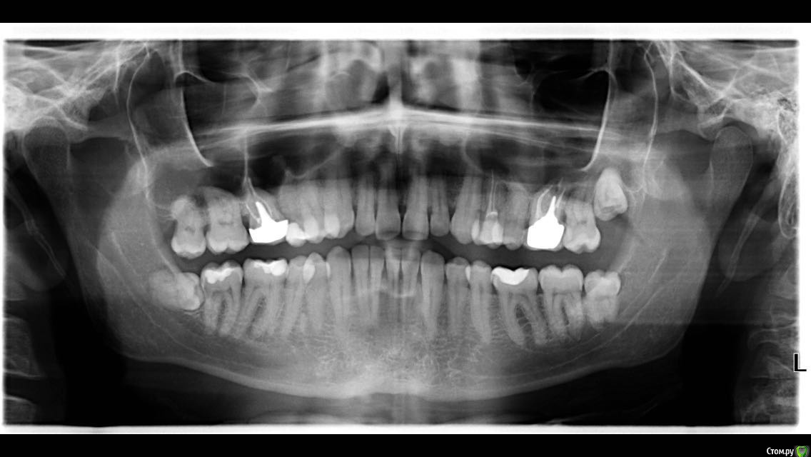
Натали-пац Опубликовано 21 марта, 2016 Поделиться Опубликовано 21 марта, 2016 Добрый день! Уважаемые врачи оцените нужность удаления всех 8 зубов. Лежачий уже удален) Можно ли оставить остальные? Зубы мужа, боится..)Заранее всем спасибо Ссылка на комментарий
red_butler Опубликовано 21 марта, 2016 Поделиться Опубликовано 21 марта, 2016 Удалить и забыть, если боится то под седацией и все сразу. 3 Ссылка на комментарий
rivezico Опубликовано 21 марта, 2016 Поделиться Опубликовано 21 марта, 2016 Лучше убрать. 1 Ссылка на комментарий
Salma Опубликовано 21 марта, 2016 Поделиться Опубликовано 21 марта, 2016 удалять и не бояться 1 Ссылка на комментарий
Doctor Vlad Опубликовано 21 марта, 2016 Поделиться Опубликовано 21 марта, 2016 Самый суровый уже убрали 3 Ссылка на комментарий
Nazim_NV86 Опубликовано 21 марта, 2016 Поделиться Опубликовано 21 марта, 2016 Оставшиеся зубы - семечки для истинного хЕрурга. Ссылка на комментарий
Рекомендуемые сообщения
Для публикации сообщений создайте учётную запись или авторизуйтесь
Вы должны быть пользователем, чтобы оставить комментарий
Создать аккаунт
Зарегистрируйте новый аккаунт в нашем сообществе. Это очень просто!
Регистрация нового пользователяВойти
Уже есть аккаунт? Войти в систему.
Войти