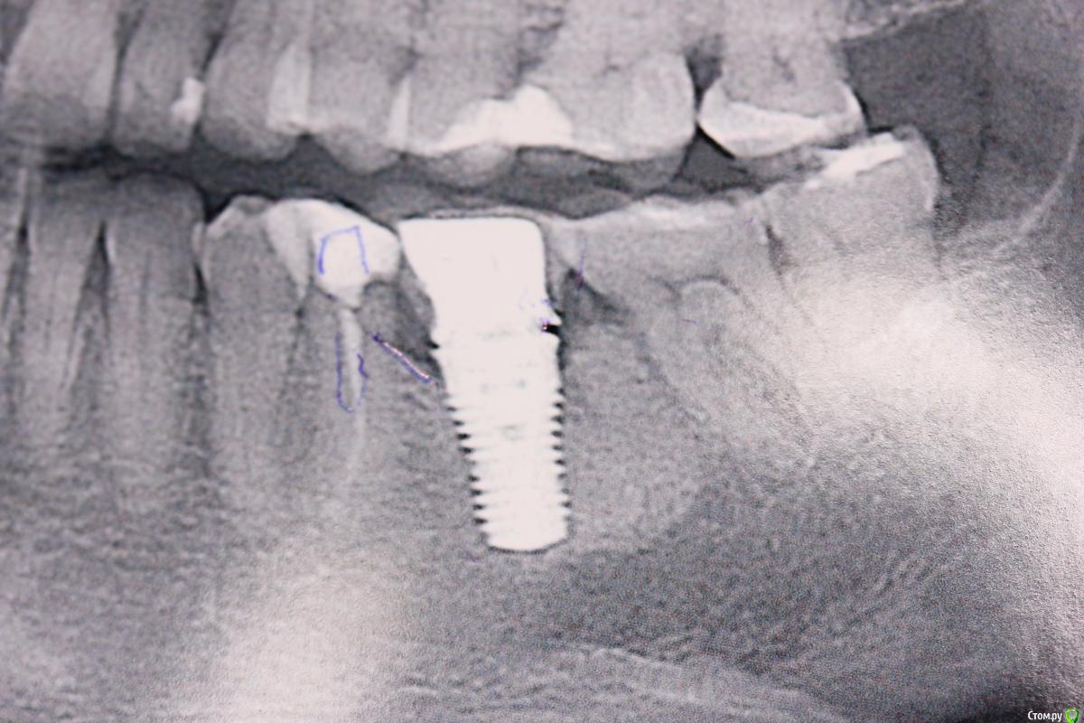
Kazaev77 Опубликовано 21 марта, 2016 Поделиться Опубликовано 21 марта, 2016 Добрый день коллеги.Решили пациенту переделать коронку на имплантате. Но с такой системой не встречались.Может кто подскажет ? Ссылка на комментарий
АнтонТЛТ Опубликовано 21 марта, 2016 Поделиться Опубликовано 21 марта, 2016 А в чем проблема сделать на этом же абатменте? Цементно-винтовую фиксацию, например. Ссылка на комментарий
Доктор Добрых Дел Опубликовано 21 марта, 2016 Поделиться Опубликовано 21 марта, 2016 Похоже на straumann TE. Но на 100% не уверен. 2 Ссылка на комментарий
Kazaev77 Опубликовано 21 марта, 2016 Автор Поделиться Опубликовано 21 марта, 2016 Слепки как снять не зная слепочных трансферов? Ссылка на комментарий
K.E. Опубликовано 21 марта, 2016 Поделиться Опубликовано 21 марта, 2016 Слепки как снять не зная слепочных трансферов?на абатменте из патерна сделайте самодельный трансфер Ссылка на комментарий
Kazaev77 Опубликовано 21 марта, 2016 Автор Поделиться Опубликовано 21 марта, 2016 Трансфер сделал. Аналог не очень получается Ссылка на комментарий
andr99 Опубликовано 21 марта, 2016 Поделиться Опубликовано 21 марта, 2016 Straumann TE. Судя по всему, WN (широкая шейка) 1 Ссылка на комментарий
Kazaev77 Опубликовано 23 марта, 2016 Автор Поделиться Опубликовано 23 марта, 2016 Спасибо. Точно она. Нашел и аналог 1 Ссылка на комментарий
Рекомендуемые сообщения
Для публикации сообщений создайте учётную запись или авторизуйтесь
Вы должны быть пользователем, чтобы оставить комментарий
Создать аккаунт
Зарегистрируйте новый аккаунт в нашем сообществе. Это очень просто!
Регистрация нового пользователяВойти
Уже есть аккаунт? Войти в систему.
Войти