Mane Опубликовано 18 марта, 2016 Автор Поделиться Опубликовано 18 марта, 2016 12 Ссылка на комментарий
rivezico Опубликовано 18 марта, 2016 Поделиться Опубликовано 18 марта, 2016 суши-мастер 2016 3 Ссылка на комментарий
Magomed Опубликовано 19 марта, 2016 Поделиться Опубликовано 19 марта, 2016 отлично 1 Ссылка на комментарий
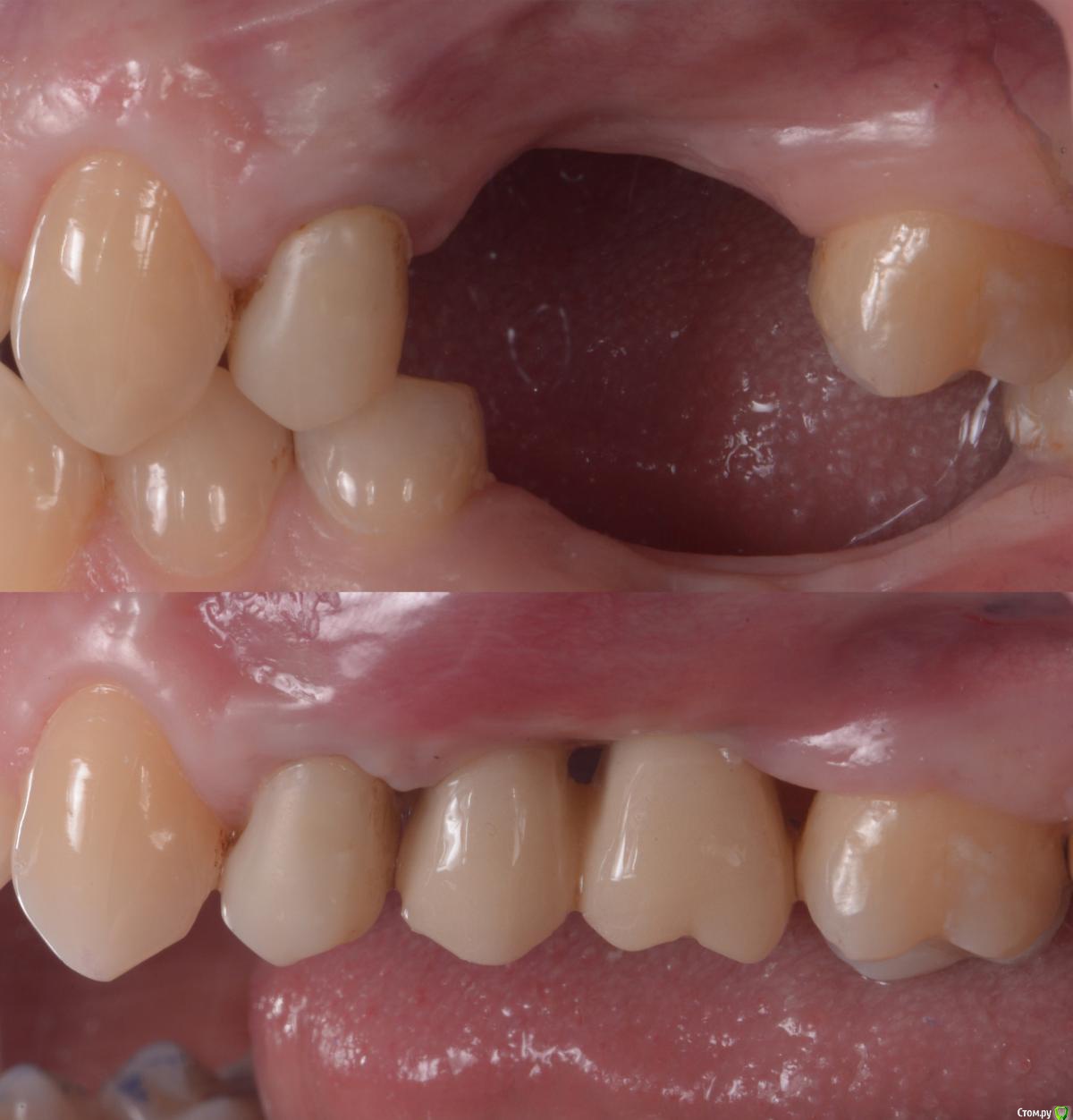
Doctorstomlis Опубликовано 19 марта, 2016 Поделиться Опубликовано 19 марта, 2016 Сами импланты устанавливались на уровне гребня?А что в них вкручено?Это такие формирователи?Извините,но я просто не разглядела.Результат-класс!!!Спасибо,Эдуард! Ссылка на комментарий
Mane Опубликовано 19 марта, 2016 Автор Поделиться Опубликовано 19 марта, 2016 Сами импланты устанавливались на уровне гребня?А что в них вкручено?Это такие формирователи?Извините,но я просто не разглядела.Результат-класс!!!Спасибо,Эдуард!даупиленные формирователи по типу Гамбореновскихспс Ссылка на комментарий
Tari Опубликовано 22 марта, 2016 Поделиться Опубликовано 22 марта, 2016 Эдуард,пациент отказался от костной пластики сам, поэтому Вы прибегнули к мягкотканной аугментации? 1 Ссылка на комментарий
Рекомендуемые сообщения
Для публикации сообщений создайте учётную запись или авторизуйтесь
Вы должны быть пользователем, чтобы оставить комментарий
Создать аккаунт
Зарегистрируйте новый аккаунт в нашем сообществе. Это очень просто!
Регистрация нового пользователяВойти
Уже есть аккаунт? Войти в систему.
Войти