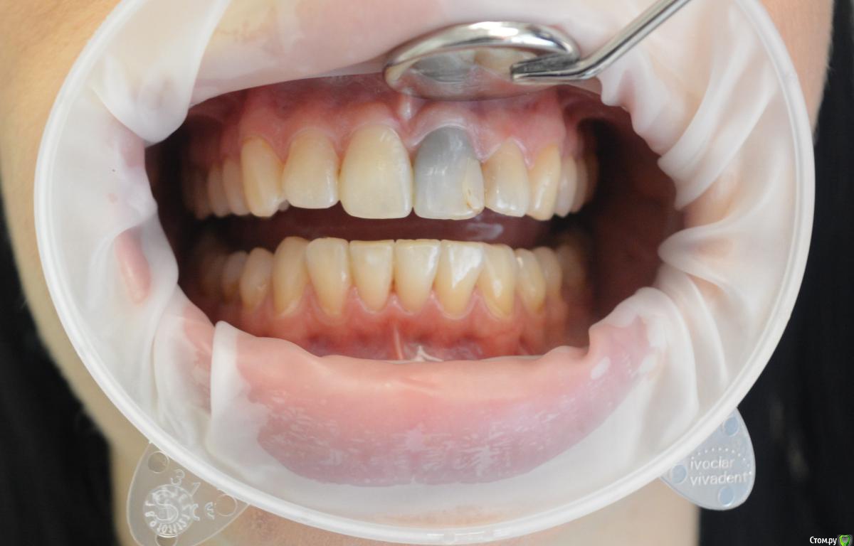
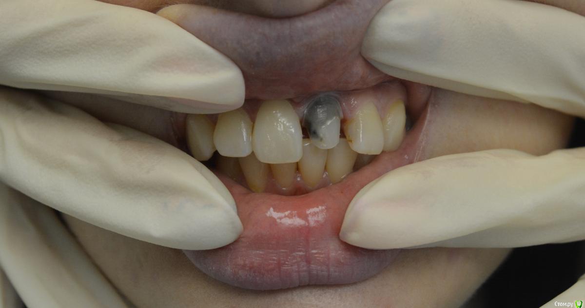
alekcandr ovs. Опубликовано 17 марта, 2016 Поделиться Опубликовано 17 марта, 2016 анамнез , зуб после травмы ,изменил цвет,питались отбелить эндодонтически добились временного результата,через год после отбеливания зуб потемнел еще больше.вопрос. планируется безметал E/max,не будет ли фонить культя через коронку???Спасибо Ссылка на комментарий
chervoncevdaniil Опубликовано 17 марта, 2016 Поделиться Опубликовано 17 марта, 2016 Есть у emax таблетки,которые могут перекрыть такой цвет,все зависит от техника.Либо если не хотите головняк с попаданием в цвет на безметалле выберете каркасную керамику Ссылка на комментарий
Beznika Опубликовано 17 марта, 2016 Поделиться Опубликовано 17 марта, 2016 почему emaX? чё бы циркон не попробовать... разница в мм?? )) зуб вообще мёртвый ...можно и керамику грамотную сделать не хуже емакса будет Ссылка на комментарий
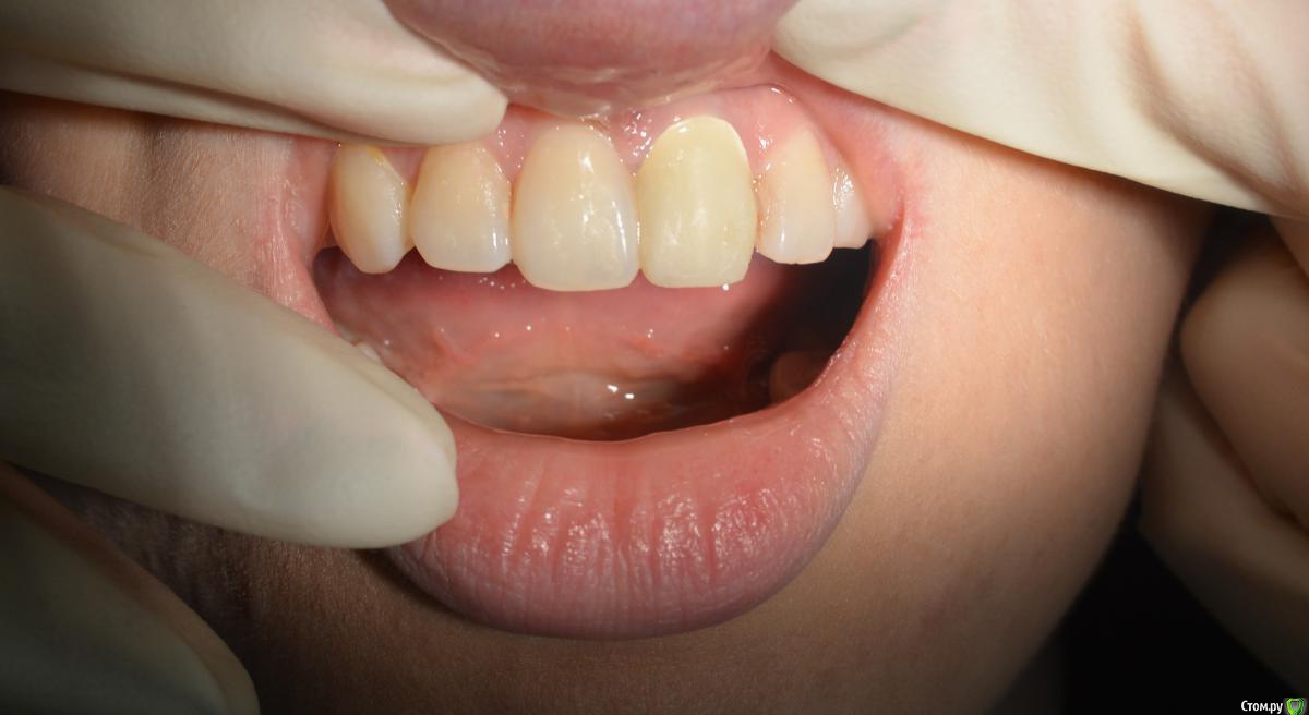
alekcandr ovs. Опубликовано 17 марта, 2016 Автор Поделиться Опубликовано 17 марта, 2016 (изменено) после препа... толщина временной коронки вестиб....1.7-2.5мм.Какие таблетки лучше взять??? Изменено 17 марта, 2016 пользователем alekcandr ovs. Ссылка на комментарий
4ebstom Опубликовано 18 марта, 2016 Поделиться Опубликовано 18 марта, 2016 Есть контакт с техником?Почему бы с ним не обсудить? 2 Ссылка на комментарий
Рекомендуемые сообщения
Для публикации сообщений создайте учётную запись или авторизуйтесь
Вы должны быть пользователем, чтобы оставить комментарий
Создать аккаунт
Зарегистрируйте новый аккаунт в нашем сообществе. Это очень просто!
Регистрация нового пользователяВойти
Уже есть аккаунт? Войти в систему.
Войти