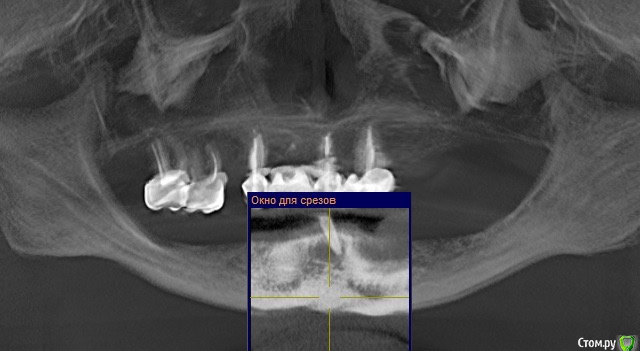
Andre_ Опубликовано 17 марта, 2016 Поделиться Опубликовано 17 марта, 2016 Из анамнеза : Ж, 25 лет, HCv, финансы на зубы лимитированы. Фото 1 до, фото 2 и 3 - около 5 мес. Ортопед хотел/хочет шаровидные абатменты и условно съёмный. Фото во рту утеряно, простит : Биотип тонкий, в позиции 3.3 вместе с шурупом НКР, успешно сьедено, вторичке. Сейчас шея и витки светятся через слизистую. Подвижная слизистая начинается по вершине гребня. Цель - изобразить пкд вокруг имплантов, что посоветуете? Есть смысл углублять преддверие, если да - как? Буду признателен совету, пока план дальнейших действий невразумительный. Ссылка на комментарий
Mane Опубликовано 17 марта, 2016 Поделиться Опубликовано 17 марта, 2016 Сделайте в два этапа. Сначала везде шашлык. Спустя 3 недели - преддверие апикально смещенным лоскутом. Ссылка на комментарий
Andre_ Опубликовано 17 марта, 2016 Автор Поделиться Опубликовано 17 марта, 2016 Спасибо; то бишь, сейчас под расщепленный лоскут Сдт на формирователе, а через месяц - углубить смещенным в области имплантов? Или по всему своду преддверия, в проекции ложа будущего протеза? Ссылка на комментарий
Рекомендуемые сообщения
Для публикации сообщений создайте учётную запись или авторизуйтесь
Вы должны быть пользователем, чтобы оставить комментарий
Создать аккаунт
Зарегистрируйте новый аккаунт в нашем сообществе. Это очень просто!
Регистрация нового пользователяВойти
Уже есть аккаунт? Войти в систему.
Войти