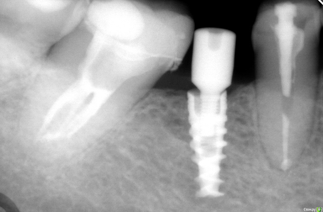
simpsons Опубликовано 16 марта, 2016 Поделиться Опубликовано 16 марта, 2016 Вот такая борода! слезалась резьба внутри импланта! формировалель вкрутил ,но с большим усилием и скрипом метала! у кого какие варианты выхода из этой ситуации? Ссылка на комментарий
Карен Аванесов Опубликовано 16 марта, 2016 Поделиться Опубликовано 16 марта, 2016 Надежный вариант один, выкрутить и поставить новый имплантат. 2 Ссылка на комментарий
АнтонТЛТ Опубликовано 16 марта, 2016 Поделиться Опубликовано 16 марта, 2016 Перекрутить, резьбу только еще сильнее испортили. Ссылка на комментарий
КДБ Опубликовано 16 марта, 2016 Поделиться Опубликовано 16 марта, 2016 после реставрации зуба шахта импл не позволила Вам установить ФДМ в правильное положение и вкрутили его с усилием под углом(((. Убирайте реставрацию,оценивайте состояние "внутренностей" имплантата и поступайте по ситуации. Ссылка на комментарий
simpsons Опубликовано 16 марта, 2016 Автор Поделиться Опубликовано 16 марта, 2016 Жалко выкручивать имплант....интегрировался ведь... Кроме удаления импланта есть предложения? Ссылка на комментарий
simpsons Опубликовано 16 марта, 2016 Автор Поделиться Опубликовано 16 марта, 2016 после реставрации зуба шахта импл не позволила Вам установить ФДМ в правильное положение и вкрутили его с усилием под углом(((. Убирайте реставрацию,оценивайте состояние "внутренностей" имплантата и поступайте по ситуации.После того ,как я увидел,что формирователь идет под углом,то снял временную коронку и поставил в правильное положение его. Усилие в первый раз было небольшое. Ссылка на комментарий
Kovalov Igor Опубликовано 16 марта, 2016 Поделиться Опубликовано 16 марта, 2016 это же SPI? у данных имплантов нет набора для нарезания резьбы ? видел такие в каталоге у Дентиум. Ссылка на комментарий
Большой Зеленый Опубликовано 16 марта, 2016 Поделиться Опубликовано 16 марта, 2016 Можно туда шикарную вкладку замастырить)) 7 Ссылка на комментарий
simpsons Опубликовано 16 марта, 2016 Автор Поделиться Опубликовано 16 марта, 2016 это же SPI? у данных имплантов нет набора для нарезания резьбы ? видел такие в каталоге у Дентиум. Вы правы! Ссылка на комментарий
simpsons Опубликовано 16 марта, 2016 Автор Поделиться Опубликовано 16 марта, 2016 Можно туда шикарную вкладку замастырить))слыхал о таком!Резьба слизывается где- на середине резьбы импланта...я думаю,может укоротить винт? Ссылка на комментарий
Большой Зеленый Опубликовано 16 марта, 2016 Поделиться Опубликовано 16 марта, 2016 Не надо ничего укорачивать. Формирователь выкрутить ,а резьбу внутри скромсать фрезой для снятия коронок ,только очень плавно и нежно. Дальше слепок и техникам.. Ссылка на комментарий
simpsons Опубликовано 16 марта, 2016 Автор Поделиться Опубликовано 16 марта, 2016 Не надо ничего укорачивать. Формирователь выкрутить ,а резьбу внутри скромсать фрезой для снятия коронок ,только очень плавно и нежно. Дальше слепок и техникам.. Зеленый,попробовал на моделе укоротить винт и все получилось!теперь главное, что бы во рту получилось! Ссылка на комментарий
Большой Зеленый Опубликовано 16 марта, 2016 Поделиться Опубликовано 16 марта, 2016 А как потом протезировать? Как прикрутить трансфер? Ссылка на комментарий
Fibez Опубликовано 16 марта, 2016 Поделиться Опубликовано 16 марта, 2016 Большой зеленый, не надо портить хорошую идею провокационными вопросами Ссылка на комментарий
АнтонТЛТ Опубликовано 16 марта, 2016 Поделиться Опубликовано 16 марта, 2016 это же SPI? у данных имплантов нет набора для нарезания резьбы ? видел такие в каталоге у Дентиум. Можно без набора http://i73.fastpic.ru/big/2016/0316/88/3f4fa9d6ce9bce7daf439c11887d1f88.png 1 Ссылка на комментарий
simpsons Опубликовано 16 марта, 2016 Автор Поделиться Опубликовано 16 марта, 2016 Можно без набора Круто!!!! Спасибо, Антон!!!! Вот как раз на такую длину и укоротил! Ссылка на комментарий
simpsons Опубликовано 16 марта, 2016 Автор Поделиться Опубликовано 16 марта, 2016 Но лучше не укорачивать,а как Антон показал,сгладить витки! Ссылка на комментарий
simpsons Опубликовано 16 марта, 2016 Автор Поделиться Опубликовано 16 марта, 2016 Можно без набора А как книга называется? Ссылка на комментарий
АнтонТЛТ Опубликовано 16 марта, 2016 Поделиться Опубликовано 16 марта, 2016 http://i75.fastpic.ru/big/2016/0316/d8/41ddd7cfa37c6b37cba3ebae87c112d8.png Очень хорошая книга, много интересного)) 2 Ссылка на комментарий
simpsons Опубликовано 16 марта, 2016 Автор Поделиться Опубликовано 16 марта, 2016 Спасибо!) Ссылка на комментарий
zubovnet Опубликовано 16 марта, 2016 Поделиться Опубликовано 16 марта, 2016 Антон, а в электронном виде данной книги нет? Ссылка на комментарий
АнтонТЛТ Опубликовано 16 марта, 2016 Поделиться Опубликовано 16 марта, 2016 Есть на просторах интернета, у меня в телефоне она Ссылка на комментарий
Рекомендуемые сообщения
Для публикации сообщений создайте учётную запись или авторизуйтесь
Вы должны быть пользователем, чтобы оставить комментарий
Создать аккаунт
Зарегистрируйте новый аккаунт в нашем сообществе. Это очень просто!
Регистрация нового пользователяВойти
Уже есть аккаунт? Войти в систему.
Войти