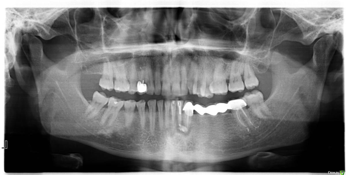
Гранит Опубликовано 13 марта, 2016 Поделиться Опубликовано 13 марта, 2016 Уважаемые стоматологи, прошу совета по имеющейся ситуации.41 зуб беспокоил год назад, его пытались лечить, вложив лекарство в канал. Год проходил без жалоб.Теперь опять стал побаливать, 41 и 42 пошатываются Как мне объяснили под 41, 42 и 43 зубами имеется киста. 43 и 47 являютя опорными для моста- эти зубы меня не беспокоят.Но, тем не менее врач считает что и 43 зуб требует удаления, а соответственно и мост удалять, Иначе в кости будет идти процесс разрушения.Предлагают: мост отпилить оставив коронку на 47 зубе. 41, 42, 43 удалить вместе с основной частью моста. Действительно ли опорный зуб - 43 требуется удалять?Может удалить 41, 42, а мост пока оставить. Или это приведет к дальнейшему развитию кисты?КТ 1.docКТ 2.doc Ссылка на комментарий
red_butler Опубликовано 13 марта, 2016 Поделиться Опубликовано 13 марта, 2016 Если судить только по снимкам, то повторное лечение корневых каналов и цистэктомия. Мост снимать и имплантировать участок где потеряны зубы.И 1.4 зуб перелечивать. 1 Ссылка на комментарий
Гранит Опубликовано 14 марта, 2016 Автор Поделиться Опубликовано 14 марта, 2016 Правильно ли будет провести повторное лечение корневых каналов и провести цистэктомию, как Вы говорите, но мост пока оставить на год-полтора, имплатацию спланировать через год-полтора.. Ссылка на комментарий
red_butler Опубликовано 14 марта, 2016 Поделиться Опубликовано 14 марта, 2016 Правильно ли будет провести повторное лечение корневых каналов и провести цистэктомию, как Вы говорите, но мост пока оставить на год-полтора, имплатацию спланировать через год-полтора..протяженность мостовидного протеза такая большая, что перегрузка опорных зубов их скоро доконает, и Вы вылечив одно, удалите клык по другой причине. 3 Ссылка на комментарий
Гранит Опубликовано 15 марта, 2016 Автор Поделиться Опубликовано 15 марта, 2016 Отодвинуть срок удаления протеза планировал из финансовых соображений (подсобрать сумму на имплатанты) Ссылка на комментарий
Рекомендуемые сообщения
Для публикации сообщений создайте учётную запись или авторизуйтесь
Вы должны быть пользователем, чтобы оставить комментарий
Создать аккаунт
Зарегистрируйте новый аккаунт в нашем сообществе. Это очень просто!
Регистрация нового пользователяВойти
Уже есть аккаунт? Войти в систему.
Войти