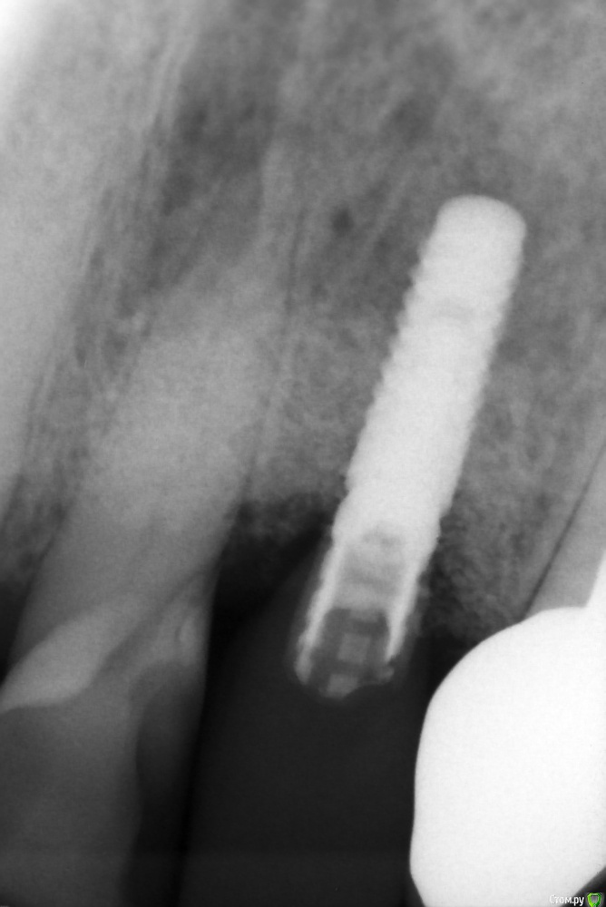
andr99 Опубликовано 13 марта, 2016 Поделиться Опубликовано 13 марта, 2016 (изменено) Имплантат не мой. Пациент пришёл ко мне уже вот так. Ранее была проведена нкр +имплантация не очень удачно - винт потеряли. Повторная имплантация с пластинкой десны (вроде как vip-ct) тоже, как видно, не особо здорово.От удаления винта и "все по новой" категорически отказался.http://s019.radikal.ru/i640/1603/31/e82f0fc87237.jpgСитуация после пластики сст с бугра и года ношения коронкиhttp://s020.radikal.ru/i709/1603/40/55a1fb73f3ab.jpg Изменено 13 марта, 2016 пользователем andr99 19 Ссылка на комментарий
Maxfac Опубликовано 13 марта, 2016 Поделиться Опубликовано 13 марта, 2016 А сколько прошло времени после вашего вмешательства? И что с аппроксимацией костью у 2.1? Ссылка на комментарий
andr99 Опубликовано 13 марта, 2016 Автор Поделиться Опубликовано 13 марта, 2016 Год после пластики 1 Ссылка на комментарий
Maxfac Опубликовано 13 марта, 2016 Поделиться Опубликовано 13 марта, 2016 Будете предпринимать попытку добавить ещё тканей? Ссылка на комментарий
kriokov Опубликовано 13 марта, 2016 Поделиться Опубликовано 13 марта, 2016 andr99что могло выросло, штрауманн нормально стоит. У меня такое впечатление сложилось, что там все проблемы из за голого корня 21, реставрация там так себе, выше эмалецем границы похоже все контаминировано. 2 Ссылка на комментарий
Kostoprav Опубликовано 13 марта, 2016 Поделиться Опубликовано 13 марта, 2016 отличный результат! а как вы сст подшивали?у меня очень похожая ситуация есть, два раза сст подшивал-результат не айс( Ссылка на комментарий
IvanK Опубликовано 14 марта, 2016 Поделиться Опубликовано 14 марта, 2016 а где же фото этапов?) 2 Ссылка на комментарий
andr99 Опубликовано 14 марта, 2016 Автор Поделиться Опубликовано 14 марта, 2016 Будете предпринимать попытку добавить ещё тканей? Пациент не горит желанием(( ему и так все нравитсяandr99что могло выросло, штрауманн нормально стоит. У меня такое впечатление сложилось, что там все проблемы из за голого корня 21, реставрация там так себе, выше эмалецем границы похоже все контаминировано. Вот и у меня возникло подозрение, что все бы и так выросло)))Реставрацию, на сколько помню, делали уже по факту.. 1 Ссылка на комментарий
andr99 Опубликовано 14 марта, 2016 Автор Поделиться Опубликовано 14 марта, 2016 а где же фото этапов?)Ваня, ради тебя поднял архив))но не подробно(( http://s019.radikal.ru/i642/1603/d0/cea79cc485cf.jpghttp://s017.radikal.ru/i404/1603/88/5bd602e3d775.jpghttp://s018.radikal.ru/i503/1603/87/02222919d960.jpghttp://s019.radikal.ru/i603/1603/9d/8fe7596ffdd3.jpg 9 Ссылка на комментарий
Карен Аванесов Опубликовано 16 марта, 2016 Поделиться Опубликовано 16 марта, 2016 Андрей, линия улыбки какая? Ссылка на комментарий
andr99 Опубликовано 16 марта, 2016 Автор Поделиться Опубликовано 16 марта, 2016 Карен, низкая + мужчина в возрасте. Даже при активной мимике десна не визуализируется.Основным требованием была возможность адекватной гигиены. Пока смотрел старые фотки операции возник вопрос. Вспомнил, насколько сложно было мобилизовать ткани в области имплантата из-за рубцов - там просто все дубовое было.Тоннель был от 11 до 23, но все равно, мне показалось недостаточна мобильности слизистой у имплантата.Какие есть советы и мнения на этот счет? Ссылка на комментарий
Карен Аванесов Опубликовано 16 марта, 2016 Поделиться Опубликовано 16 марта, 2016 Ты сделал свою работу, теперь ход ортопеда. Ссылка на комментарий
Ст@ся Опубликовано 25 марта, 2016 Поделиться Опубликовано 25 марта, 2016 Потенциал есть еще для бОльшего объема ))) Ссылка на комментарий
Nazim_NV86 Опубликовано 29 марта, 2016 Поделиться Опубликовано 29 марта, 2016 (изменено) Корень 21 ещё бы обработать кюретой. Зуб же витальный. Шансы есть. Хотя если пац сам по себе доволен, убедить будет сложно. Изменено 29 марта, 2016 пользователем Nazim_NV86 Ссылка на комментарий
andr99 Опубликовано 30 марта, 2016 Автор Поделиться Опубликовано 30 марта, 2016 Зуб кюретил и доксициклинил) Ссылка на комментарий
Рекомендуемые сообщения
Для публикации сообщений создайте учётную запись или авторизуйтесь
Вы должны быть пользователем, чтобы оставить комментарий
Создать аккаунт
Зарегистрируйте новый аккаунт в нашем сообществе. Это очень просто!
Регистрация нового пользователяВойти
Уже есть аккаунт? Войти в систему.
Войти