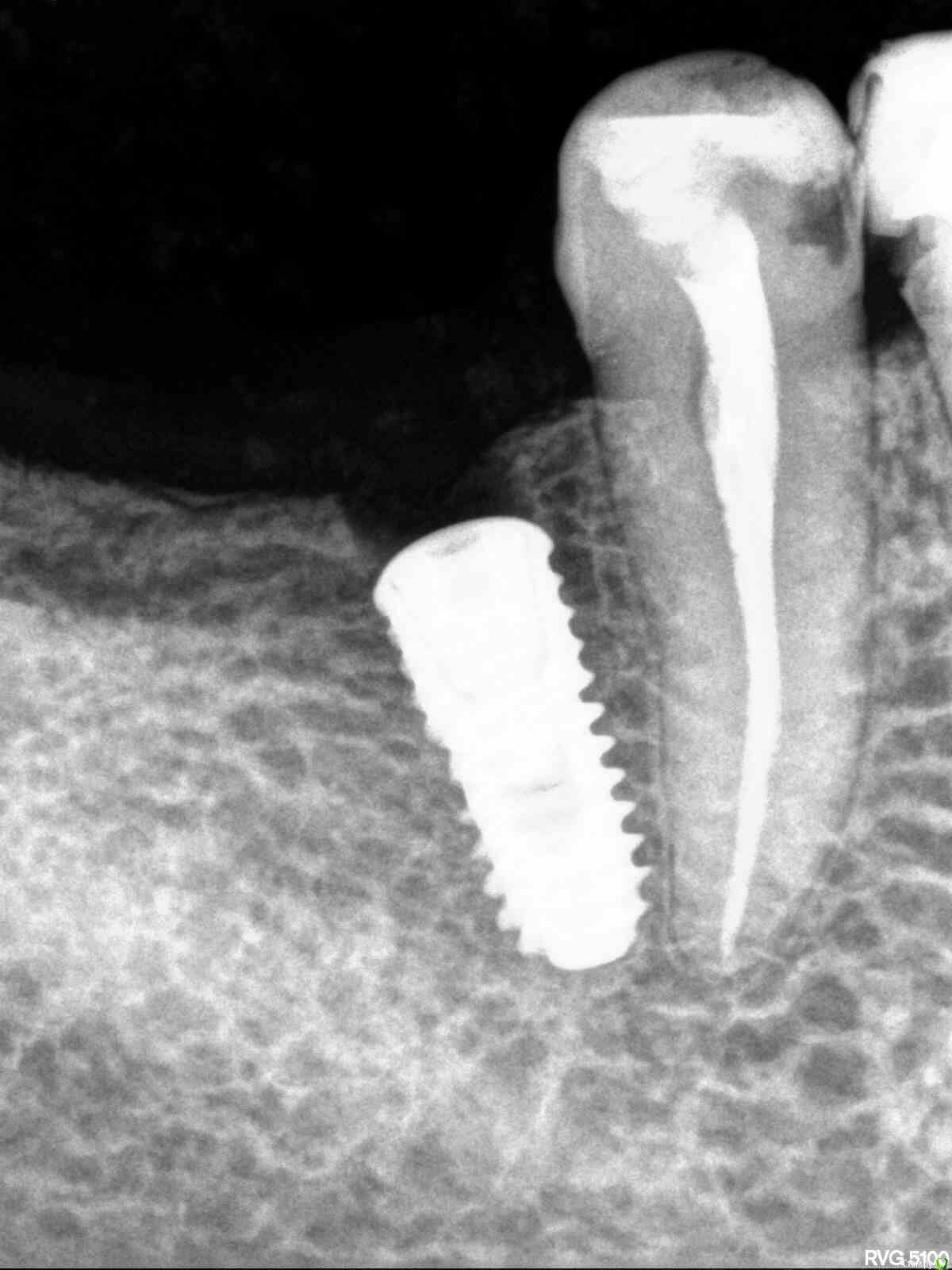
Кариес+ Опубликовано 11 марта, 2016 Поделиться Опубликовано 11 марта, 2016 (изменено) Чем чревато такое положение имплантата? Насколько правдив факт , что между коронкой одиночно стоящего импланта при концевом деффекте и зубом по контакту образуется щель в дальнейшем? Изменено 11 марта, 2016 пользователем Кариес+ Ссылка на комментарий
Кариес+ Опубликовано 11 марта, 2016 Автор Поделиться Опубликовано 11 марта, 2016 (изменено) И можно ли заглублять имплантат если у вершины к примеру толщина гребня 5мм , а на 2-3мм глубже 6-7мм? (Диаметр импл 4мм) Изменено 11 марта, 2016 пользователем Кариес+ Ссылка на комментарий
carloss Опубликовано 11 марта, 2016 Поделиться Опубликовано 11 марта, 2016 всё там хорошо, не переживайте .. чтобы не было щели, или минимально, побольше походить с времянкой.. или коронку на своем можете сделать через год, тем самым прикрыв щель имплантат заглублять нужно в таких случаях 3 Ссылка на комментарий
Кариес+ Опубликовано 12 марта, 2016 Автор Поделиться Опубликовано 12 марта, 2016 Спасибо! Ссылка на комментарий
Рекомендуемые сообщения
Для публикации сообщений создайте учётную запись или авторизуйтесь
Вы должны быть пользователем, чтобы оставить комментарий
Создать аккаунт
Зарегистрируйте новый аккаунт в нашем сообществе. Это очень просто!
Регистрация нового пользователяВойти
Уже есть аккаунт? Войти в систему.
Войти