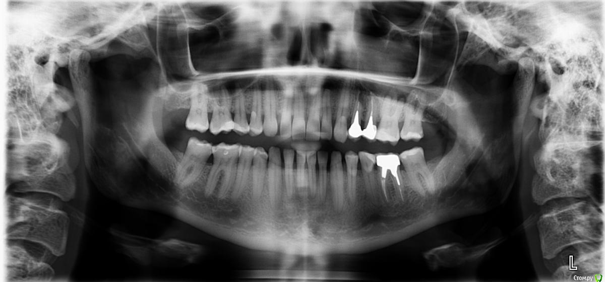
TAP Опубликовано 9 марта, 2016 Поделиться Опубликовано 9 марта, 2016 Добрый день! Уважаемые доктора, подскажите, 24 зуб возможно ли сохранить? Ссылка на комментарий
red_butler Опубликовано 9 марта, 2016 Поделиться Опубликовано 9 марта, 2016 расскажите историю зуба, была резекция апекса? 1 Ссылка на комментарий
IvanK Опубликовано 9 марта, 2016 Поделиться Опубликовано 9 марта, 2016 я бы еще обратил внимание на: 26, 25,35 Ссылка на комментарий
TAP Опубликовано 9 марта, 2016 Автор Поделиться Опубликовано 9 марта, 2016 (изменено) Да была резекция26 сейчас после снимка положили лекарство, лечат гранулему Изменено 9 марта, 2016 пользователем TAP Ссылка на комментарий
red_butler Опубликовано 10 марта, 2016 Поделиться Опубликовано 10 марта, 2016 2.4 удаляйте Ссылка на комментарий
TAP Опубликовано 10 марта, 2016 Автор Поделиться Опубликовано 10 марта, 2016 (изменено) Т е сохранить никаких шансов или просто так целесообразнее? Изменено 10 марта, 2016 пользователем TAP Ссылка на комментарий
red_butler Опубликовано 10 марта, 2016 Поделиться Опубликовано 10 марта, 2016 Т е сохранить никаких шансов или просто так целесообразнее?Именно не целесообразно. Можно конечно провести повторную РВК, но если это сделать правильно, то в финансовом плане будет сопоставимо с имплантацией а прослужит зуб меньше импланта. Ссылка на комментарий
TAP Опубликовано 10 марта, 2016 Автор Поделиться Опубликовано 10 марта, 2016 Желание большое именно сохранить, здесь не в вопросах экономии речь. Просто из лечащих врачей никто ничего кроме удаления не предложил, поэтому если кто подскажет, как дальше быть или кто конкретно может помочь, буду очень признателен! Ссылка на комментарий
red_butler Опубликовано 11 марта, 2016 Поделиться Опубликовано 11 марта, 2016 Желание большое именно сохранить, здесь не в вопросах экономии речь. Просто из лечащих врачей никто ничего кроме удаления не предложил, поэтому если кто подскажет, как дальше быть или кто конкретно может помочь, буду очень признателен!Тогда потребуется повторная пере апикальная хирургия с ретроградным пломбированием корневых каналов. 1 Ссылка на комментарий
IvanK Опубликовано 12 марта, 2016 Поделиться Опубликовано 12 марта, 2016 Себе бы тоже попытался сохранить Тогда потребуется повторная пере апикальная хирургия с ретроградным пломбированием корневых каналов.+1 Ссылка на комментарий
TAP Опубликовано 12 марта, 2016 Автор Поделиться Опубликовано 12 марта, 2016 Конечно, ведь лучше же когда всегда есть выбор, т к если будет имплант, то это уже конечная стадия и дальше выбора никакого, и мало ли как с ним может сложиться. Ссылка на комментарий
Рекомендуемые сообщения
Для публикации сообщений создайте учётную запись или авторизуйтесь
Вы должны быть пользователем, чтобы оставить комментарий
Создать аккаунт
Зарегистрируйте новый аккаунт в нашем сообществе. Это очень просто!
Регистрация нового пользователяВойти
Уже есть аккаунт? Войти в систему.
Войти