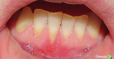
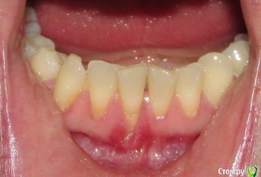
Eirene Опубликовано 6 марта, 2016 Поделиться Опубликовано 6 марта, 2016 Доброго времени суток! Прошу Вашего квалифицированного совета. Уже несколько лет у меня рецессия десны нижнего резца (появилась после неудачно откусанного яблока). Почти месяц назад сделала вестибулопластику. 1. Прошу оценить результаты вестибулопластики;2. Стоит ли мне делать лоскутную операцию или можно обойтись без нее?3. Десна воспалена и немного кровоточит, что делать?4. Можно ли сейчас проводить ультразвуковую чистку или подождать немного, т.к. хотела ее сделать перед вестибулопластикой, но врач сказал, что лучше не делать, т.к. только больше травмирую десну.Прикрепляю фото до и после вестибулопластики.Заранее спасибо!!! Ссылка на комментарий
АнтонТЛТ Опубликовано 6 марта, 2016 Поделиться Опубликовано 6 марта, 2016 Подождите еще месяц Ссылка на комментарий
Eirene Опубликовано 7 марта, 2016 Автор Поделиться Опубликовано 7 марта, 2016 Подождите еще месяцСпасибо за ответ. Я правильно поняла, что сейчас судить о результатах вестибулопластики рано? И через месяц мне нужно новое фото выложить? Ссылка на комментарий
Рекомендуемые сообщения
Для публикации сообщений создайте учётную запись или авторизуйтесь
Вы должны быть пользователем, чтобы оставить комментарий
Создать аккаунт
Зарегистрируйте новый аккаунт в нашем сообществе. Это очень просто!
Регистрация нового пользователяВойти
Уже есть аккаунт? Войти в систему.
Войти