fifa888.dexo Опубликовано 4 марта, 2016 Поделиться Опубликовано 4 марта, 2016 (изменено) Здравствуйте!Ровно 9 месяцев назад установили 3 импланта в верхнюю челюсть.Были некоторые проблемы и осложнения.Я создавала тему вот здесь http://forum.stom.ru/topic/29800-uvazhaemye-vrachi-khirurgi-implantologi-pomogite/.На данный момент вроде бы все разрешилось..3 недели назад установили формирователи на оставшиеся 2 импланта,на 1 стоял сразу. Подошло время протезирования.Я сделала снимок чтобы посмотреть в норме ли перелеченные каналы и увидела кое что еще...Сразу оговорюсь с 26 было воспаление в пазухе итд. Но с 23 было все в норме,он был зашит и никак не беспокоил.1. Я ошибаюсь или кость ушла???2. Почему такое могло произойти?3. Что делать?Прикрепляю два снимка один панорамный сделан через месяц после имплантации, второй прицельный сегодня. Есть кт но срезы делать я совершенно не умею. Изменено 4 марта, 2016 пользователем fifa888.dexo Ссылка на комментарий
Bier Опубликовано 4 марта, 2016 Поделиться Опубликовано 4 марта, 2016 Очень нечеткие снимки Ссылка на комментарий
fifa888.dexo Опубликовано 4 марта, 2016 Автор Поделиться Опубликовано 4 марта, 2016 Очень нечеткие снимкиЗдравствуйте!Снимок пленочный я сфотографировала как смогла, но на снимке такое же затемнение около 23 как и здесь((Это может быть дефект самой пленки(снимка)?Как можно четче отобразить снимок не подскажете? Ссылка на комментарий
dok1 Опубликовано 4 марта, 2016 Поделиться Опубликовано 4 марта, 2016 Если сделаете современный панорамный и выложите такого же качества, как в вашем посте выше, толку уже будет больше. Ссылка на комментарий
fifa888.dexo Опубликовано 4 марта, 2016 Автор Поделиться Опубликовано 4 марта, 2016 Если сделаете современный панорамный и выложите такого же качества, как в вашем посте выше, толку уже будет больше.Хорошо!Спасибо!Я поняла! Ссылка на комментарий
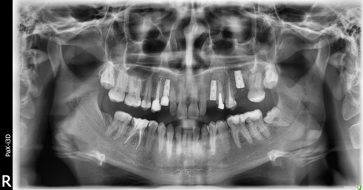
red_butler Опубликовано 6 марта, 2016 Поделиться Опубликовано 6 марта, 2016 Справа формирователь десны не докручен. Ссылка на комментарий
fifa888.dexo Опубликовано 6 марта, 2016 Автор Поделиться Опубликовано 6 марта, 2016 Справа формирователь десны не докручен.На панорамном снимке?Если да, то это снимок после имплантации сразу,да,он потом почти выпал и его докручивали))) Ссылка на комментарий
fifa888.dexo Опубликовано 8 марта, 2016 Автор Поделиться Опубликовано 8 марта, 2016 Очень нечеткие снимкиИзвините,а вы мне не подскажете, какие могут быть у доктора основания, что он поставил имплант так близко к зубу?В моей ситуации что-то мешало поставить ровно посередине?Или так нельзя сказать по снимку?....Просто я теперь боюсь как поведет себя и зуб и имплант при нагрузке... Ссылка на комментарий
fifa888.dexo Опубликовано 14 марта, 2016 Автор Поделиться Опубликовано 14 марта, 2016 Очень прошу,пожалуйста! Посмотрите прижились импланты или нет?Все ли нормально с объемом кости ?Есть последнее кт спустя 7 месяцев после имплантации. Скоро ставить коронки. Меня терзают смутные сомнения и иногда неприятные ощущения в пазухе где проводился синус лифтинг . Я ходила к лору и не к одному в эти полгода, они говорят все нормально по кт...Буду очень признательна! Вот ссылка на кт http://www.fayloobmennik.net/5932217 Ссылка на комментарий
red_butler Опубликовано 14 марта, 2016 Поделиться Опубликовано 14 марта, 2016 по снимку все нормально и с имплантом и с синусом.P.S. похоже проведен закрытый синуслифтингhttp://i053.radikal.ru/1603/4b/6b8f464e7e3e.jpghttp://s017.radikal.ru/i426/1603/ad/6495c35c8e8e.jpg Ссылка на комментарий
fifa888.dexo Опубликовано 14 марта, 2016 Автор Поделиться Опубликовано 14 марта, 2016 (изменено) по снимку все нормально и с имплантом и с синусом.P.S. похоже проведен закрытый синуслифтинг удаляйте фото из цитатСпасибо Вам большое!А то я все переживаю и перживаю)))Был проведен открытый синус лифтинг,но на 5 день в пазухе было воспаление и гной, био осс осыпался немного как я поняла.Решили спасать.И с тех пор время от времени пазуха вообще не дышит, иногда пристуствует чувство давления. Раньше никогда никаких гайморитов и пр. не было. Отсюда мои волнения). Не хочу показаться настырной, но не могли бы еще сказать как дело обстоит с клыками?По кт можно увидеть нет ли там резорбции?Особенно беспокоюсь за 23,так как там очень близко к зубу. Изменено 16 марта, 2016 пользователем IvanK Ссылка на комментарий
TIGER Опубликовано 15 марта, 2016 Поделиться Опубликовано 15 марта, 2016 Спасибо Вам большое!А то я все переживаю и перживаю)))Был проведен открытый синус лифтинг,но на 5 день в пазухе было воспаление и гной, био осс осыпался немного как я поняла.Решили спасать.И с тех пор время от времени пазуха вообще не дышит, иногда пристуствует чувство давления. Раньше никогда никаких гайморитов и пр. не было. Отсюда мои волнения). Не хочу показаться настырной, но не могли бы еще сказать как дело обстоит с клыками?По кт можно увидеть нет ли там резорбции?Особенно беспокоюсь за 23,так как там очень близко к зубС пазухой всё отлично)Не переживайте)Синус проведён удачно судя по снимку 1 Ссылка на комментарий
fifa888.dexo Опубликовано 17 марта, 2016 Автор Поделиться Опубликовано 17 марта, 2016 С пазухой всё отлично)Не переживайте)Синус проведён удачно судя по снимкуСпасибо большое!Скажите пожалуйста а с другими имплантами все нормально?Конкретно интересует состояние кости вокруг них,если это возможно посмотреть по кт...На 23 формирователь стоит очень очень очень плотно к зубу сейчас,даже нить не проходит((( Ссылка на комментарий
TIGER Опубликовано 21 марта, 2016 Поделиться Опубликовано 21 марта, 2016 Спасибо большое!Скажите пожалуйста а с другими имплантами все нормально?Конкретно интересует состояние кости вокруг них,если это возможно посмотреть по кт...На 23 формирователь стоит очень очень очень плотно к зубу сейчас,даже нить не проходит(((Я бы сказал с 23 посложнее...но выкрутиться из ситуации можно,ортопедически... Ссылка на комментарий
Nazim_NV86 Опубликовано 21 марта, 2016 Поделиться Опубликовано 21 марта, 2016 А реально во рту формирователь также близко к 24 или как? Ссылка на комментарий
Nazim_NV86 Опубликовано 21 марта, 2016 Поделиться Опубликовано 21 марта, 2016 Кость штука неоднородная. И порой импланты при докручивании смещаются латерально. Есть у меня таких несколько случаев и все 23 или 24 . Это зона такая Не переделывал. Всё гуд пока. Ссылка на комментарий
fifa888.dexo Опубликовано 22 марта, 2016 Автор Поделиться Опубликовано 22 марта, 2016 Кость штука неоднородная. И порой импланты при докручивании смещаются латерально. Есть у меня таких несколько случаев и все 23 или 24 . Это зона такая Не переделывал. Всё гуд пока. А реально во рту формирователь также близко к 24 или как?Да, близко так, что я не могу просунуть зубную нить между форм. и зубом..Завтра иду на панорамный снимок,т.к. в кт я ничего не понимаю хочу увидеть состояние кости своими глазами!))Мне вроде его не докручивали)))Но я чувствую что с ним что-то не так по сравнению с другими имплантами. Ссылка на комментарий
fifa888.dexo Опубликовано 22 марта, 2016 Автор Поделиться Опубликовано 22 марта, 2016 Я бы сказал с 23 посложнее...но выкрутиться из ситуации можно,ортопедически...Да,предложили подпилить нижний зуб,который якобы выдвинулся)))Разве может зуб выдвинуться за 9 месяцев?Судя по старым снимкам он как был так и остался.Если бы я хотела точить здоровые зубы я бы поставила мост. Я конечно далеко не врач,но неужели нельзя было заглубить чуть больше имплант и под другим углом,я готова была и на хир.шаблон итд.,только мне ничего такого не предлагали...Спасибо большое вам за ответ!)Буду смотреть за дальнейшим развитием событий)) Ссылка на комментарий
fifa888.dexo Опубликовано 9 апреля, 2016 Автор Поделиться Опубликовано 9 апреля, 2016 Здравствуйте!Это снова я!))Ситуация такая:две недели назад выкрутили формирователи,сняли слепки,закрутили обратно,все нормально.Но вчера я пришла на примерку коронок и когда выкрутили формирователь слева(на снимке справа) пошел ужасный запах!Как будто протухла рыба или кто-то умер!В общем кошмар!Но имплант не болит, не шатается и на снимке вроде все нормально. Подскажите пожалуйста из-за чего это может быть,и нормально ли это? За гигиеной я тщательно слежу, и такого запаха не было когда первый раз выкручивали..Ортопед мне сказал что промоет спец.средством перед установкой окончательных коронок. Ссылка на комментарий
Bier Опубликовано 9 апреля, 2016 Поделиться Опубликовано 9 апреля, 2016 в шахту имплантата попала кровь и запахла, так бывает. Перед фиксацией постоянной коронки там все отмоют и закрутят с усилием. 3 Ссылка на комментарий
fifa888.dexo Опубликовано 10 апреля, 2016 Автор Поделиться Опубликовано 10 апреля, 2016 в шахту имплантата попала кровь и запахла, так бывает. Перед фиксацией постоянной коронки там все отмоют и закрутят с усилием.Спасибо за ответ! Ссылка на комментарий
fifa888.dexo Опубликовано 18 апреля, 2016 Автор Поделиться Опубликовано 18 апреля, 2016 Скажите пожалуйста а на место обломанного 24 зуба поместиться теперь имплант если возникнет такая необходимость? Ссылка на комментарий
Bier Опубликовано 18 апреля, 2016 Поделиться Опубликовано 18 апреля, 2016 правильнее будет сделать 2 коронки на одном имплантате в таком случае. Ссылка на комментарий
fifa888.dexo Опубликовано 18 апреля, 2016 Автор Поделиться Опубликовано 18 апреля, 2016 правильнее будет сделать 2 коронки на одном имплантате в таком случае.Может лучше убрать это имплант который криво стоит?если честно,я уже просто измучилась со всем этим...Выяснилось что мне надо было ставить брекеты и исправлять прикус до имплантации. Вот смотрю я на имплант 23 и думаю..чисто интуитивно....что даже если я исправлю когда-нибудь прикус,и все будет хорошо то этот имплант будет не в тему как и сейчас(( Ссылка на комментарий
fifa888.dexo Опубликовано 21 апреля, 2016 Автор Поделиться Опубликовано 21 апреля, 2016 по снимку все нормально и с имплантом и с синусом.P.S. похоже проведен закрытый синусИзвините,может быть вы мне подскажете..что это в пазухе?http://s019.radikal.ru/i629/1604/6f/53c50e3dc607.jpghttp://s020.radikal.ru/i721/1604/24/fafc874c36b5.jpghttp://s020.radikal.ru/i701/1604/ae/91273dd0f992.jpghttp://s017.radikal.ru/i420/1604/d5/3638f05b1e5f.jpg Ссылка на комментарий
Рекомендуемые сообщения
Для публикации сообщений создайте учётную запись или авторизуйтесь
Вы должны быть пользователем, чтобы оставить комментарий
Создать аккаунт
Зарегистрируйте новый аккаунт в нашем сообществе. Это очень просто!
Регистрация нового пользователяВойти
Уже есть аккаунт? Войти в систему.
Войти