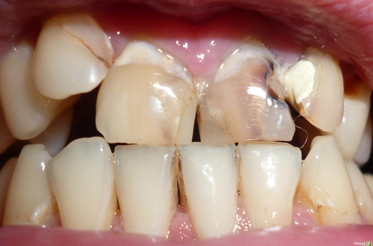
Cергей82 Опубликовано 3 марта, 2016 Поделиться Опубликовано 3 марта, 2016 Большая проблема с передними зубами как видно, передние резцы мертвые, один немного нарощенный. Можно ли как-то привести их порядок или только протезирование?И вообще что мне делать с зубами( плохая наследственность, врач говорит гингивит, и еще как я понял коричневый налет у основаниях зубов (у многих) это зубной камень? как все это лечить? Ссылка на комментарий
DmitrySH Опубликовано 3 марта, 2016 Поделиться Опубликовано 3 марта, 2016 По правильному:1. Наладить гигиену зубов2. Вылечить все что требуется ( без снимка не все ясно)3. Поставить зубы на свои места ортодонтически4. Изготовить аккуратные цельнокерамические реставрации Ссылка на комментарий
Cергей82 Опубликовано 3 марта, 2016 Автор Поделиться Опубликовано 3 марта, 2016 3. Поставить зубы на свои места ортодонтически Это что значит? 4. Изготовить аккуратные цельнокерамические реставрацииЭто коронки ставить? Ссылка на комментарий
red_butler Опубликовано 3 марта, 2016 Поделиться Опубликовано 3 марта, 2016 Это что значит? Это коронки ставить?1. Брекеты2. "ставить коронки" 1 Ссылка на комментарий
St. Опубликовано 7 марта, 2016 Поделиться Опубликовано 7 марта, 2016 Можно ли как-то привести их порядок или только протезирование? Коронки после подготовки, о которой Вам написали выше.Другой, "бюджетный вариант" - положение зубов не менять, сделать снимок, вылечить кариесы где они есть и поменять какие нужно пломбы, если нужно перелечить канал в "мертвом" зубе и на него сделать коронку. 1 Ссылка на комментарий
Рекомендуемые сообщения
Для публикации сообщений создайте учётную запись или авторизуйтесь
Вы должны быть пользователем, чтобы оставить комментарий
Создать аккаунт
Зарегистрируйте новый аккаунт в нашем сообществе. Это очень просто!
Регистрация нового пользователяВойти
Уже есть аккаунт? Войти в систему.
Войти