Demerchyan26 Опубликовано 3 марта, 2016 Поделиться Опубликовано 3 марта, 2016 Решил показать свой небольшой эксперемент. Ничего необычного, сложное удаление 1 час + имплантация, только без графта, лишь сгусток и торк меньше 5, не мог заглушку прикрутить. Открывал через 3,5 - 4 месяца. Система бюджетная - SGS, 7-ку немного не докрутил))) Ссылка на комментарий
Jurai Опубликовано 3 марта, 2016 Поделиться Опубликовано 3 марта, 2016 повезло) но в норму это вводить не стоит. 2 Ссылка на комментарий
Demerchyan26 Опубликовано 3 марта, 2016 Автор Поделиться Опубликовано 3 марта, 2016 Возможно, но это не первая моя операция без графта, но первая, когда перегородки почти не осталось и торк получился минимальный, имплант слишком широкий взял. Ссылка на комментарий
red_butler Опубликовано 3 марта, 2016 Поделиться Опубликовано 3 марта, 2016 Возможно, но это не первая моя операция без графта, но первая, когда перегородки почти не осталось и торк получился минимальный, имплант слишком широкий взял.Проблема не в ширине, нужен был более длинный винт. А вот то что дистальный не досадили, это косяк, кость еще уйдет. Что с мягкими тканями? Ссылка на комментарий
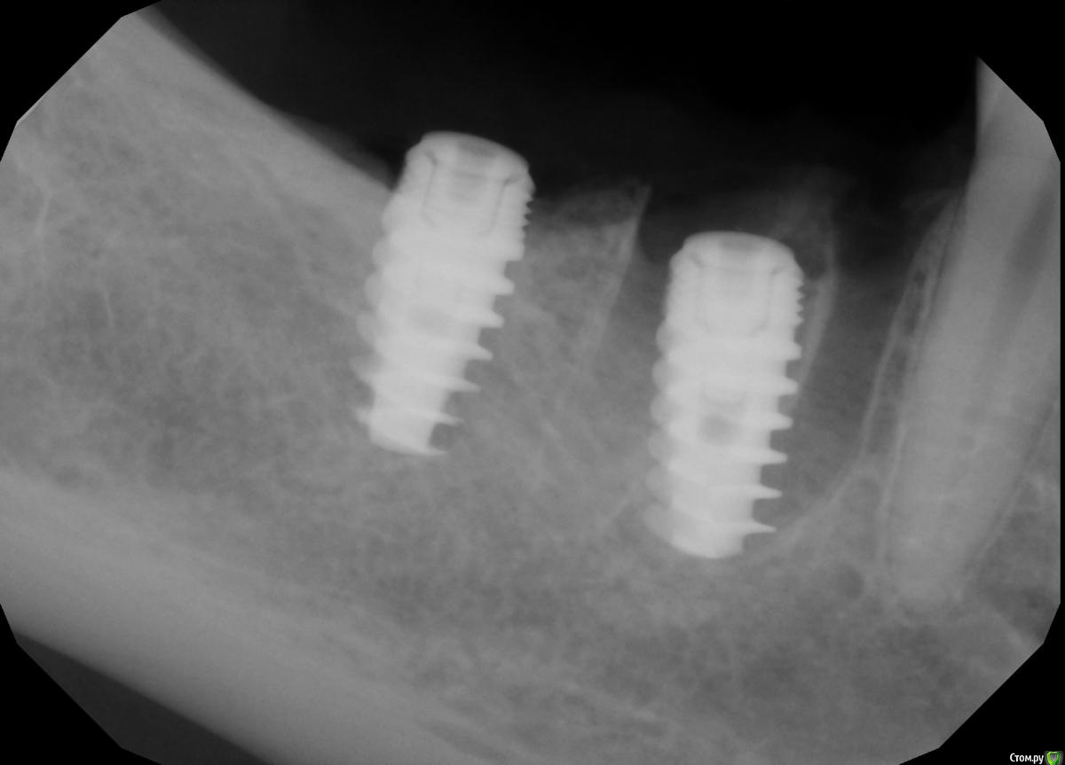
Demerchyan26 Опубликовано 3 марта, 2016 Автор Поделиться Опубликовано 3 марта, 2016 С десной будем работать, есть дефицит, в этот день видимо не с той ноги встал)))Только что снимок, у другой пациентки, тоже без графта, срок 2 месяца, сегодня ставили в другом сегменте, решил сделать снимок. Ссылка на комментарий
Карен Аванесов Опубликовано 3 марта, 2016 Поделиться Опубликовано 3 марта, 2016 Мне вот интересно, торк 40-50 эти винты выдержат и не разъедутся ли эти винты со временем от жевательного давления уже под коронками? Ссылка на комментарий
Magomed Опубликовано 3 марта, 2016 Поделиться Опубликовано 3 марта, 2016 Мне вот интересно, торк 40-50 эти винты выдержат и не разъедутся ли эти винты со временем от жевательного давления уже под коронками?а почему должны? Ссылка на комментарий
Карен Аванесов Опубликовано 3 марта, 2016 Поделиться Опубликовано 3 марта, 2016 Снимков с коронками нет, и нет уверенности что эти дефекты заполнены костью. Ссылка на комментарий
Magomed Опубликовано 3 марта, 2016 Поделиться Опубликовано 3 марта, 2016 а после удаления чем заполняются? Ссылка на комментарий
Magomed Опубликовано 3 марта, 2016 Поделиться Опубликовано 3 марта, 2016 очень много раз так делал.пока всё хорошо. Ссылка на комментарий
Карен Аванесов Опубликовано 3 марта, 2016 Поделиться Опубликовано 3 марта, 2016 Плохо может и не будет, но здесь слишком экстремально. Ссылка на комментарий
diesel87 Опубликовано 3 марта, 2016 Поделиться Опубликовано 3 марта, 2016 При наличии ксено графта он будет каркасом для кортикалки, предохраняя ее от чрезмерной резорбции, пока в его пространства прорастают свежие сосуды и образуется молодая кость. На сгустке будет тоже хорошо, но с более выраженной резорбцией, но какая нам разница, имплант же там уже стоит, а вот с мягкими тканями считаю надо усиленнее работать в такой ситуации. Ссылка на комментарий
Рекомендуемые сообщения
Для публикации сообщений создайте учётную запись или авторизуйтесь
Вы должны быть пользователем, чтобы оставить комментарий
Создать аккаунт
Зарегистрируйте новый аккаунт в нашем сообществе. Это очень просто!
Регистрация нового пользователяВойти
Уже есть аккаунт? Войти в систему.
Войти