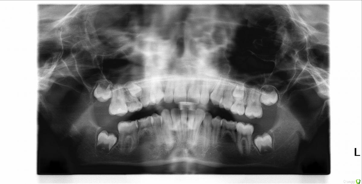
FeoKat Опубликовано 2 марта, 2016 Поделиться Опубликовано 2 марта, 2016 Здравствуйте,Очень нужен совет.Ребенок, 11 лет, верхние и нижние пятерки молочные, нет зачатков нижних 5ок, верхние есть, но зачаток правой 5ки лежит боком, 7ки еще не прорезались, зачатков 8ок нет.Планируем одеть брекеты.Предлагается 3 варианта:Вариант 1. вырывать все молочные 5ки, ставить брекеты, на верхней челюсти ждать когда полезут коренные 5ки, корректировать направление роста, на нижней двигать 6ки к 4кам.Вариант 2. вариант 1 + вырывать зачатки верхних коренных 5ок, чтобы впоследствии было правильное смыкание.Вариант 3. вырывать все молочные5ки, на нижней готовить место под импланты. Панорамный рентген в аттаче.Чтобы вы посоветовали и какую именно брекет систему (сейчас планируется DymonClear ВЧ3х3, НЧ3х3) Ссылка на комментарий
red_butler Опубликовано 2 марта, 2016 Поделиться Опубликовано 2 марта, 2016 http://forum.stom.ru/topic/4655-patcientam/ 1 Ссылка на комментарий
Brigita Опубликовано 9 марта, 2016 Поделиться Опубликовано 9 марта, 2016 (изменено) Имплантация внизу лучший вариант, но это будет в 18 лет, и по снимку не понятно состояние молочных 5к-затемнение области под ними.Что говорит терапевт- их можно пока оставить пока?На верху корни постоянных еще не сформированы, удаление молочных зубов не приведет к их прорезыванию. Вытягивать их тоже пока нельзя. Покажите еще снимки-трг и фото зубов, лицо в профиль и анфас, чтобы понимать, есть еще проблемы, кроме 5к. Изменено 9 марта, 2016 пользователем Brigita Ссылка на комментарий
Yana guapa Опубликовано 9 марта, 2016 Поделиться Опубликовано 9 марта, 2016 Чтобы вы посоветовали и какую именно брекет систему (сейчас планируется DymonClear ВЧ3х3, НЧ3х3) вариант 4 - подождать! пусть верхние 5-ки сами поменяются! иначе вы с брекетами можете лишнее время очень долго ходить (это вредно и для зубов и для кошелька) двигать зубы на место отсутствующих 5-к не самый лучший вариант и самый долгий! брекеты любые!!!! главные , чтобы врач был грамотный! и ориентировался на максимально полезный результат, а не максимально дорогостоящий )) 1 Ссылка на комментарий
Рекомендуемые сообщения
Для публикации сообщений создайте учётную запись или авторизуйтесь
Вы должны быть пользователем, чтобы оставить комментарий
Создать аккаунт
Зарегистрируйте новый аккаунт в нашем сообществе. Это очень просто!
Регистрация нового пользователяВойти
Уже есть аккаунт? Войти в систему.
Войти