ILGAMSA Опубликовано 9 марта, 2016 Поделиться Опубликовано 9 марта, 2016 Что кт? Ссылка на комментарий
AlexanderGudkov Опубликовано 9 марта, 2016 Автор Поделиться Опубликовано 9 марта, 2016 Что кт? http://s017.radikal.ru/i416/1603/d1/018eb5f51a8e.png Ссылка на комментарий
Maxfac Опубликовано 9 марта, 2016 Поделиться Опубликовано 9 марта, 2016 Остеомиелитом и не пахнет. 1 Ссылка на комментарий
kriokov Опубликовано 9 марта, 2016 Поделиться Опубликовано 9 марта, 2016 Коллеги, есть у кого-то какие-либо мысли? можете аксиальный срез залить на этом уровне? Ссылка на комментарий
red_butler Опубликовано 9 марта, 2016 Поделиться Опубликовано 9 марта, 2016 в пятерке оба канала обработаны? 1 Ссылка на комментарий
Astronaft Опубликовано 9 марта, 2016 Поделиться Опубликовано 9 марта, 2016 Аллександр, мне после прочтения первого сообщения пришло в голову "нейротоксичный пептид". То что вызывает устойчивую боль без значительного клин.отека и воспаления.Так действует яд змей и скорпионов, и еще ... клостридий. Вызывают устойчивую деполяризацию мембраны, длиться доолго, трудно обезболить.На сегодня типировали инфекцию из 200+ зубов и только в паре случев попадались Клостридии.Я бы соответствующий антибиотик подобрал. Если есть доступ к озону - поколол в переходную его.http://s017.radikal.ru/i406/1603/b5/8a7a9029bd3d.png 5 Ссылка на комментарий
ILGAMSA Опубликовано 9 марта, 2016 Поделиться Опубликовано 9 марта, 2016 Хирургической патологии я здесь не вижу. Может не только члх позвать?Карен, ты же умный! Скажи что-нибудь! 3 Ссылка на комментарий
AlexanderGudkov Опубликовано 9 марта, 2016 Автор Поделиться Опубликовано 9 марта, 2016 можете аксиальный срез залить на этом уровне?018eb5f51a8e.jpghttp://s019.radikal.ru/i605/1603/64/30d3c8fceb26.jpg Ссылка на комментарий
AlexanderGudkov Опубликовано 9 марта, 2016 Автор Поделиться Опубликовано 9 марта, 2016 в пятерке оба канала обработаны?тут 1 канал всегоВ 6 обработали все 4, не помогло Ссылка на комментарий
AlexanderGudkov Опубликовано 9 марта, 2016 Автор Поделиться Опубликовано 9 марта, 2016 (изменено) Аллександр, мне после прочтения первого сообщения пришло в голову "нейротоксичный пептид". То что вызывает устойчивую боль без значительного клин.отека и воспаления.Так действует яд змей и скорпионов, и еще ... клостридий. Вызывают устойчивую деполяризацию мембраны, длиться доолго, трудно обезболить.На сегодня типировали инфекцию из 200+ зубов и только в паре случев попадались Клостридии.Я бы соответствующий антибиотик подобрал. Если есть доступ к озону - поколол в переходную его.http://s017.radikal.ru/i406/1603/b5/8a7a9029bd3d.pngна сколько я знаю, клостридии должны дохнуть от пенициллина. Она принимает амоксиклавБак посев была идея сделать, но она на антибиотиках, есть смысл сеять? Изменено 9 марта, 2016 пользователем AlexanderGudkov Ссылка на комментарий
AlexanderGudkov Опубликовано 9 марта, 2016 Автор Поделиться Опубликовано 9 марта, 2016 (изменено) Хирургической патологии я здесь не вижу.Может не только члх позвать?Карен, ты же умный! Скажи что-нибудь!Я позвал члх, так как пациентка уверяет меня, что все точно так же как было на противоположной стороне. А там, судя по выпискам, был остеомиелит аж 2 раза.А у меня у самого идеи кончились Изменено 9 марта, 2016 пользователем AlexanderGudkov Ссылка на комментарий
kriokov Опубликовано 9 марта, 2016 Поделиться Опубликовано 9 марта, 2016 х\з но по клинике, в этот раз ни на какой остеомиелит не тянет. Может действительно сменить антибиотик. Например на азитромицин c метронидазолом? Терапевты что говорят? Хлорку чем может заменить, чтоб каналы отмыть, и канал другим веществом выполнить? 1 Ссылка на комментарий
Astronaft Опубликовано 9 марта, 2016 Поделиться Опубликовано 9 марта, 2016 Она принимает амоксиклавБак посев была идея сделать, но она на антибиотиках, есть смысл сеять?Можно попробовать сеять, хотя я бы эмпирически поменял на метронидазол. Ссылка на комментарий
Fibez Опубликовано 9 марта, 2016 Поделиться Опубликовано 9 марта, 2016 может проблема в голове? Ссылка на комментарий
AlexanderGudkov Опубликовано 9 марта, 2016 Автор Поделиться Опубликовано 9 марта, 2016 (изменено) х\з но по клинике, в этот раз ни на какой остеомиелит не тянет. Может действительно сменить антибиотик. Например на азитромицин c метронидазолом? Терапевты что говорят? Хлорку чем может заменить, чтоб каналы отмыть, и канал другим веществом выполнить?Терапевт уже неделю спокойно не спит. В вайбере пациентка ежедневно пишет. Предложу сменить материал и антибиотик. Хотя пациентка вроде как завтра собралась в ЧЛХ где лежала в прошлый раз. Как бы она не уговорила их удалить ей и пятерку Изменено 9 марта, 2016 пользователем AlexanderGudkov Ссылка на комментарий
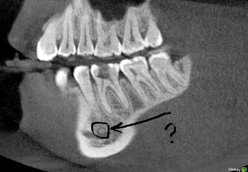
carloss Опубликовано 9 марта, 2016 Поделиться Опубликовано 9 марта, 2016 Карен, ты же умный! Скажи что-нибудь!Если судить по тому, что из принятых тут "умных" я единственный, кто не проводит курсов, то я себя таковым не считаю)) По теме - сложно сказать.. но не в каналах дело точно - вероятность того, что два рядом стоящих зуба одновременно так атипично среагировали близка к нулю.. да нормально там вроде все.. но решение по эндо принимались бы клинически. Заметно расширение периодонта на 5 и 6.. возможно это после орто так, а может из-за воспаления.. в любом случае похоже на острый "паро" процесс наверное как пишет Астронавт вследствие неспецефического микроба.. и, возможно, широкая щель послужила "широкими входными воротами" для микроба.. Я бы сразу начал с мощных доз антибиотиков(кстати всегда при воспалениях начинаю с комбинации амоксиклав+метронидазол, я думал все так), может через пару -тройку дней сменил бы. Правда под эту теорию не очень ложится то, что было уже с другой стороны раньше, но думается первичен именно микроб, остальное способствующие факторы. Еще не очень понравилось что-то на КТ, под пятеркой.. но наверное или ментальное или артефакт, думаю топикстартер разобрался бы, если что. но не факт, что не поступил бы как тут.. 5 Ссылка на комментарий
kriokov Опубликовано 9 марта, 2016 Поделиться Опубликовано 9 марта, 2016 Как бы она не уговорила их удалить ей и пятерку да бог с ней с францией, не все болезни зубов можно вылечить Ссылка на комментарий
ILGAMSA Опубликовано 10 марта, 2016 Поделиться Опубликовано 10 марта, 2016 Если судить по тому, что из принятых тут "умных" я единственный, кто не проводит курсов, то я себя таковым не считаю))Так проводи! Многие ждут и очень хотят! Язва ты. 5 Ссылка на комментарий
carloss Опубликовано 10 марта, 2016 Поделиться Опубликовано 10 марта, 2016 Так проводи! Многие ждут и очень хотят! Язва ты.Простите, ваше величество! У поданных бывает порой жуткий характер)) Если серьезно, то что, кроме бабла и славы дают курсы?К тому же мало того, что из-за них обсуждения на форумах перестают быть "нормальными", еще и у самих лекторов идет перекос логики в сторону шоу - чтобы "вау", а не оптимально. А ведь именно в тонкой грани последнего может рождаться что-то интересное. так что простите, что опять не такой 8 Ссылка на комментарий
red_butler Опубликовано 10 марта, 2016 Поделиться Опубликовано 10 марта, 2016 так что простите, что опять не такой жаль, я бы был если не первым в очереди, то уж точно в первой десятке 7 Ссылка на комментарий
carloss Опубликовано 10 марта, 2016 Поделиться Опубликовано 10 марта, 2016 жаль, я бы был если не первым в очереди, то уж точно в первой десятке Ой прекращайте)).. давайте лучше вместе придумаем что-нить взрывное.. а продавать лучше в европку.. щас по курсу выгоднее)) Ссылка на комментарий
kriokov Опубликовано 10 марта, 2016 Поделиться Опубликовано 10 марта, 2016 Все таки попробовать заменить антибиотик. Не поможет удалить зуб , как вариант.Свой случай. Полгода назад терапевты начали лечить 46, обостр периодонтита. спустя неделю при отсутствии + динамики от лечения зуб я удалил, амоксиклав + трихопол. Через неделю после удаления лунка с тенденцией к эпителизации. Болей нет, местно тихо. Через 2 месяца пациентка обратилась с выпиской от нейрохирургов , в которой было написано, что ей дренированы два абсцесса головного мозга справа. Из беседы с пациенткой- через 4 недели после удаления резкие боли в обл головы справа, потеря чувствительности и двигат функции руки ноги слева, лихорадка. По 03 госпитализировали. Через сутки трепанация. Из беседы с нейрохирургами- посев не делали, первичный лор очаг сняли, осталось либо одонтогенное, либо еще не лучше-- в ходе обследования нашли серьезную патологию малого круга кровообращения, и это не исключено. За три года до инцидента вкручивал 2 болта пациентке. Все норм.Пример не для запугивания , ни в коем случае. 3 Ссылка на комментарий
major Опубликовано 10 марта, 2016 Поделиться Опубликовано 10 марта, 2016 1. +1 к микробу2. 2 версия в порядке размышлений. Кт бы покрутить посмотреть, в области ментального отверстия возможно что-то есть. На памяти была схожая клиника была при сдавлении нижнечелюстного канала остеомой. В общем желательно сверить костный рисунок со "здоровой" стороной. Ссылка на комментарий
major Опубликовано 10 марта, 2016 Поделиться Опубликовано 10 марта, 2016 или кажется? Ссылка на комментарий
johniola Опубликовано 10 марта, 2016 Поделиться Опубликовано 10 марта, 2016 Нет там ничего,а даже если и есть,оно никак не связано с болью которую вы описали. 1 Ссылка на комментарий
Рекомендуемые сообщения
Для публикации сообщений создайте учётную запись или авторизуйтесь
Вы должны быть пользователем, чтобы оставить комментарий
Создать аккаунт
Зарегистрируйте новый аккаунт в нашем сообществе. Это очень просто!
Регистрация нового пользователяВойти
Уже есть аккаунт? Войти в систему.
Войти