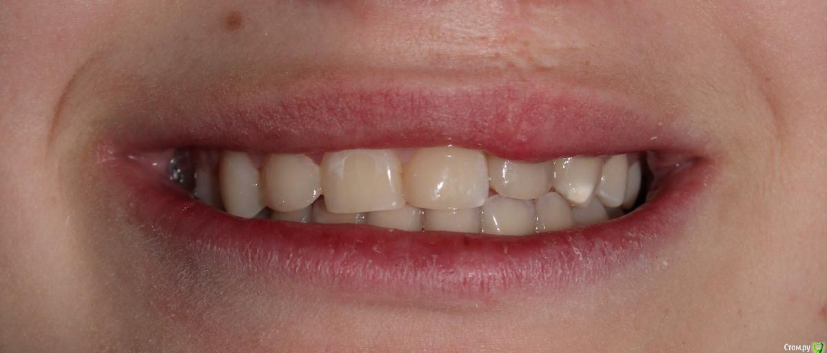
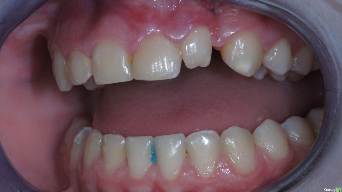
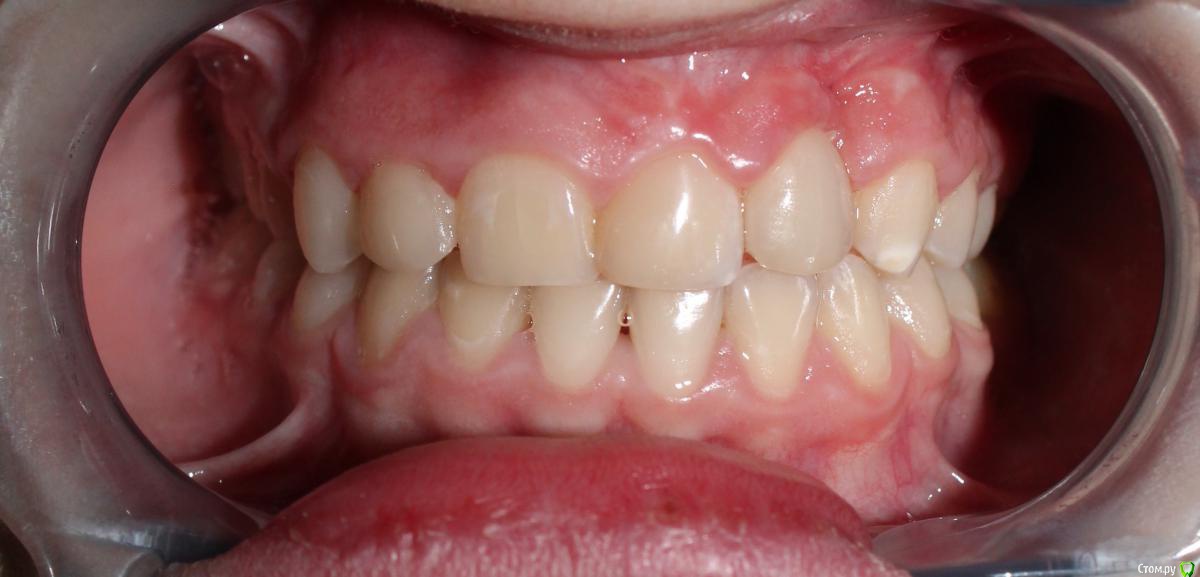
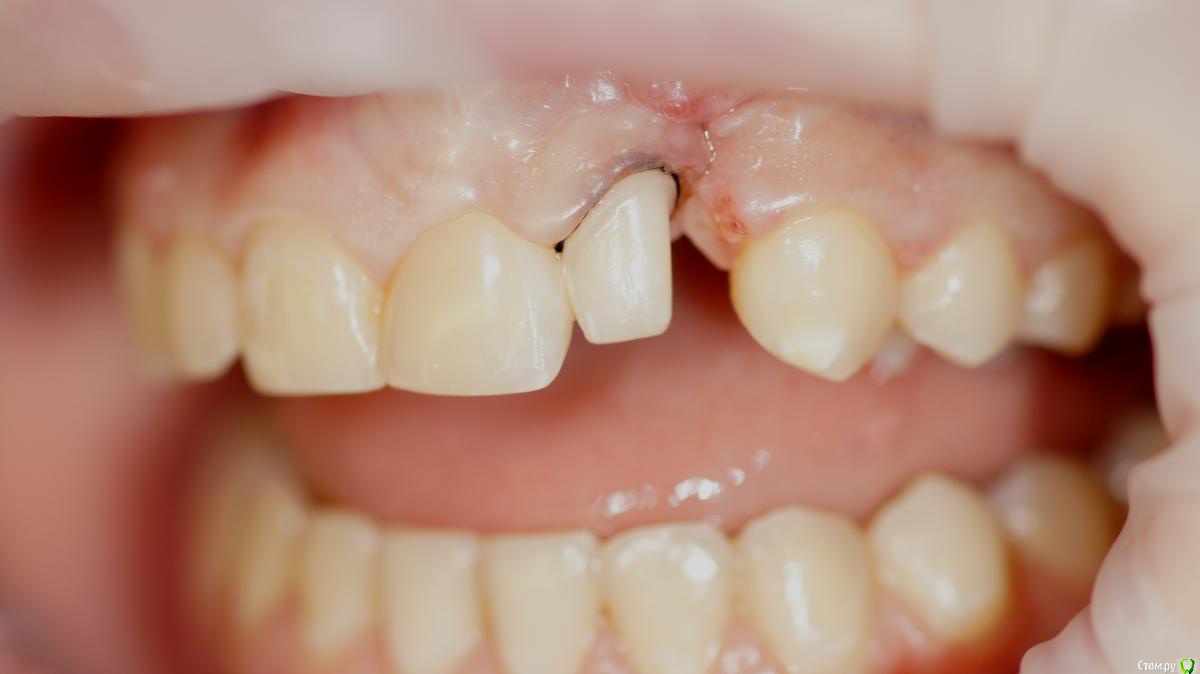
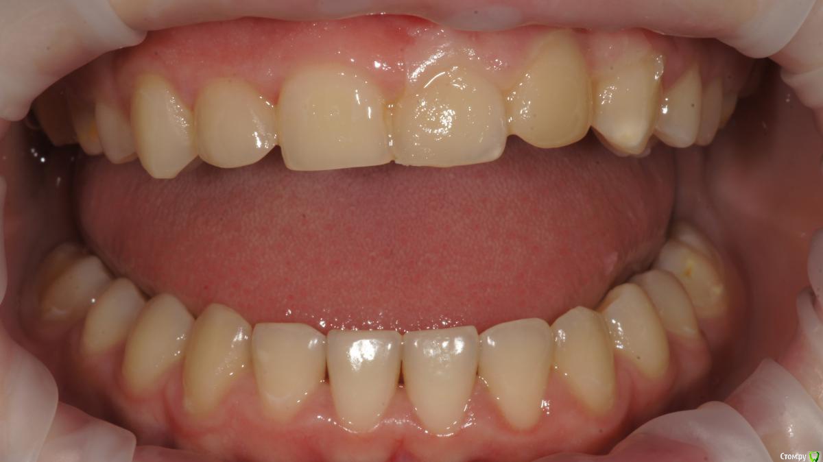
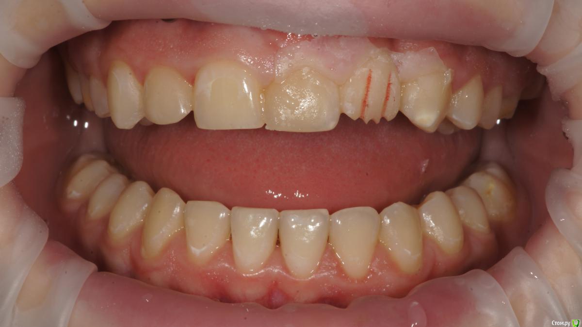
Alexandr_doc Опубликовано 1 марта, 2016 Поделиться Опубликовано 1 марта, 2016 Доброго времени, уважаемые коллеги! Выкладываю кейс, который лично мне не дает покоя. DS микродентия, в анамнезе расщелина твердого неба и оперативное вмешательство в раннем возрасте. Пациентке на этапе wax up объяснили, что зенит получится выше, чем у 21 и 11. После mockup,а пациентка решительно сказала, что работу будем делать. Готовой работой очень довольна, говорит, что давно мечтала о такой улыбке. Материал Emax cad с нанесением. Просьба не кидаться тапками, выслушаю конструктивную критику. PS, за качество фото сорри, штатный фотоаппарат в ремонте, пользовался личным без макрообъектива. 3 Ссылка на комментарий
Doc Опубликовано 1 марта, 2016 Поделиться Опубликовано 1 марта, 2016 Ну, можно долго сочинять про пересадку, подсадку и много чего другого, но главная задача достигнута - пациент доволен. О чем еще мечтать?! Все остальное вторично. 4 Ссылка на комментарий
Alexandr_doc Опубликовано 1 марта, 2016 Автор Поделиться Опубликовано 1 марта, 2016 Спасибо за мнение, Doc! Ссылка на комментарий
SanderS Опубликовано 1 марта, 2016 Поделиться Опубликовано 1 марта, 2016 Какой CAD камерой пользовались? фрезер ? Ссылка на комментарий
Alexandr_doc Опубликовано 1 марта, 2016 Автор Поделиться Опубликовано 1 марта, 2016 Камера omnicam, фрезер mc xl, хотя ею пользовался техник. Для этой работы снимался оттиск. Ссылка на комментарий
art700 Опубликовано 2 марта, 2016 Поделиться Опубликовано 2 марта, 2016 По цвету темнее чуть?нет? Не могу понять с телефона? Ссылка на комментарий
Alexandr_doc Опубликовано 2 марта, 2016 Автор Поделиться Опубликовано 2 марта, 2016 С мыльницы псевдопрофессиональной снято. Цвет на фото кажется темнее, но в реальности совпадает. Ссылка на комментарий
Рекомендуемые сообщения
Для публикации сообщений создайте учётную запись или авторизуйтесь
Вы должны быть пользователем, чтобы оставить комментарий
Создать аккаунт
Зарегистрируйте новый аккаунт в нашем сообществе. Это очень просто!
Регистрация нового пользователяВойти
Уже есть аккаунт? Войти в систему.
Войти