vpaoli Опубликовано 29 февраля, 2016 Поделиться Опубликовано 29 февраля, 2016 (изменено) Посыпались зубы... , что говорят имплантологи-хирурги известно - все удалить и заменить. Хотелось бы получить мнение терапевтов.Под вопросом зубы 16-17, 26-27 и 47. С 45-47 слетел мост, 26-27 после чистки ниткой, у нитки гнилостный запах, над ними в гайморовой пазухе большая киста (видимо как говорят стоматологи онтодогенного происхождения). 47 сидит очень крепко, красноватого цвета, видимо резорцированный и хрупкий. подскажите, можно ли хоть какой то из них лечить?Еще вопрос - над 26, 27 киста в гайморовой пазухе, это опасно или лучше не трогать ? О кисте я узнал только сделав КТ, ранее и сейчас даже не ощущаю ее присутствие.Всех заранее благодарю за высказанное мнение. Изменено 29 февраля, 2016 пользователем vpaoli Ссылка на комментарий
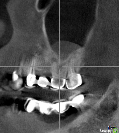
DmitrySH Опубликовано 29 февраля, 2016 Поделиться Опубликовано 29 февраля, 2016 Лучше выложите ссылку на КТ целиком. По данным скриншотам верхние лечить, а нижний 50/50 1 Ссылка на комментарий
faity Опубликовано 1 марта, 2016 Поделиться Опубликовано 1 марта, 2016 Если по этим срезам смотреть, то я бы 1.8, 1.6, 4.5 удалил, остальные лечить 2 Ссылка на комментарий
vpaoli Опубликовано 1 марта, 2016 Автор Поделиться Опубликовано 1 марта, 2016 ссылка на КТ Galileos https://yadi.sk/d/k0i2aCCToLxrQ Ссылка на комментарий
vpaoli Опубликовано 1 марта, 2016 Автор Поделиться Опубликовано 1 марта, 2016 (изменено) Если по этим срезам смотреть, то я бы 1.8, 1.6, 4.5 удалил, остальные лечитьА 1.8 за что провинился... Просто за ненадобностью ?Если 4.5 удалить, то что дальше делать с 4.7 -4.5 ? Изменено 1 марта, 2016 пользователем vpaoli Ссылка на комментарий
DmitrySH Опубликовано 1 марта, 2016 Поделиться Опубликовано 1 марта, 2016 Что-то КТ скачалось, но при установке ошибку выдает. По этим скринам, 45 точно удаляется. Это без вариантов. У меня есть некоторые сомнения в 4716 да, возможно удаление, но ракурс не очень удачный. ради него и хотел КТ посмотреть.18. не будет функционировать как зуб.Про мост 47-44 лучше сразу забыть и планировать имплантацию в обл 46, 45. 1 Ссылка на комментарий
vpaoli Опубликовано 2 марта, 2016 Автор Поделиться Опубликовано 2 марта, 2016 Скачивать нужно в папку , именуемую только латинскими буквами , например, galileos.После этого из корня этой папки запускаем setup.exe . Программа galileosViewer устанавливается, потом из меню "Все программы" (Sirona) запускаем ее, выбираем файл 0000aa2f3b5620b4.gwg и на экране все появится.Спасибо за рекомендации. Ссылка на комментарий
vpaoli Опубликовано 3 марта, 2016 Автор Поделиться Опубликовано 3 марта, 2016 (изменено) Еще небольшой вопрос - что же мне делать с 45-47. Думаю ставить мост на имплантах 45-47 ( 46 искуccтвенyый) . Почему мост ? Потому, что 46 нет давно и альвеолярный отросток в этом месте имеет вверху острый угол т.е. нужна тоже пластика кости, а это дополнительные деньги и "страдания моего организма" (высокая температура и др. риски). У меня под 45 внутри дырка после резекции верхушки корня с выходом на край альвеолярного гребня на сторону щеки, я это место даже при надавливании пальцем чувствую, в этом месте раньше был свищь. Т.е. вкручивать имплант особо некуда. По моим соображениям для 45 существует 2 альтернативных решения: 1) заполнение этой дырки и лунки костным материалом и через 4 месяца сверление в этом месте под имплант; 2) удаляется зуб и сразу вставляется имплант вместе с куском моей аутокости на границу гребня со стороны щеки или еще как то ...Я склоняюсь к 1) т.к. никуда не спешу и желаю надежности .Правильно я понимаю, что 2) гораздо дороже по деньгам и ничуть не надежнее, чем 1) ? Изменено 3 марта, 2016 пользователем vpaoli Ссылка на комментарий
DmitrySH Опубликовано 3 марта, 2016 Поделиться Опубликовано 3 марта, 2016 Вполне логично рассуждаете, но эта тема уже для хирургического раздела. Ссылка на комментарий
faity Опубликовано 5 марта, 2016 Поделиться Опубликовано 5 марта, 2016 я бы и заполнять лунку ничем не стал кроме prp, искусственная кость после удаления не всегда хороший вариант 1 Ссылка на комментарий
Рекомендуемые сообщения
Для публикации сообщений создайте учётную запись или авторизуйтесь
Вы должны быть пользователем, чтобы оставить комментарий
Создать аккаунт
Зарегистрируйте новый аккаунт в нашем сообществе. Это очень просто!
Регистрация нового пользователяВойти
Уже есть аккаунт? Войти в систему.
Войти