Zorrro Опубликовано 28 февраля, 2016 Поделиться Опубликовано 28 февраля, 2016 Пациента прислали на консультацию с кт. Огромная квк,ожидаемая трещина,локально гиперемия,подвижность коронки.Назначили аб терапию и записались на операцию через 2 дня.К сожалению нет фотодокументации с первой консультацией.Альтернативой немедленной нагрузки с костной и мягкотканной пластикой,были отсроченные костные блоки,с двухэтапным протоколом имплантации и тд и тп.С вероятным коллапсом мягких тканей,турбомобилизацией и прочими неприятными сопутствующими манипуляциями растянутыми по времени,а самое главное без ясного и прогнозируемого результата…короче решили рискнуть. Ссылка на комментарий
Evikrol Опубликовано 28 февраля, 2016 Поделиться Опубликовано 28 февраля, 2016 Непонятно. 3 Ссылка на комментарий
doca Опубликовано 28 февраля, 2016 Поделиться Опубликовано 28 февраля, 2016 Пациента прислали на консультацию с кт. image.jpegimage.jpegОгромная квк,ожидаемая трещина,локально гиперемия,подвижность коронки.Назначили аб терапию и записались на операцию через 2 дня.К сожалению нет фотодокументации с первой консультацией.Альтернативой немедленной нагрузки с костной и мягкотканной пластикой,были отсроченные костные блоки,с двухэтапным протоколом имплантации и тд и тп.С вероятным коллапсом мягких тканей,турбомобилизацией и прочими неприятными сопутствующими манипуляциями растянутыми по времени,а самое главное без ясного и прогнозируемого результата…короче решили рискнуть.И? 2 Ссылка на комментарий
сирена Опубликовано 28 февраля, 2016 Поделиться Опубликовано 28 февраля, 2016 И?И теперь поддерживайте или отговаривайте.Аргументированно! )) Ссылка на комментарий
Доктор Дмитрий Опубликовано 28 февраля, 2016 Поделиться Опубликовано 28 февраля, 2016 А в реальности что с вестибулярного кортикакой? Её вообще нет? Ссылка на комментарий
Доктор Дмитрий Опубликовано 28 февраля, 2016 Поделиться Опубликовано 28 февраля, 2016 Какую тактику в итоге применили Ссылка на комментарий
Evikrol Опубликовано 28 февраля, 2016 Поделиться Опубликовано 28 февраля, 2016 А что, кости вагон, сразу и крутите. Есть сомнения, консервируйте и мериленд. В чем вопрос репонятно Ссылка на комментарий
Zorrro Опубликовано 28 февраля, 2016 Автор Поделиться Опубликовано 28 февраля, 2016 А в реальности что с вестибулярного кортикакой? Её вообще нет?Вообще,то есть совсем. Ссылка на комментарий
Zorrro Опубликовано 28 февраля, 2016 Автор Поделиться Опубликовано 28 февраля, 2016 А что, кости вагон, сразу и крутите. Есть сомнения, консервируйте и мериленд. В чем вопрос репонятноВопрос философский,что предпочтительней в таких ситуациях.У каждого свой ответ и свой опыт.у каждого варианта есть свои + и -.…я решил пойти по немедленному протоколу,может это решение было продиктовано небольшим опытом (и ещё меньшим опытом осложнений)таких операций. Ссылка на комментарий
Jurai Опубликовано 28 февраля, 2016 Поделиться Опубликовано 28 февраля, 2016 и где? будет через два дня? Ссылка на комментарий
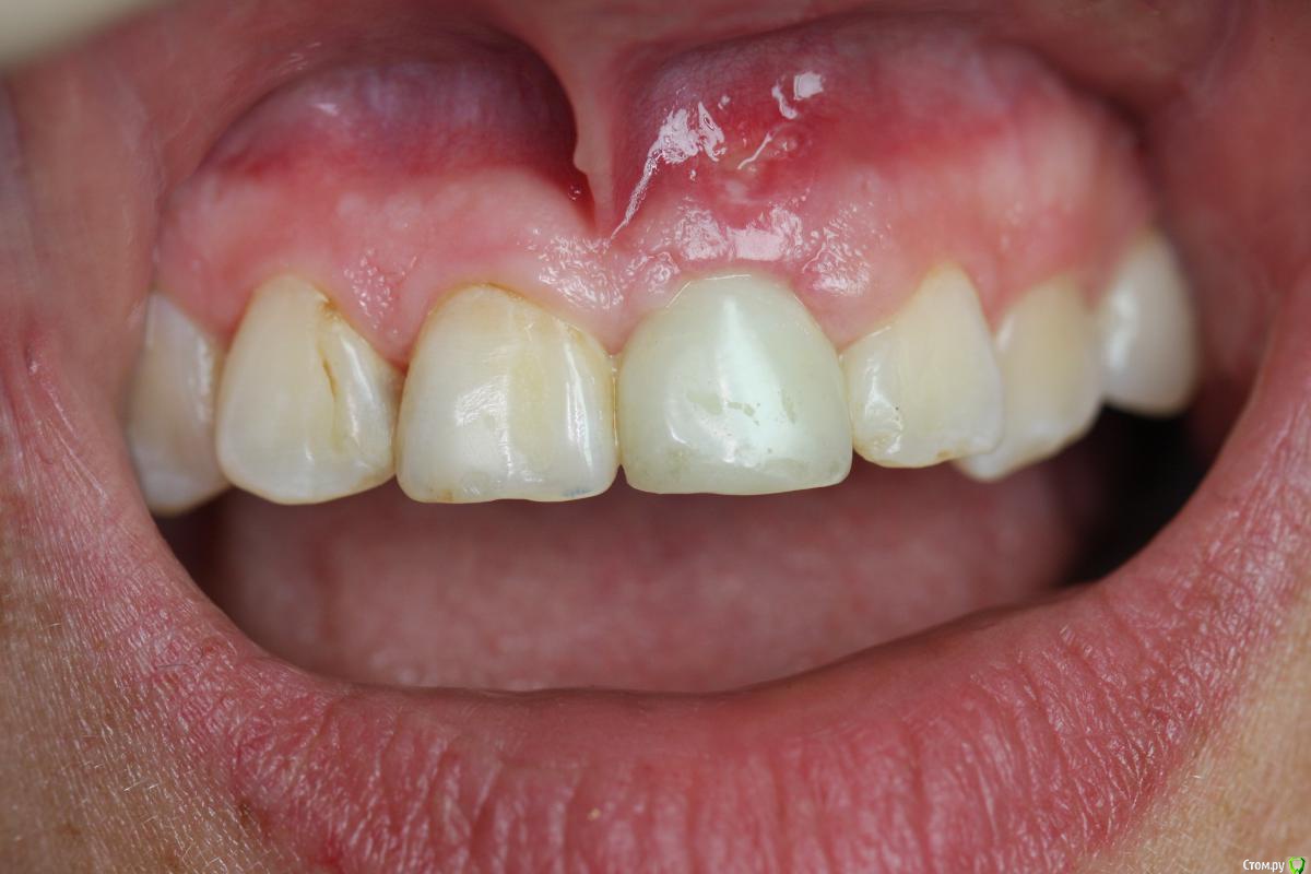
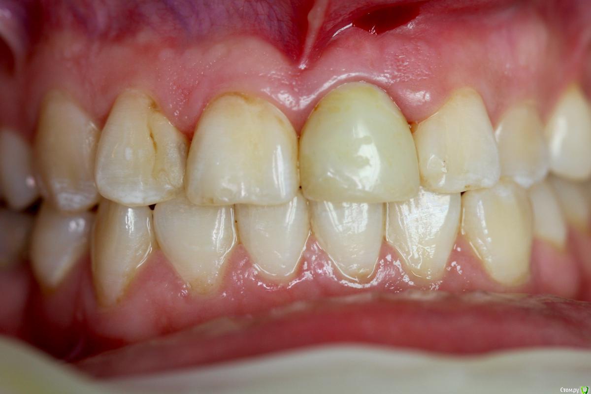
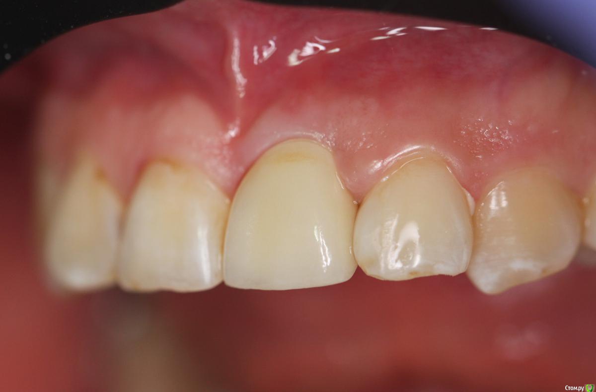
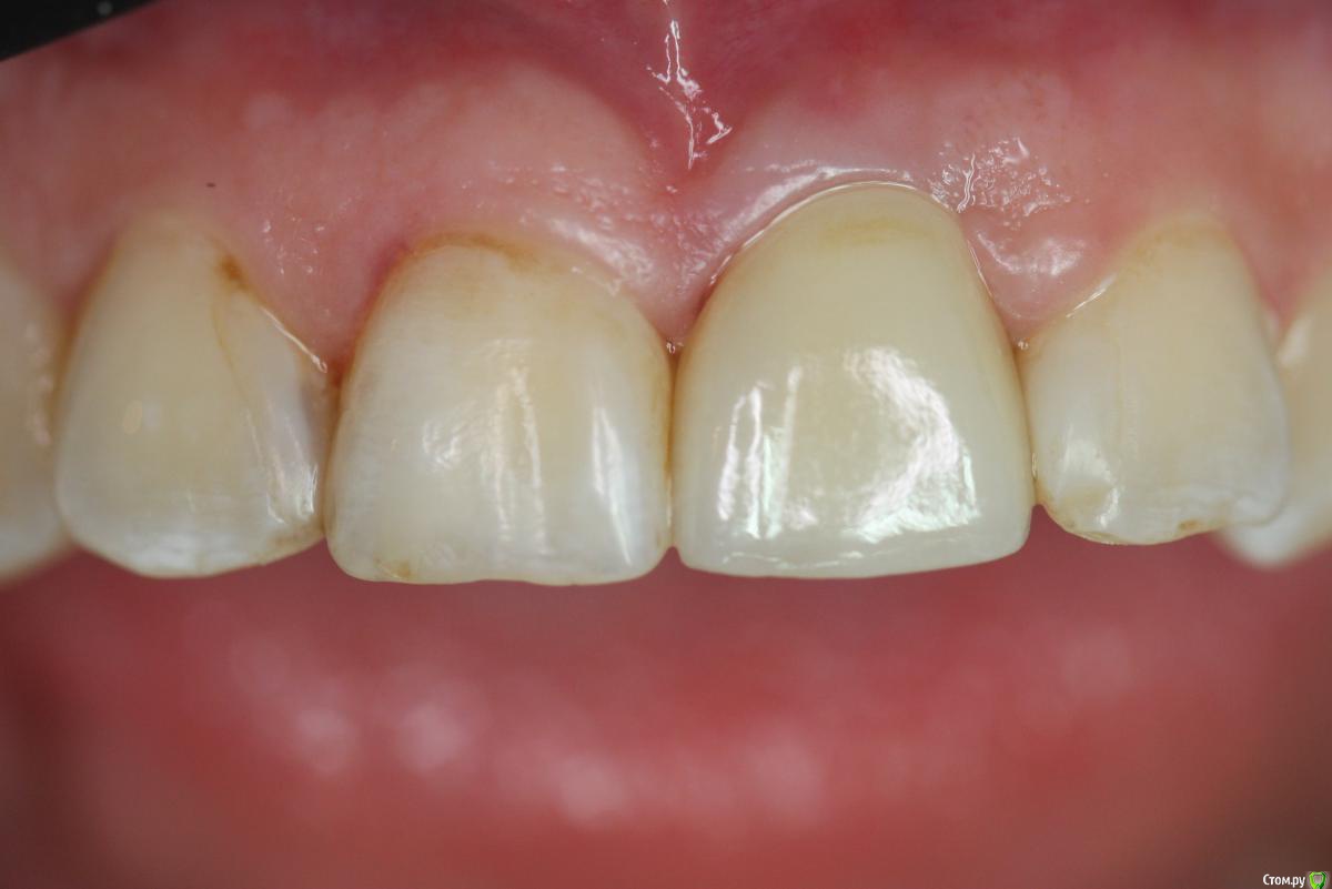
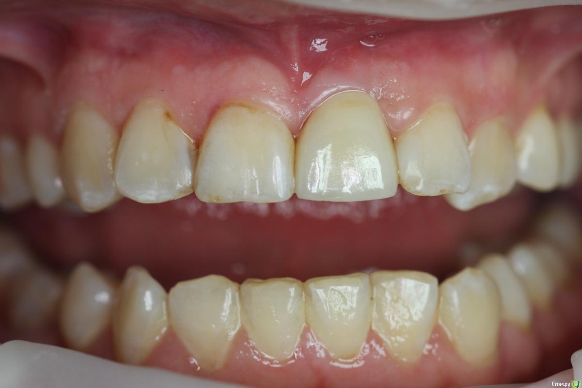
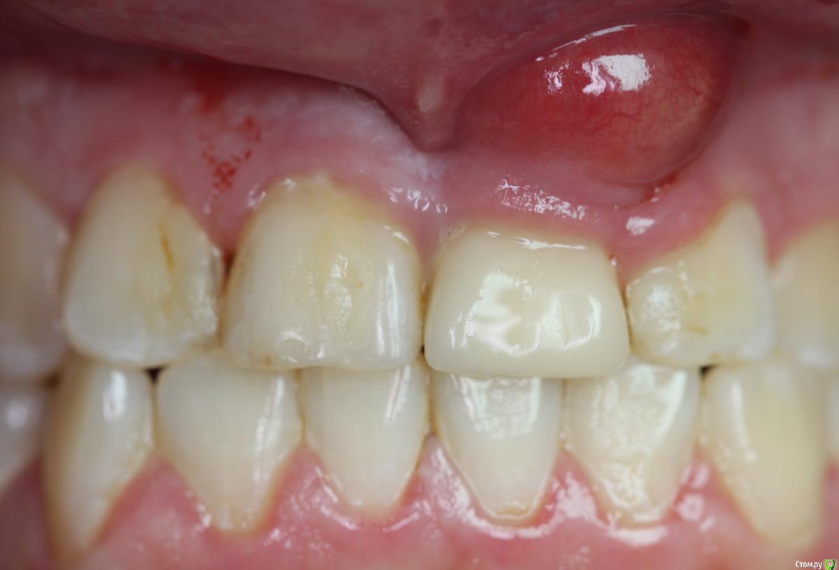
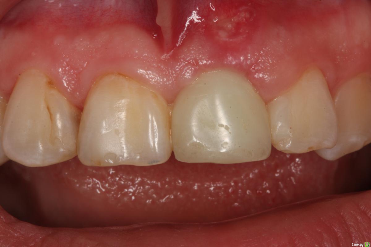
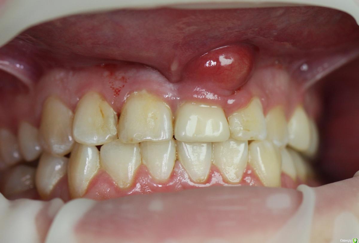
Zorrro Опубликовано 29 февраля, 2016 Автор Поделиться Опубликовано 29 февраля, 2016 (изменено) Через два дня пациент меня неприятно удивил.И ,безусловно,правильно было бы отменить операцию и ограничиться удалением,но… Вот такой был сюрприз под носом с нечищенными зубами.Обговорив риски,перекрестившись начали.Во время операции фото не делал.Слизистая в проекции 21 была сильно истончена острым гнойным процессом,буквально светилась.в итоге после эвакуации гноя промыл фурацилином,установил анкилос А11,подсыпал остеопласт вестибулярно и укрыл это всё сст из бугра в качестве мембраны.ещё один сст пошёл навременный абатмент в виде "шашлыка".Через 10 дней Через 4 месяцас рекомендацией замены пломбы на 12 у своего доктора мы ипопрощались.пациентка осталась глубоко удовлетворённой,а это главное. Изменено 29 февраля, 2016 пользователем Zorrro 4 Ссылка на комментарий
Доктор Дмитрий Опубликовано 29 февраля, 2016 Поделиться Опубликовано 29 февраля, 2016 Молодец, кт еще бы посмотреть, но с качественным кт видимо проблемы? Ссылка на комментарий
Evikrol Опубликовано 29 февраля, 2016 Поделиться Опубликовано 29 февраля, 2016 Доктор врунишка! Ссылка на комментарий
Zorrro Опубликовано 29 февраля, 2016 Автор Поделиться Опубликовано 29 февраля, 2016 Кт после ещё нету,а качество его вполне хорошее (pointnix ).просто срезы кт в первом посте это фото экрана сделанное планшетом.в чём враньё не понял.? Ссылка на комментарий
Игорь Пеликан Опубликовано 29 февраля, 2016 Поделиться Опубликовано 29 февраля, 2016 (изменено) Вообще,то есть совсем. Если вестибулярной пластинки не бьіло,на кт похоже нет,и вьі засьіпали ету полость остепластом без ауто ,то ее и сейчас там нету,только мясо,из за етого и рецессия Изменено 29 февраля, 2016 пользователем Игорь Пеликан Ссылка на комментарий
Доктор Дмитрий Опубликовано 1 марта, 2016 Поделиться Опубликовано 1 марта, 2016 Кт после ещё нету,а качество его вполне хорошее (pointnix ).просто срезы кт в первом посте это фото экрана сделанное планшетом.в чём враньё не понял?У вас на кт нет вестибулярного кортикалки лунки Ссылка на комментарий
Zorrro Опубликовано 1 марта, 2016 Автор Поделиться Опубликовано 1 марта, 2016 У вас на кт нет вестибулярного кортикалки лункиНу и? Ссылка на комментарий
Доктор Дмитрий Опубликовано 1 марта, 2016 Поделиться Опубликовано 1 марта, 2016 Ну и?А хотелось бы чтобы клиническая картина соответствовала рентгенологическое, вы ведь говорите что кортикалка была. Ссылка на комментарий
Zorrro Опубликовано 1 марта, 2016 Автор Поделиться Опубликовано 1 марта, 2016 А хотелось бы чтобы клиническая картина соответствовала рентгенологическое, вы ведь говорите что кортикалка была.Перечитайте,пожалуйста,где я написал,что кортикалка есть?Наоборот писал,что в проекции 21 её нету,на кт её тоже нету.во время операции тоже не заметил.может вы неправильно меня поняли или я что-то не так написал? Ссылка на комментарий
Доктор Дмитрий Опубликовано 1 марта, 2016 Поделиться Опубликовано 1 марта, 2016 Я наверное неправильно понял, и подумал что после удаления Вы ее увидели и спланировали имплант одномоментно,. Тогда вдвойне интересней кт посмотреть. Новый Гамборена появился. Ссылка на комментарий
syrovovec Опубликовано 1 марта, 2016 Поделиться Опубликовано 1 марта, 2016 Пост сумбурный но результат достойный. Мне понравилось. Сам бы делал по другому, т.к. я не Палачи, в гной ставить не стал) Ссылка на комментарий
Zorrro Опубликовано 1 марта, 2016 Автор Поделиться Опубликовано 1 марта, 2016 Пост сумбурный но результат достойный. Мне понравилось. Сам бы делал по другому, т.к. я не Палачи, в гной ставить не стал)В гной ставить никому не рекомендую.да и сам врядли буду повторять такие"подвиги".просто так получилось,как получилось…Гной то отмыть не проблема,проблема в кровоснобжении данного участка,которогочудом хватило для двух сст,спасибо организму(имхо).А могло откиснуть всё знатно и принести мне много-премного геморроя Ссылка на комментарий
Рекомендуемые сообщения
Для публикации сообщений создайте учётную запись или авторизуйтесь
Вы должны быть пользователем, чтобы оставить комментарий
Создать аккаунт
Зарегистрируйте новый аккаунт в нашем сообществе. Это очень просто!
Регистрация нового пользователяВойти
Уже есть аккаунт? Войти в систему.
Войти