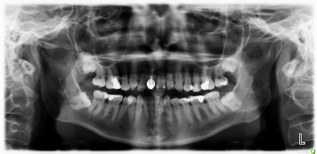
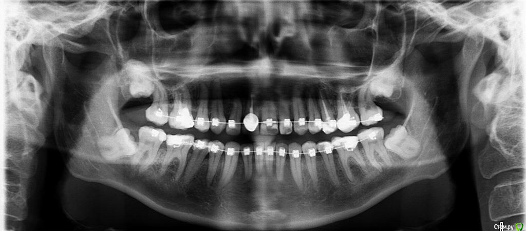
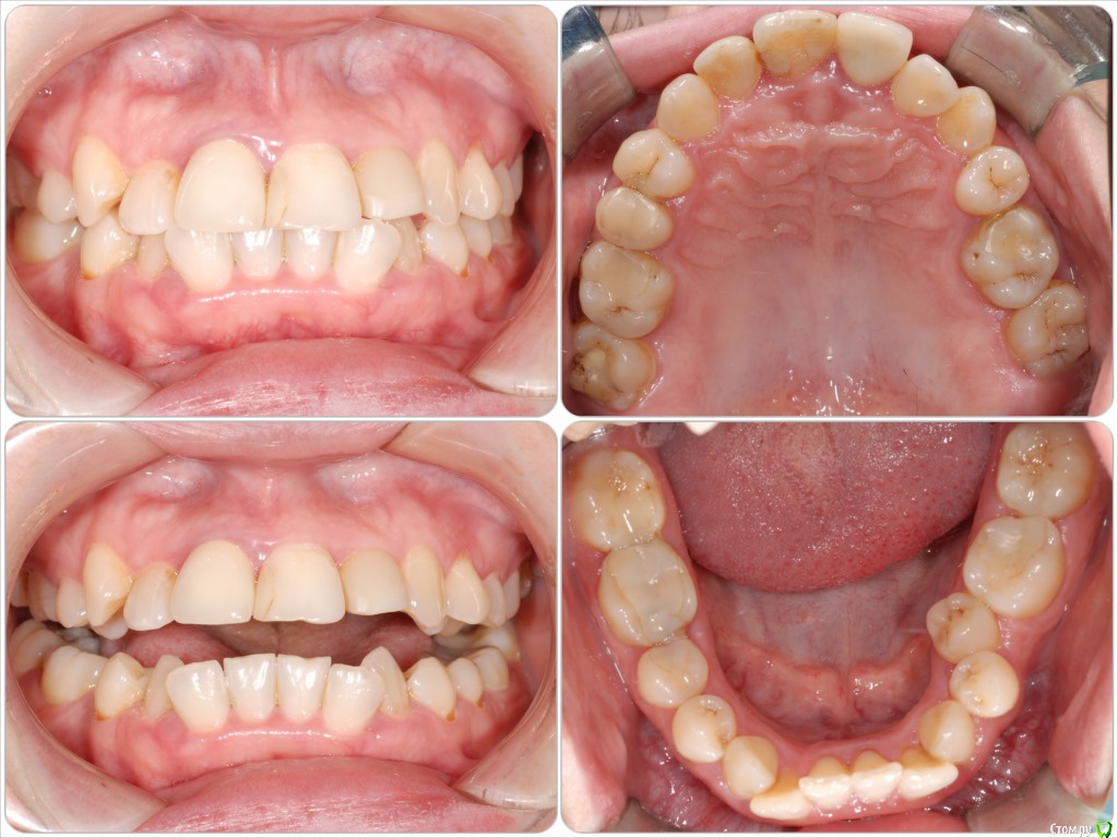
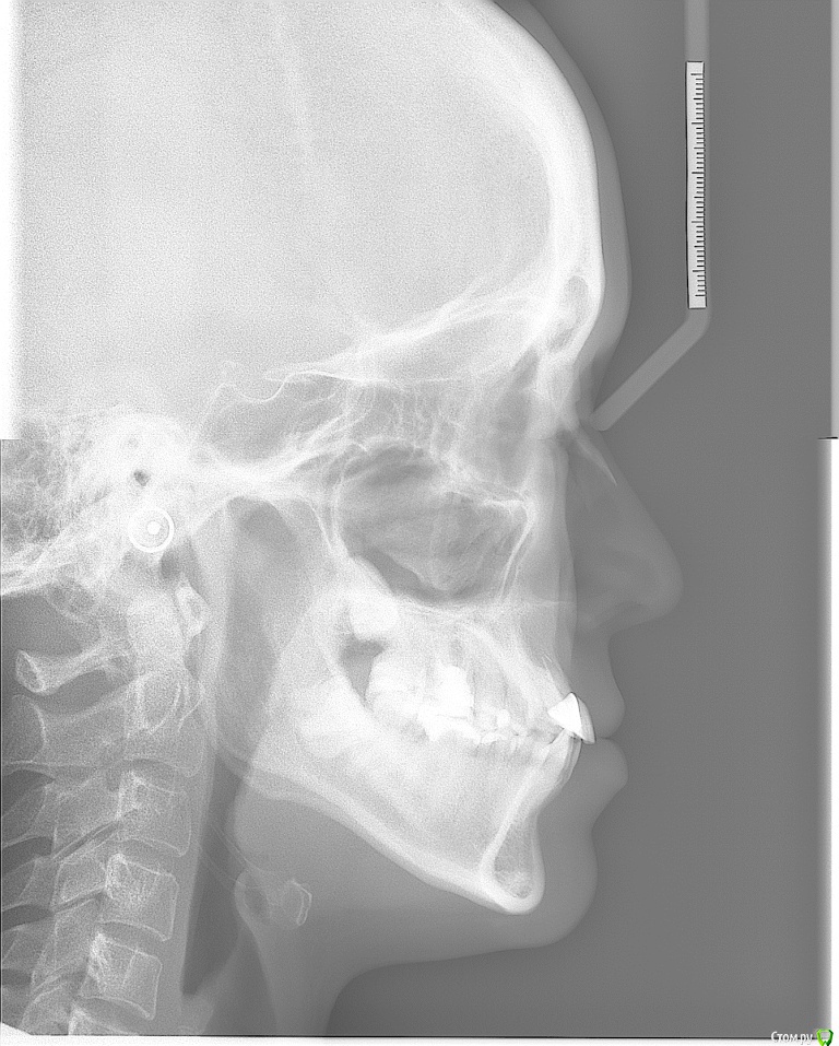
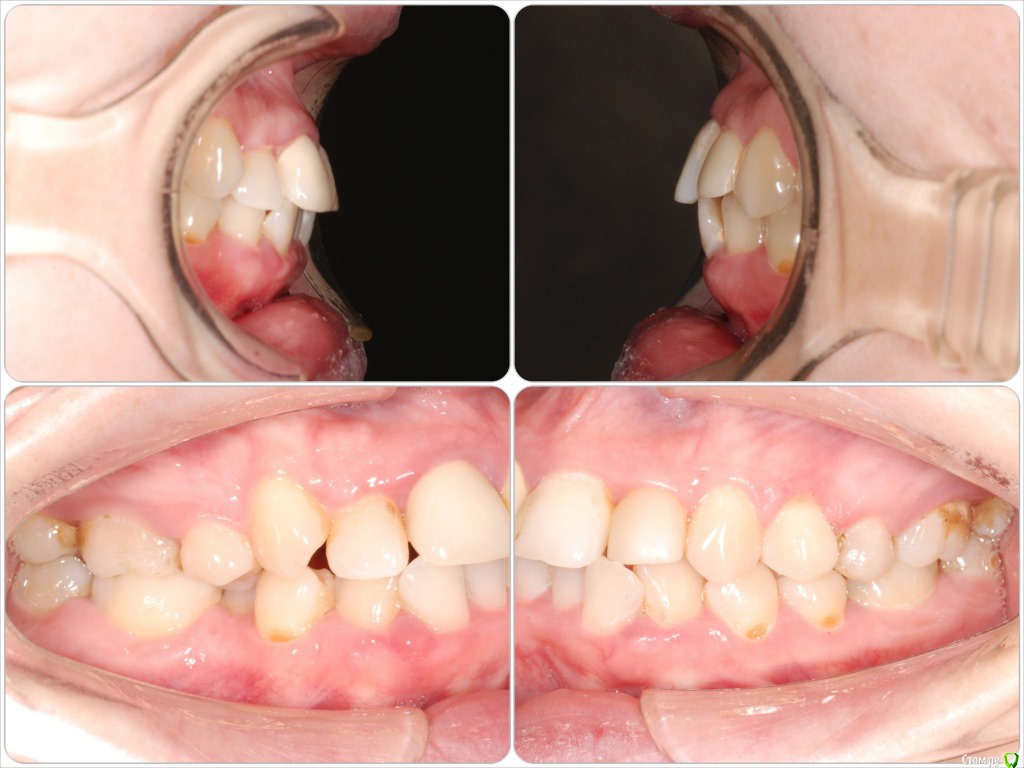
Galaola Опубликовано 28 февраля, 2016 Поделиться Опубликовано 28 февраля, 2016 Добрый день! Мне 36лет. Удалена правая верхняя 4 в детстве. При выборе ортодонта остановилась на варианте без удаления зубов, но с сепарацией зубов НЧ. Через 6 мес лечения ортодонт заявляет об удалении правой нижней 8 как минимум, а лучше всех. Прошу совета и мнения специалистов. Насколько необходимо удаление 8-к? Возможно ли расширить ВЧ и каким образом? Возможно ли подготовить место под имплант отсутствующей 4 или поставить адгезионный мост? Спасибо. Ссылка на комментарий
Maxfac Опубликовано 28 февраля, 2016 Поделиться Опубликовано 28 февраля, 2016 Удалять 8 однозначно. Ссылка на комментарий
Galaola Опубликовано 28 февраля, 2016 Автор Поделиться Опубликовано 28 февраля, 2016 Удалять 8 однозначно.все или можно нижними обойтись? В моем возрасте уже не прорежутся? Ссылка на комментарий
red_butler Опубликовано 28 февраля, 2016 Поделиться Опубликовано 28 февраля, 2016 все или можно нижними обойтись? В моем возрасте уже не прорежутся?все удаляйте 1 Ссылка на комментарий
Galaola Опубликовано 1 марта, 2016 Автор Поделиться Опубликовано 1 марта, 2016 Возможно ли расширить ВЧ и каким образом? Возможно ли подготовить место под имплант отсутствующей 4 или поставить адгезионный мост? без расчетов можно это определить? Ссылка на комментарий
Yana guapa Опубликовано 1 марта, 2016 Поделиться Опубликовано 1 марта, 2016 без расчетов можно это определить? какие расчеты Вы имеет ввиду? Ссылка на комментарий
Galaola Опубликовано 2 марта, 2016 Автор Поделиться Опубликовано 2 марта, 2016 какие расчеты Вы имеет ввиду? ортодонтические, для имплантаций.. Ссылка на комментарий
Galaola Опубликовано 2 марта, 2016 Автор Поделиться Опубликовано 2 марта, 2016 какие расчеты Вы имеет ввиду? просто у меня расчетов нет, только снимки Ссылка на комментарий
Yana guapa Опубликовано 2 марта, 2016 Поделиться Опубликовано 2 марта, 2016 без расчетов можно это определить? расчеты ортодонтические каждый врач делает для себя свои, те, которые ему нужны и удобны в работе ортодонтические, для имплантаций.. расчет для имплантации делает врач- имплантолог после того, как ортодонт создаст место для импланта (если создаст))) Ссылка на комментарий
Brigita Опубликовано 9 марта, 2016 Поделиться Опубликовано 9 марта, 2016 8ки уже не прорежутся, их нужно удалять. Даже прорезанные зубы мудростм все 4 несут жевательную нагрузку около 3%, то есть они абсолютно в Вашем случае ненужные.Имплантация каких зубов планируется? Ссылка на комментарий
Рекомендуемые сообщения
Для публикации сообщений создайте учётную запись или авторизуйтесь
Вы должны быть пользователем, чтобы оставить комментарий
Создать аккаунт
Зарегистрируйте новый аккаунт в нашем сообществе. Это очень просто!
Регистрация нового пользователяВойти
Уже есть аккаунт? Войти в систему.
Войти