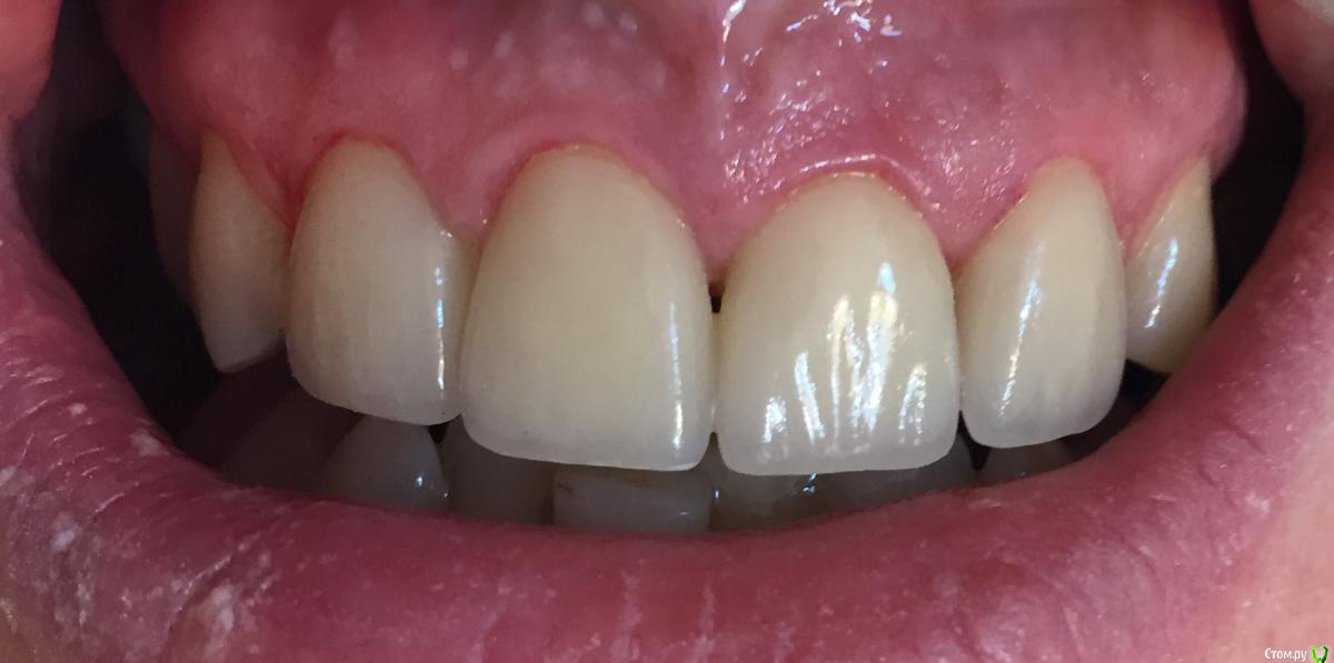
Военный Врач Опубликовано 26 февраля, 2016 Поделиться Опубликовано 26 февраля, 2016 На Ваш суд. последние фото на огрызок- сели батареи в камере 7 Ссылка на комментарий
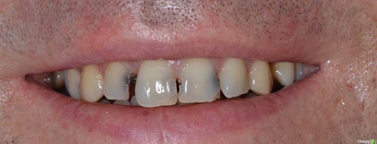
red_butler Опубликовано 26 февраля, 2016 Поделиться Опубликовано 26 февраля, 2016 Когда прочитал тему, подумал что имплантами будешь лечить. 3 Ссылка на комментарий
Военный Врач Опубликовано 26 февраля, 2016 Автор Поделиться Опубликовано 26 февраля, 2016 Когда прочитал тему, подумал что имплантами будешь лечить.нет,я хороший 1 Ссылка на комментарий
diesel87 Опубликовано 26 февраля, 2016 Поделиться Опубликовано 26 февраля, 2016 ааааа это виниры что ли?? Ссылка на комментарий
Военный Врач Опубликовано 26 февраля, 2016 Автор Поделиться Опубликовано 26 февраля, 2016 ааааа это виниры что ли?? ультра нанониры Ссылка на комментарий
diesel87 Опубликовано 26 февраля, 2016 Поделиться Опубликовано 26 февраля, 2016 ультра нанониры хорошо что не анониры 6 Ссылка на комментарий
chervoncevdaniil Опубликовано 26 февраля, 2016 Поделиться Опубликовано 26 февраля, 2016 Врачебку то покажите,пожалуйста Ссылка на комментарий
johniola Опубликовано 26 февраля, 2016 Поделиться Опубликовано 26 февраля, 2016 а я думал удалением будешь лечить. Ссылка на комментарий
алекс 100 Опубликовано 26 февраля, 2016 Поделиться Опубликовано 26 февраля, 2016 Может дело в фото,но как помне длинноваты резцы. Ссылка на комментарий
diesel87 Опубликовано 26 февраля, 2016 Поделиться Опубликовано 26 февраля, 2016 Может дело в фото,но как помне длинноваты резцы.На МОКапе кмк длинноваты. Ссылка на комментарий
Военный Врач Опубликовано 26 февраля, 2016 Автор Поделиться Опубликовано 26 февраля, 2016 На МОКапе кмк длинноваты.МОКап со своих зубов, виниры делались по ключу со своих-вариант с длинными отпадает Ссылка на комментарий
Петр Бриньковский Опубликовано 9 марта, 2016 Поделиться Опубликовано 9 марта, 2016 На Ваш суд. последние фото на огрызок- сели батареи в камереСудя по разрушениям-полные виниры похоже)) Ссылка на комментарий
Ferdaus Опубликовано 11 марта, 2016 Поделиться Опубликовано 11 марта, 2016 центральные объединили или это слюна такой эффект дает? если объединили, то почему, не лучше ли было сделать одиночками? Ссылка на комментарий
Военный Врач Опубликовано 23 марта, 2016 Автор Поделиться Опубликовано 23 марта, 2016 центральные объединили или это слюна такой эффект дает? если объединили, то почему, не лучше ли было сделать одиночками?одиночки Ссылка на комментарий
dantist_movani Опубликовано 24 апреля, 2016 Поделиться Опубликовано 24 апреля, 2016 Круто! Ссылка на комментарий
MaxDok Опубликовано 25 апреля, 2016 Поделиться Опубликовано 25 апреля, 2016 (изменено) На Ваш суд. последние фото на огрызок- сели батареи в камереKeep calm , and count teeth .) Изменено 25 апреля, 2016 пользователем MaxDok Ссылка на комментарий
Гарриевич Опубликовано 26 апреля, 2016 Поделиться Опубликовано 26 апреля, 2016 Прикольно) Фиксировались без коффа? Ссылка на комментарий
Рекомендуемые сообщения
Для публикации сообщений создайте учётную запись или авторизуйтесь
Вы должны быть пользователем, чтобы оставить комментарий
Создать аккаунт
Зарегистрируйте новый аккаунт в нашем сообществе. Это очень просто!
Регистрация нового пользователяВойти
Уже есть аккаунт? Войти в систему.
Войти