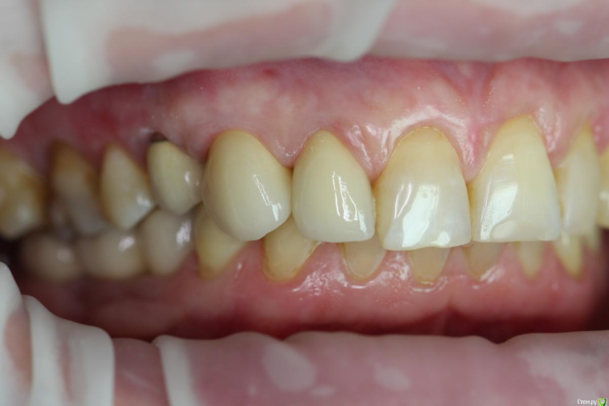
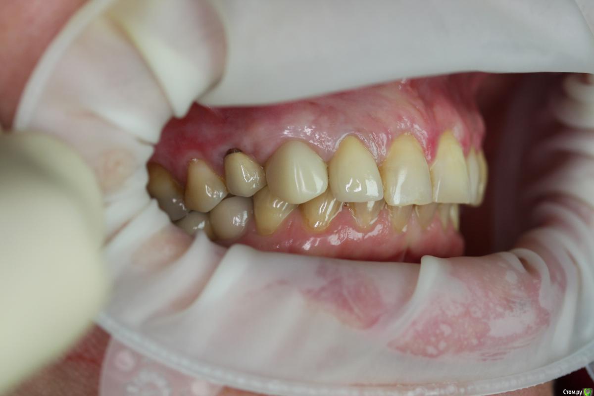
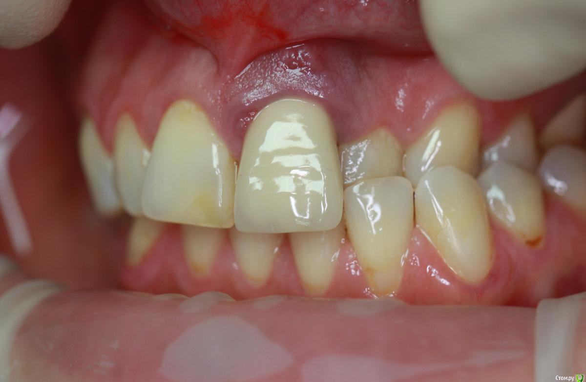
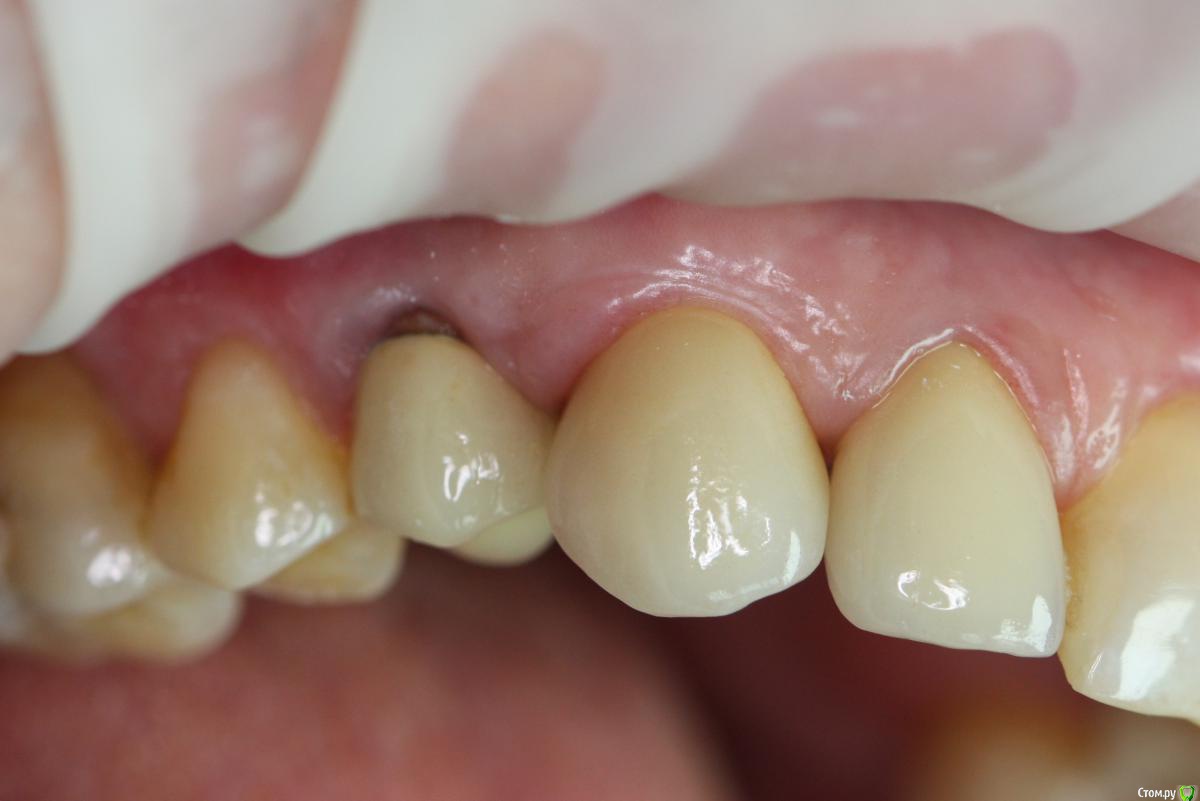
Zorrro Опубликовано 25 февраля, 2016 Поделиться Опубликовано 25 февраля, 2016 (изменено) Трещина 21зуба,удаление,дно лунки чистое,промыл фурацилином ,ложкой Лукаса на всякий случай пошкрёб и дальше стандартно Ankylos 3,5 на 14,сст из бугра ,пара швов.Вообщем ничего не предвещало проблем…Через 4 месяцаВестибулярно всё плотно,небольшой гиперобъём слизистой..А вот небно свищь,пришлось делать ревизию,prf и ждать 4 месяца.Случай начинался,как один из самых простых(трещина горизонтальная неглубокая,периапикально всё спокойно было…).Какие ваши мысли? Изменено 25 февраля, 2016 пользователем Zorrro Ссылка на комментарий
алекс 100 Опубликовано 25 февраля, 2016 Поделиться Опубликовано 25 февраля, 2016 Если Вы не смотрели КТ до постановки,то остается только гадать. Ссылка на комментарий
Zorrro Опубликовано 26 февраля, 2016 Автор Поделиться Опубликовано 26 февраля, 2016 (изменено) Без кт имплантации у меня не бывает в 99%случаев.Есть кт и до операции и после 4-х месяцев . Изменено 26 февраля, 2016 пользователем Zorrro Ссылка на комментарий
Jurai Опубликовано 26 февраля, 2016 Поделиться Опубликовано 26 февраля, 2016 (изменено) это такая мощная узура после откидывания лоскута? или уже какие-то грануляции вокруг имплантата убрали? А не попали вы в резцовый канал? Изменено 26 февраля, 2016 пользователем Jurai Ссылка на комментарий
Zorrro Опубликовано 26 февраля, 2016 Автор Поделиться Опубликовано 26 февраля, 2016 резцовый канал на первом кт был не широкий.Имплантат приходилось ставить к каналу впритирку,может из-за компрессии?хз.У пациентки во рту полно периодонтитных зубов ,поэтому на первом снимке я Ничего кроме широкого резцового и не рассмотрел,грешил на соседей вплоть до премоляровно кт расставило всё по местам... Ссылка на комментарий
АнтонТЛТ Опубликовано 26 февраля, 2016 Поделиться Опубликовано 26 февраля, 2016 Компрессия кортикалки 100%Может быть из-за перегоева такая картина, но на более раних сроках Ссылка на комментарий
Zorrro Опубликовано 27 февраля, 2016 Автор Поделиться Опубликовано 27 февраля, 2016 (изменено) Компрессия кортикалки 100%Может быть из-за перегоева такая картина, но на более раних срокахБлин,ну ни каких болей в постоперационный период,а так да в шов упёрся походу…А по поводу перегрева хз,если честно часто работаю без охлаждения(неспеша и без дыма) проблем не было ещё с этим связанных.. Изменено 27 февраля, 2016 пользователем Zorrro 1 Ссылка на комментарий
АнтонТЛТ Опубликовано 27 февраля, 2016 Поделиться Опубликовано 27 февраля, 2016 Не всегда может сопровождаться болью, обычно ретроградные периимплантиты лечатся не сложно Ссылка на комментарий
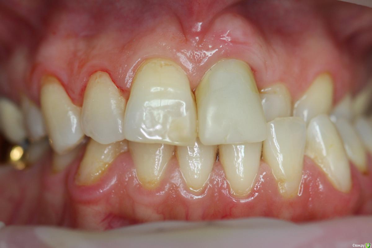
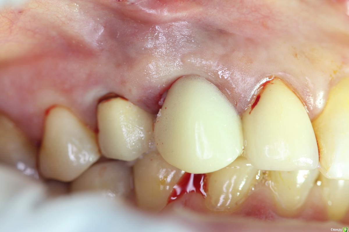
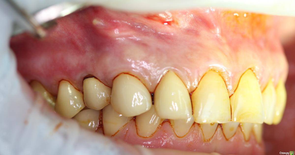
Zorrro Опубликовано 27 февраля, 2016 Автор Поделиться Опубликовано 27 февраля, 2016 Оставим свищи ,теперь просто немедленная нагрузка(моя первая)Примерка редуцированной коронкиЧерез 4 месяцаВообщем все остались довольны где-то два года назад 4 Ссылка на комментарий
Доктор Дмитрий Опубликовано 28 февраля, 2016 Поделиться Опубликовано 28 февраля, 2016 Хорошая работа, только коронку на 14 нодо заменить. Кт есть? Ссылка на комментарий
Zorrro Опубликовано 28 февраля, 2016 Автор Поделиться Опубликовано 28 февраля, 2016 спасибо,кт после нет.за 14 пац в курсе. Ссылка на комментарий
Maxfac Опубликовано 28 февраля, 2016 Поделиться Опубликовано 28 февраля, 2016 Что-то не то с фото. Закрывайте диафрагму и используйте вспышку. Ссылка на комментарий
Рекомендуемые сообщения
Для публикации сообщений создайте учётную запись или авторизуйтесь
Вы должны быть пользователем, чтобы оставить комментарий
Создать аккаунт
Зарегистрируйте новый аккаунт в нашем сообществе. Это очень просто!
Регистрация нового пользователяВойти
Уже есть аккаунт? Войти в систему.
Войти