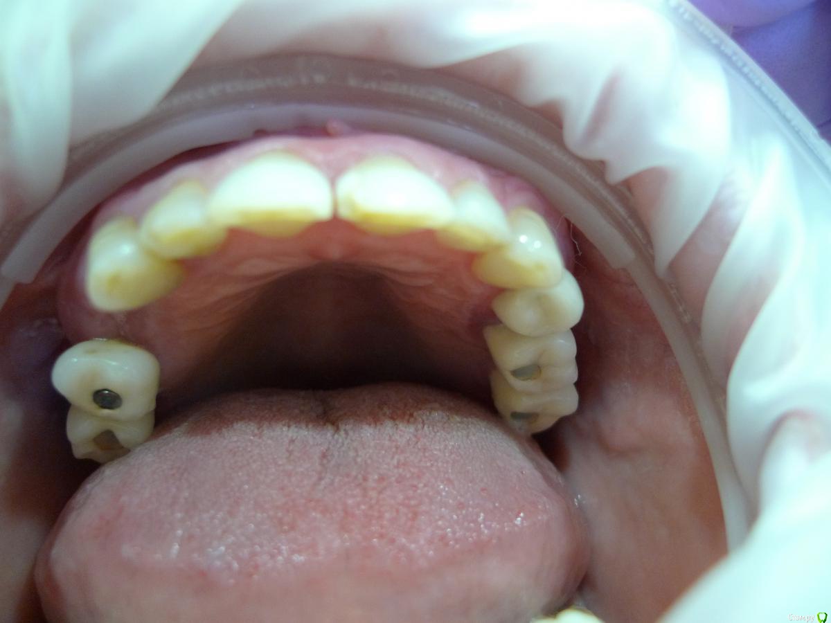
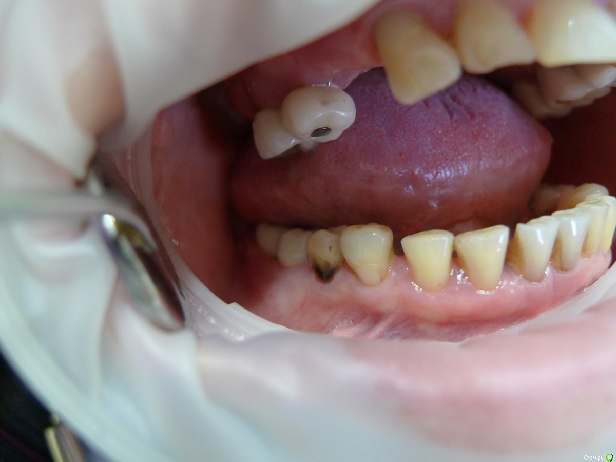
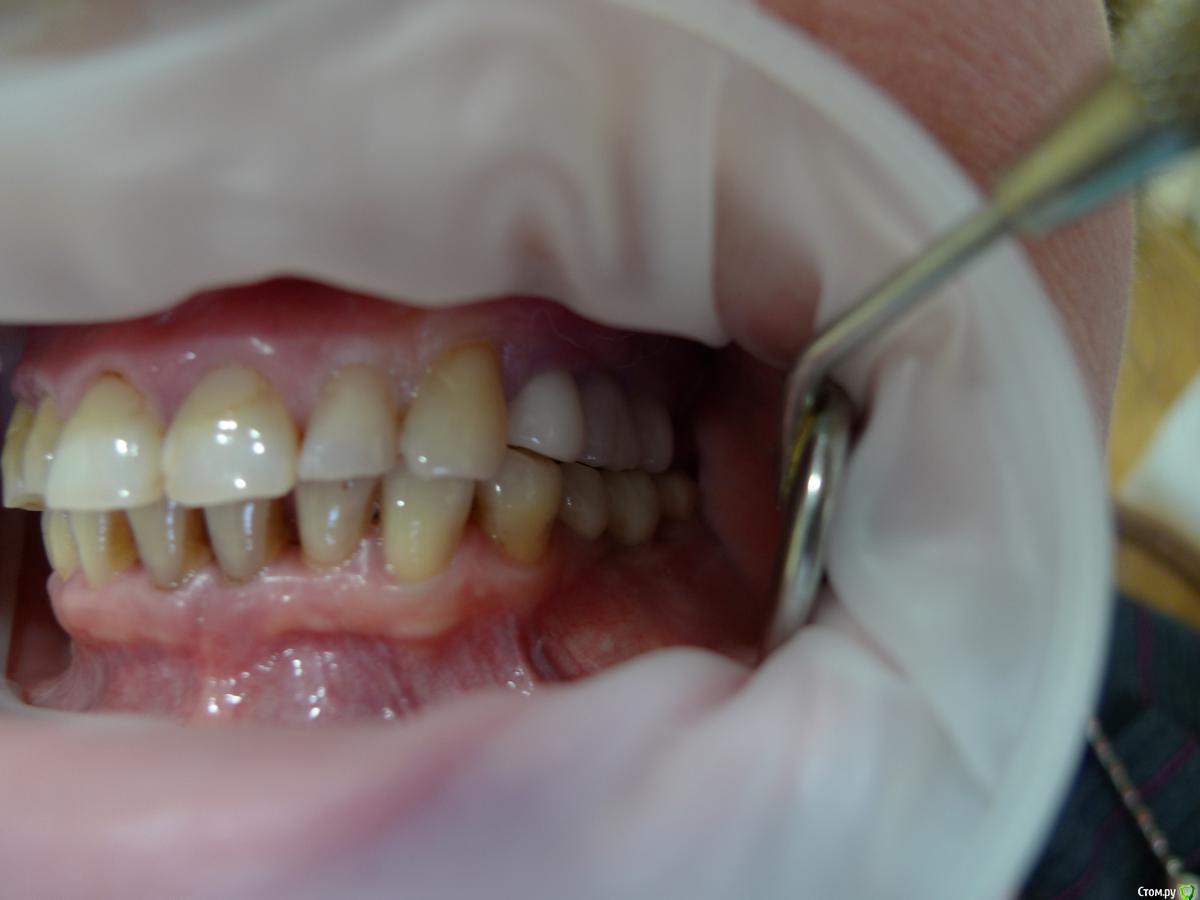
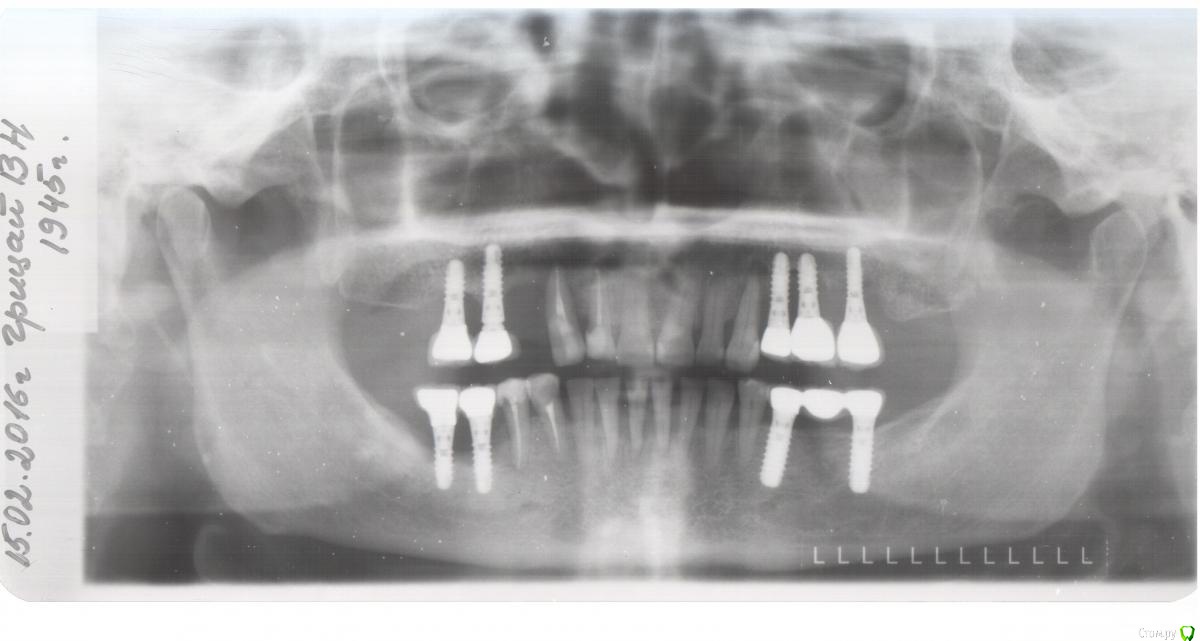
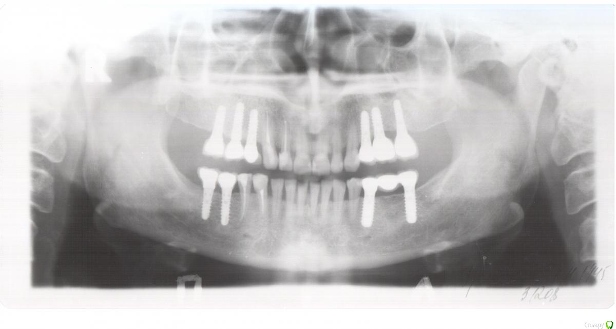
alekszander Опубликовано 25 февраля, 2016 Поделиться Опубликовано 25 февраля, 2016 Пациентка 45-го г.р. Из анамнеза: имплантация была проведена более 10 лет назад. Имплантаты на тот момент очень популярные и ставил человек минимум КМН на тот момент, а может уже и выше. Со слов пациентки - имплантат 1.4 закачался и выпал несколько недель назад. Пациентка никаких болей не отмечает. Общее соматическое состояние - удовлетворительное. Сахар на границе +- от нижней нормы, но диабет не ставят. Были проблемы с щитовидной железой (что точно не помнит), насколько понял из анамнеза - тиреоидит вроде. Когда-то была язва (более 20 лет назад) Не курит, не пьет. В целом жизнерадостная женщина и даже не выглядит на свой возраст. Вопрос как так? В 3-м квадранте все гуд, в остальных такая опа. Со стороны полости рта - имплантаты покрыты слизистой до уровня МК коронок. На момент обращения при пальпации обильное гнойное отделяемое, но болевых ощущений нет! Назначил АБ+НПВС+АГ+ХГ местно. Сегодня пришла: гной сохранен только в области 2.3,2.4,2.5,2.6 но уже скудное отделяемое. Пальпация по прежнему безболезненная. Слизистая без грануляций, розового цвета (поверхностно) Из вариантов - по хорошему: на выход имплантаты 1,2,4 квадранты+зубы 1.3,2.3. Временные съемные. Общий анализ крови и совместное наблюдение с эндокринологом. По поводу повторной имплантации чет- сомневаюсь, но нужны будут анализы. По плохому (умаляет пациентка,т.к возраст уже такой, что повторно не готова а съемное не хочется) сохранить имплантаты и диспансерное наблюдение. Правда тут у меня вопрос в голове, а что делать с 1.4,1.3,2.3 в плане протезирования?.... Коллеги прошу помощи, ситуация не однозначная. Прилагаю ОПТГ через год после протезирования и 2 недельный снимок. Ссылка на комментарий
red_butler Опубликовано 25 февраля, 2016 Поделиться Опубликовано 25 февраля, 2016 Предположу что общая соматика здесь не причем. Свои то зубы почти все на месте. Ссылка на комментарий
alekszander Опубликовано 25 февраля, 2016 Автор Поделиться Опубликовано 25 февраля, 2016 Предположу что общая соматика здесь не причем. Свои то зубы почти все на месте.. Вопрос тогда в чем причина? Я не могу понять что этому предшествовало, а соответственно и как поступить дальше. Ссылка на комментарий
red_butler Опубликовано 25 февраля, 2016 Поделиться Опубликовано 25 февраля, 2016 Фото будут? Ссылка на комментарий
alekszander Опубликовано 25 февраля, 2016 Автор Поделиться Опубликовано 25 февраля, 2016 завтра придет сделаю, но там в целом лучше, чем по ОПТГ. Ссылка на комментарий
alekszander Опубликовано 26 февраля, 2016 Автор Поделиться Опубликовано 26 февраля, 2016 Прилагаю фото в полости рта (прошу прощения фото на мыльницу Leica) - ретракторов и зеркал пока нет. Ссылка на комментарий
Евгений Ходыкин Опубликовано 26 февраля, 2016 Поделиться Опубликовано 26 февраля, 2016 Ты чот видишь по фоткам этим? Ссылка на комментарий
alekszander Опубликовано 26 февраля, 2016 Автор Поделиться Опубликовано 26 февраля, 2016 Ты чот видишь по фоткам этим? согласен - фотки гумно. Но какие получились, не зеркалка же(хотя привык на нее фотать но в другой клинике) Ссылка на комментарий
Рекомендуемые сообщения
Для публикации сообщений создайте учётную запись или авторизуйтесь
Вы должны быть пользователем, чтобы оставить комментарий
Создать аккаунт
Зарегистрируйте новый аккаунт в нашем сообществе. Это очень просто!
Регистрация нового пользователяВойти
Уже есть аккаунт? Войти в систему.
Войти