Перейти к содержанию
Стоматология для всех

Адентия латеральных резцов


Рустам

Рекомендуемые сообщения

Здравствуйте коллеги! На консультацию обратилась пациентка, сейчас находится на ортодонтическом лечении. Предистория: три года назад обратилась к стоматологам с жалобой на неудовлетворительную эстетику фронтального отдела, вследствие врожденного отсутствия латеральных резцов. Ей было предложено ортодонтически создать место для боковых резцов, затем провести имплантацию и протезирование на имплантатах 12, 22.

Фото до:post-461-0-21793200-1456407175_thumb.jpg

Затем, с ее слов, идет длительный этап ортодонтии, почти 3 года, вследствие которого получили немного места для двоек, которого не достаточно для иплантации, так же центральные резцы ушли вперед, образовалась саггитальная щель.

Сам пациентку еще не видел(нахожусь в отпуске), общался только по телефону, направил к нашему ортодонту, попросил сделать фото на сегодняшний день, и посмотреть что к чему.

Ортодонт предлагает удалять восьмерки, ставить брекеты Дэймон на вч и нч, мини винты в ретро молярную область  и продолжать ортодонтическое лечение, создавать место для двоек. Пациентка пока пошла делать новое КТ,

Как бы вы поступили в данной ситуации на этом этапе? Пока даже не знаю согласится ли пациентка на новое ортодонтическое лечение.

Рассматривали бы вы варианты без имплантации на данном этапе?

КТ лето 2015г.:post-461-0-66686400-1456407220_thumb.jpgpost-461-0-08014000-1456407222_thumb.jpg
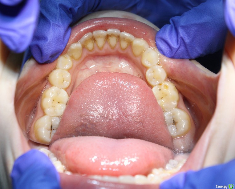
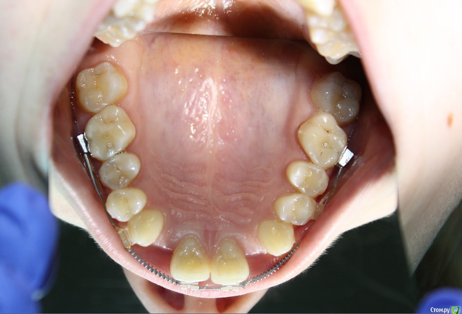
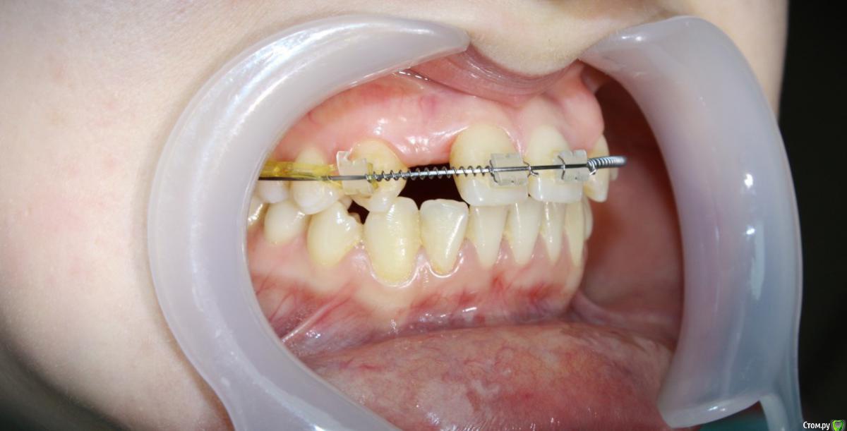
Фото сегодня:post-461-0-94195200-1456407270_thumb.jpgpost-461-0-97652100-1456407271_thumb.jpgpost-461-0-40898500-1456407273_thumb.jpgpost-461-0-68973300-1456407274_thumb.jpgpost-461-0-88108800-1456407275_thumb.jpgpost-461-0-99061300-1456407276_thumb.jpgpost-461-0-92547500-1456407277_thumb.jpgpost-461-0-02811200-1456407279_thumb.jpgpost-461-0-05035300-1456407280_thumb.jpgpost-461-0-27197600-1456407281_thumb.jpg
Ссылка на комментарий

восмерки удалить надо было до.я сто раз не ортодонт ,но даймонд тут не нужен ,место тут создать очень даже можно ,при правильной тактике ортодонта.лечение только на одной челюсти? потеря опоры(получили разворот зубов), убрать разворот вот и появится немного еще место,корни (наклон) единицы и клыка в удачном положении,я за нормальную ортодонтию

Изменено пользователем k.t.m.
  • Поддерживаю 1
Ссылка на комментарий

Рустам, какой возраст пациентки? 

1. бренд брекетов не имеет значения. можно   (и нужно, чтобы не травмировать лишний раз эмаль и кошелек пациента) эти брекеты. 

2. доклеить брекеты на семерки , переклеить 6-ки, таким образом  устранить ротацию шестерок  и усилить опору в боковом отделе. 

3. доклеить отсутствующие брекеты, создать нормальную форму зубного ряда 

4. сагитальная щель здесь небольшая (если учесть тот факт, что протрузию уберем ,  и тем более, если поставим брекеты на Н Ч ,  за счет устранения скученности)

5. в идеале ставим , конечно вторую челюсть и делаем нормальные контакты. 

Ссылка на комментарий

Рустам, какой возраст пациентки? 

1. бренд брекетов не имеет значения. можно   (и нужно, чтобы не травмировать лишний раз эмаль и кошелек пациента) эти брекеты. 

2. доклеить брекеты на семерки , переклеить 6-ки, таким образом  устранить ротацию шестерок  и усилить опору в боковом отделе. 

3. доклеить отсутствующие брекеты, создать нормальную форму зубного ряда 

4. сагитальная щель здесь небольшая (если учесть тот факт, что протрузию уберем ,  и тем более, если поставим брекеты на Н Ч ,  за счет устранения скученности)

5. в идеале ставим , конечно вторую челюсть и делаем нормальные контакты. 

Возраст пациентки примерно 17 лет.

Ссылка на комментарий

Для публикации сообщений создайте учётную запись или авторизуйтесь

Вы должны быть пользователем, чтобы оставить комментарий

Создать аккаунт

Зарегистрируйте новый аккаунт в нашем сообществе. Это очень просто!

Регистрация нового пользователя

Войти

Уже есть аккаунт? Войти в систему.

Войти
×
×
  • Создать...
Вверх