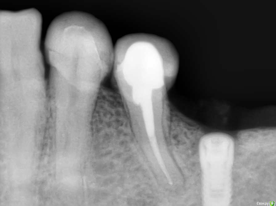
kriokov Опубликовано 24 февраля, 2016 Поделиться Опубликовано 24 февраля, 2016 Коллеги, если есть опыт имплантации с нкр у пациентов с ревматоидным артритом отпишитесь пожалуйста.Ситуация-- пациентка 45 лет, артрит с 14 лет, сейчас 45, метатрексат по 7.5 мг раз в неделю без гормональной терапии. ВМС-без особенностей, рот открывает.Разговаривал с лечащим, сказал , что в принципе можно на 1 месяц убрать метотрексат из схемы. Надо соперировать 3 квадрант, 2 болта дистально, нкр нужна и по идее можно вместе с болтами, (ширина в недостатке.)Почитал , что было под рукой про ревматоидный , не понял почему ревматоидный противопоказание для имплантации? Ссылка на комментарий
Доктор Дмитрий Опубликовано 24 февраля, 2016 Поделиться Опубликовано 24 февраля, 2016 Был такой случай,нкр и 2 болта в 3 сегменте. Пац вел лечащий доктор без гормонов на гомеопатических препаратах, антибиотики он же не рекомендовал.Я вообще ничего не назначал, он тоже. Результат хороший получился. Пол года как отпротезировали. 2 Ссылка на комментарий
kriokov Опубликовано 24 февраля, 2016 Автор Поделиться Опубликовано 24 февраля, 2016 Дмитрий, спасибо. Ссылка на комментарий
AlexanderGudkov Опубликовано 24 февраля, 2016 Поделиться Опубликовано 24 февраля, 2016 Чтоб не плодить темы, спрошу тут, с позволения администрации. Пациент с хроническим лимфолейкозом хочет имплантацию. Можно, нельзя? Ссылка на комментарий
IvanK Опубликовано 25 февраля, 2016 Поделиться Опубликовано 25 февраля, 2016 Чтоб не плодить темы, спрошу тут, с позволения администрации.Пациент с хроническим лимфолейкозом хочет имплантацию. Можно, нельзя?Думаю, что лучше создать свою тему, чтоб потом не путаться Ссылка на комментарий
Acidrocker Опубликовано 25 февраля, 2016 Поделиться Опубликовано 25 февраля, 2016 Была пациентка с таким же диагнозом - сделали НКР цитопластом и 4 импланта в беззубую нижнюю челюсть, ССТ. Без особенностей. 1 Ссылка на комментарий
AlexanderGudkov Опубликовано 25 февраля, 2016 Поделиться Опубликовано 25 февраля, 2016 Была пациентка с таким же диагнозом - сделали НКР цитопластом и 4 импланта в беззубую нижнюю челюсть, ССТ. Без особенностей.С артритом или лейкозом? И правда нужно тему отдельную)) Ссылка на комментарий
doca Опубликовано 25 февраля, 2016 Поделиться Опубликовано 25 февраля, 2016 Коллеги, если есть опыт имплантации с нкр у пациентов с ревматоидным артритом отпишитесь пожалуйста.Ситуация-- пациентка 45 лет, артрит с 14 лет, сейчас 45, метатрексат по 7.5 мг раз в неделю без гормональной терапии. ВМС-без особенностей, рот открывает.Разговаривал с лечащим, сказал , что в принципе можно на 1 месяц убрать метотрексат из схемы. Надо соперировать 3 квадрант, 2 болта дистально, нкр нужна и по идее можно вместе с болтами, (ширина в недостатке.)Почитал , что было под рукой про ревматоидный , не понял почему ревматоидный противопоказание для имплантации?есть опыт, все приросло супер ,и костная и мягкотканная пластика была. 1 Ссылка на комментарий
kriokov Опубликовано 25 февраля, 2016 Автор Поделиться Опубликовано 25 февраля, 2016 Всем спасибо за ответы. Буду планировать. Ссылка на комментарий
Evikrol Опубликовано 26 февраля, 2016 Поделиться Опубликовано 26 февраля, 2016 А я вот отправил. Как процесс заживления мягких тканей проходит? Ссылка на комментарий
Fibez Опубликовано 6 сентября, 2016 Поделиться Опубликовано 6 сентября, 2016 И чем в итоге кончилось дело? Метатриксат отменяли на период имплантации-лечения? Ссылка на комментарий
kriokov Опубликовано 6 сентября, 2016 Автор Поделиться Опубликовано 6 сентября, 2016 И чем в итоге кончилось дело? Метатриксат отменяли на период имплантации-лечения?закрутил. метатрексат не отменял. на медне надо открывать. раз в месяц приходила на осмотр, жалоб не было. свища или еще чего непотребного- тоже. откроюсь, торк проверю - отпишусь Ссылка на комментарий
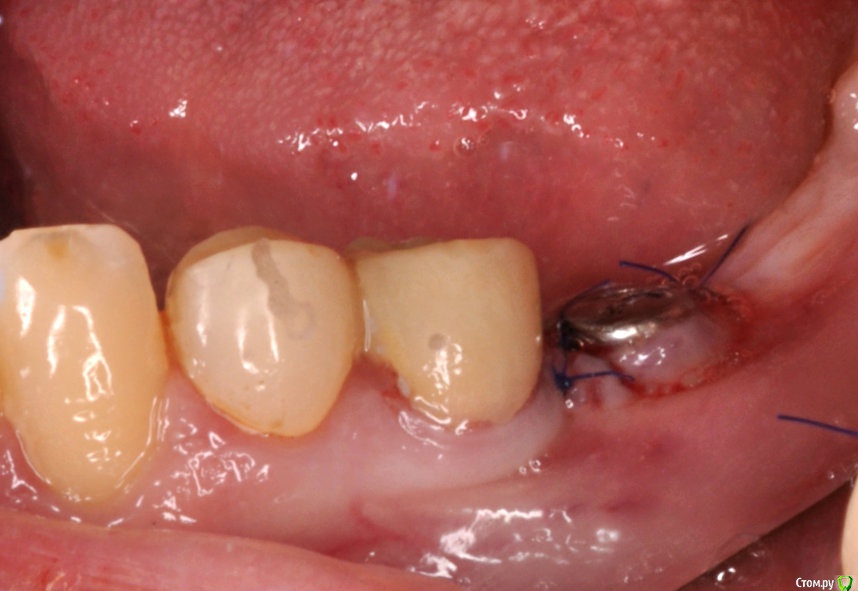
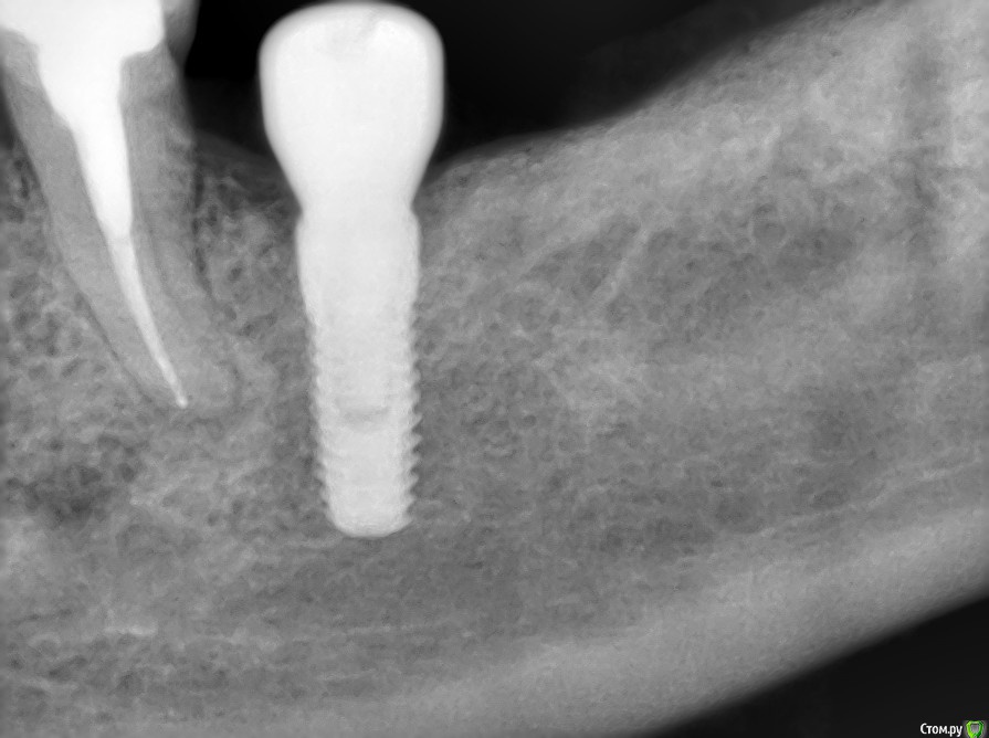
kriokov Опубликовано 7 сентября, 2016 Автор Поделиться Опубликовано 7 сентября, 2016 торк проверю - отпишусь торк 40, все штатно. Открывал без изысков. Крестально разрез, фдм, 2 шва унифлексом. Снимки свежие. 1 Ссылка на комментарий
Maxfac Опубликовано 7 сентября, 2016 Поделиться Опубликовано 7 сентября, 2016 Без ССТ? Ссылка на комментарий
kriokov Опубликовано 7 сентября, 2016 Автор Поделиться Опубликовано 7 сентября, 2016 (изменено) Без ССТ?да, там фдм стоит под 4мм, обьем мягкий есть, кератинизированная около 2 мм тоже есть. Решил сст не использовать. Заживет сфоткаю. Прсмотрим Изменено 7 сентября, 2016 пользователем kriokov 1 Ссылка на комментарий
Alexey Doc Опубликовано 10 сентября, 2016 Поделиться Опубликовано 10 сентября, 2016 Почему 2-й болт передумали ставить? Ссылка на комментарий
kriokov Опубликовано 10 сентября, 2016 Автор Поделиться Опубликовано 10 сентября, 2016 Почему 2-й болт передумали ставить?ортопед с пациенткой решили, что короткого зубн ряда хватит Ссылка на комментарий
Рекомендуемые сообщения
Для публикации сообщений создайте учётную запись или авторизуйтесь
Вы должны быть пользователем, чтобы оставить комментарий
Создать аккаунт
Зарегистрируйте новый аккаунт в нашем сообществе. Это очень просто!
Регистрация нового пользователяВойти
Уже есть аккаунт? Войти в систему.
Войти