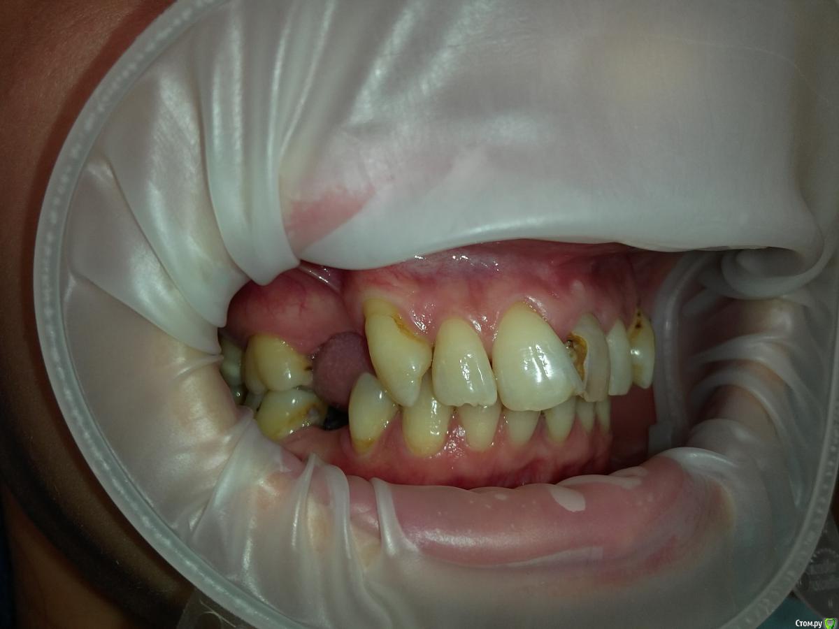
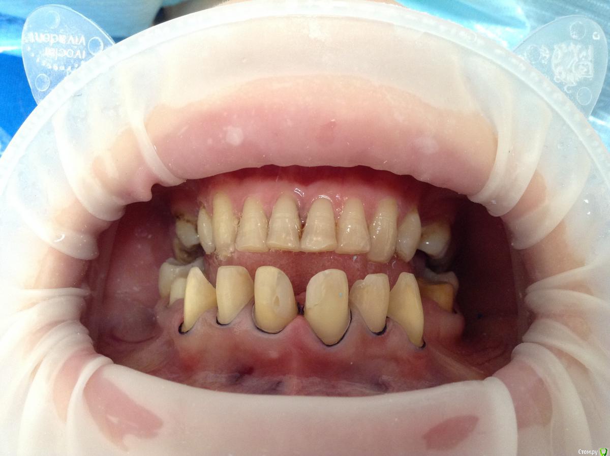
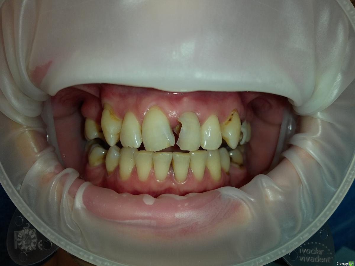
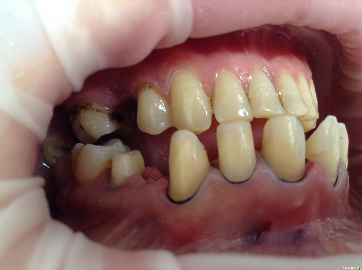
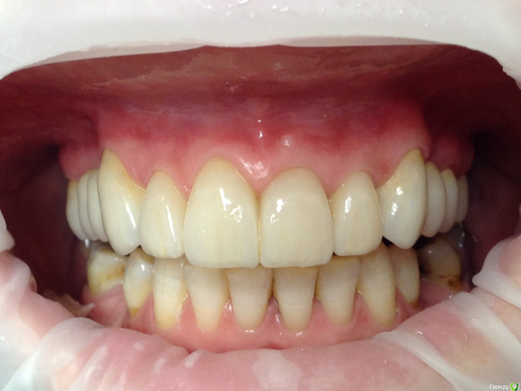
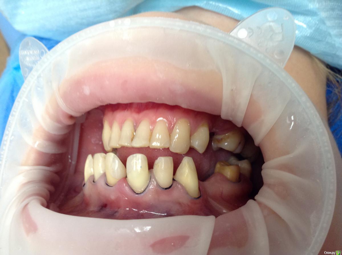
Популярный пост Ислам07 Опубликовано 24 февраля, 2016 Популярный пост Поделиться Опубликовано 24 февраля, 2016 Коллеги прошу оценить работу . Работу сделали за 3 недели . Пришла со слезами и сказала что через месяц свадьба . Пришлось быстро по работать 21 Ссылка на комментарий
Evgen-Vozhd Опубликовано 24 февраля, 2016 Поделиться Опубликовано 24 февраля, 2016 Коллеги прошу оценить работу . Работу сделали за 3 недели . Пришла со слезами и сказала что через месяц свадьба . Пришлось быстро по работать красивая работа. как проводили ретракцию и какой был материал оттиска? Ссылка на комментарий
Stomka Опубликовано 24 февраля, 2016 Поделиться Опубликовано 24 февраля, 2016 а выбор виниров/коронок был сделан после wax-up? И можете сказать, почему именно так? Спасибо) Ссылка на комментарий
chervoncevdaniil Опубликовано 24 февраля, 2016 Поделиться Опубликовано 24 февраля, 2016 оптрагейт не великоват?мне кажется ей дышать не чем А работа красивая Ссылка на комментарий
Доктор Дмитрий Опубликовано 24 февраля, 2016 Поделиться Опубликовано 24 февраля, 2016 А какие зубы витальными остались, неужели, и 21.Хорошая работа, можно было с зенитами поработать если бы время позволило.Форма искусственных зубов чуть смущает. Cлепочный-zeta ? Ссылка на комментарий
chervoncevdaniil Опубликовано 24 февраля, 2016 Поделиться Опубликовано 24 февраля, 2016 Работа как я понимаю в привычной окклюзии была? Ссылка на комментарий
Evikrol Опубликовано 24 февраля, 2016 Поделиться Опубликовано 24 февраля, 2016 А мне все нравится Ссылка на комментарий
Freelancer1981 Опубликовано 25 февраля, 2016 Поделиться Опубликовано 25 февраля, 2016 По мне так центральные широковаты,а вцелом очень достойно.мне нравится Ссылка на комментарий
zzkz Опубликовано 25 февраля, 2016 Поделиться Опубликовано 25 февраля, 2016 Красивая улыбка получиласьЗета плюс? Снимали одноэтапно через целлофан? В жевательных зубах коррекции нет Ссылка на комментарий
Modern Doctor Опубликовано 25 февраля, 2016 Поделиться Опубликовано 25 февраля, 2016 Хорошая работа! Живенько смотриться!!! Ссылка на комментарий
togrul Опубликовано 27 февраля, 2016 Поделиться Опубликовано 27 февраля, 2016 Коллеги прошу оценить работу . Работу сделали за 3 недели . Пришла со слезами и сказала что через месяц свадьба . Пришлось быстро по работать Ислам отличная работа. На что бы обратил внимание, не продавливать базу. коррекция должна покрывать всю базу. Коррекции были во время сдачи по прикусу?спасибо за кейс Ссылка на комментарий
chervoncevdaniil Опубликовано 27 февраля, 2016 Поделиться Опубликовано 27 февраля, 2016 (изменено) Ислам отличная работа. На что бы обратил внимание, не продавливать базу. коррекция должна покрывать всю базу. Коррекции были во время сдачи по прикусу?спасибо за кейсэто одноэтапный оттиск,там не должна коррекция покрывать всю базу,она должна быть только в зауступном и по жеваткам остальных зубов,вы с двухэтапниками путаете Изменено 27 февраля, 2016 пользователем chervoncevdaniil 1 Ссылка на комментарий
togrul Опубликовано 27 февраля, 2016 Поделиться Опубликовано 27 февраля, 2016 какая разница одноэтапный или двухэтажный оттиск? Для лучшей передачи протезного дожа коррекция должна быть везде. 2 Ссылка на комментарий
chervoncevdaniil Опубликовано 27 февраля, 2016 Поделиться Опубликовано 27 февраля, 2016 какая разница одноэтапный или двухэтажный оттиск? Для лучшей передачи протезного дожа коррекция должна быть везде.Покажите фото одноэтапника где коррекция везде Ссылка на комментарий
chervoncevdaniil Опубликовано 27 февраля, 2016 Поделиться Опубликовано 27 февраля, 2016 Коррегир больше всего дает усадку,поэтому чем его меньше,тем лучше,это одна из причин,почему одноэтапники точнее двухэтапных-там коррегира на порядок меньше Ссылка на комментарий
Aquarius Опубликовано 27 февраля, 2016 Поделиться Опубликовано 27 февраля, 2016 Соглашусь с Даниилом. На одноэтапе только шейки и фиссуры выполнены коррегиром Ссылка на комментарий
togrul Опубликовано 27 февраля, 2016 Поделиться Опубликовано 27 февраля, 2016 Коррегир больше всего дает усадку,поэтому чем его меньше,тем лучше,это одна из причин,почему одноэтапники точнее двухэтапных-там коррегира на порядок меньшеМы друг друга не понимаем ).Все что вы описываете я прекрасно знаю. говоря о коррекции я имею ввиду, что она должна наноситься на всю поверхность базы, а не только на участок преп зубов. 2 Ссылка на комментарий
chervoncevdaniil Опубликовано 27 февраля, 2016 Поделиться Опубликовано 27 февраля, 2016 Мы друг друга не понимаем ).Все что вы описываете я прекрасно знаю. говоря о коррекции я имею ввиду, что она должна наноситься на всю поверхность базы, а не только на участок преп зубов.Да,тогда мы просто не правильно друг друга поняли,с этим я абсолютно согласен 2 Ссылка на комментарий
Владимр Опубликовано 1 марта, 2016 Поделиться Опубликовано 1 марта, 2016 Здравствуйте , подскажите что за оттискная масса Ссылка на комментарий
Рекомендуемые сообщения
Для публикации сообщений создайте учётную запись или авторизуйтесь
Вы должны быть пользователем, чтобы оставить комментарий
Создать аккаунт
Зарегистрируйте новый аккаунт в нашем сообществе. Это очень просто!
Регистрация нового пользователяВойти
Уже есть аккаунт? Войти в систему.
Войти