olga1985 Опубликовано 19 февраля, 2016 Поделиться Опубликовано 19 февраля, 2016 Добрый день, Перед удалением зубов мудрости врач сделал снимки и обнаружил большую кисту на верхнем переднем втором зубе. Сказал, только удалению подлежит и что вылечить невозможно. Киста очень большая, разьела кость и возможно нужно будет удалять и соседний передний зуб. Я живу за границей и обратилась за консультаций к местному стоматологу. Он обнаружил у меня аномалию зуба: "зуб в зубе" и что один из зубов умер, а второй корень живой и поэтому кажется что зуб живой. Второй мертвый канал непроходимый, и его запломбировать нельзя. Сказал, что вылечить можно резекцией, но это стоит очень дорого и перпспективы неясны. И что возможно он высверлит больше еще кости чтобы удалить корень, а потом ставить имплант не на что будет. Сказал, лучше сразу имплант. Другой врач за границей сказал - можно резекцию, все будет все хорошо. Про имплант сразу даже не разговаривал. Сказал, можно сохранить зуб. Зуб не болит. Свищ появился после того, как я лет 10 назад ударила десну зубной щеткой когда чистила зубы. И раз в год появляется. Подскажите, пожалуйста, возможно ли созранить зуб с моей аномалией? Заранее спасибо!! Ссылка на комментарий
___49___ Опубликовано 19 февраля, 2016 Поделиться Опубликовано 19 февраля, 2016 Если вы сделаете КТ (3D дентальная компьютерная томография) , это позволит с большей долей уверенности прогнозировать тот или иной метод лечения. Ссылка на комментарий
olga1985 Опубликовано 19 февраля, 2016 Автор Поделиться Опубликовано 19 февраля, 2016 3д тоже сделала, но к сожалению, не могу его вам показать.. Один из врачей показывал, что второй канал прерывается, потом начинается снова. поэтому запломбировать его нельзя, нужно только удалить резекцией половину или треть зуба. Ссылка на комментарий
___49___ Опубликовано 19 февраля, 2016 Поделиться Опубликовано 19 февраля, 2016 (изменено) Для более полного ответа придется вам предоставить более полную информацию (кт). Профессиональное описание КТ рентгенологом (у вас его может и не быть) чаще всего занимает не мение страницы печатного текста формата А4 и даже имея это описание врач просматривает диск сам .... Постарайтесь найти возможность выложить 3D на форум в обозримом будущем, вы жили со свищем 10 лет , и если для предоставления КТ вам потребуется неделя .... я думаю это не будет критично . Изменено 19 февраля, 2016 пользователем ___49___ Ссылка на комментарий
olga1985 Опубликовано 19 февраля, 2016 Автор Поделиться Опубликовано 19 февраля, 2016 вы совершенно правы. =) постараюсь выложить линк. Ссылка на комментарий
olga1985 Опубликовано 23 февраля, 2016 Автор Поделиться Опубликовано 23 февраля, 2016 Ссылка на КТ -> http://www.fayloobmennik.net/5833777 Заранее большое спасибо! Ссылка на комментарий
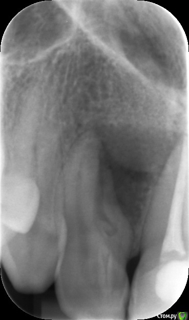
___49___ Опубликовано 23 февраля, 2016 Поделиться Опубликовано 23 февраля, 2016 (изменено) У вашего зуба 2 канала(а если точно 2 отдельных пульповых камеры, каждая со своим каналом) , зуб аномальный, канал что ближе к центру облитерирован (труднопроходим, или непроходим) , корень со стороны этого канала ближе к кончику частично лизирован(расплавлен) - это он явился причиной возникновения кисты. Киста довольно обширна и частично захватывает соседний центральный резец (не есть хорошо, но пока не критично). Если делать резекцию - необходимо будет пройти трудно проходимый канал и запломбировать его (2ой канал тоже) , сделать в кости окошко , выскоблить всю кисту , обработать корень в полости кисты - все эти мероприятия будут направлены на исключения возможности повторного инфицирования . Преимущества метода при благоприятном исходе: - сохроняем зуб, визуально при улыбке в полости рта у вас ничего не меняется (возможен лишь отек после операции 2-4 дня ) на всех этапах лечения. Недостатки при благоприятном исходе : - Потеря длины корня (в вашем случае я бы не только сошлифовал медиальную стенку виновного зуба с верхушкой , но и срезал бы верхушку соседнего центрального резца на 3 мм), у зуба уменьшится его максимальная функциональная нагрузка ( станет более слабым). При неблагоприятном исходе (вероятность такого 5% в соответствии с литературой) : - потеря зуба, убыль костной ткани, распространение кисты далее (в том числе и с более критичным захватом соседнего зуба) . Соответственно вы встаете перед выбором - либо идете на риск примерно в 5% (что ситуация ухудшится в том числе,для последующей имплантации) и получаете немного более слабые зубы, кость частично (до 80%) восстанавливается, киста уходит, инфекции нет. - либо сразу пресекаете подобный риск, зуб удаляете вместе с инфекцией, имплантируетесь. Изменено 23 февраля, 2016 пользователем ___49___ Ссылка на комментарий
olga1985 Опубликовано 24 февраля, 2016 Автор Поделиться Опубликовано 24 февраля, 2016 спасибо Вам большое за ответ! очень вы меня приободрили и я вам за это благодарна=) если ситуация будет неблагиприятная после резекции и зуб придется удалять, возможно ли будет установить имплант или я останусь с дыркой впереди навсегда? если исход будет удачным, я собиралась закрывать зубы винирами в будущем. конечно, я больше склюняюсь к тому чтобы зуб сохранить. осталось только найти хорошего специалиста который будет уверен в том, что он делает. там где я живу, мне врач сказал что вероятность успеха 50-60% и большой риск что для импланта не хватит кости после резекции. Ссылка на комментарий
___49___ Опубликовано 24 февраля, 2016 Поделиться Опубликовано 24 февраля, 2016 (изменено) Думаю 50-60 % это общий процент на благоприятный исход включая прохождения плохого канала и резекцию(вполне реальная цифра). С дыркой навсегда(если не запустить процесс) вы врядли останитесь, даже если не использовать каких либо препаратов для восстановления костной ткани - кость все равно нарастет,(с учетом вашего дефекта на сегодняшний день)но не в полном объеме (этого естественно будет мало для импланта), поэтому удалять надо будет у врача имплантолога - используя небходимые материалы он снизит потерю кости до минимума (подготовит кость к имплантации) . Неблагоприятную ситуацию при резекции вы будите отслеживать с вашим доктором с помощью периодического рентгена после операции - при первых же признаках роста кисты далее - переходите на план "в" =). Изменено 24 февраля, 2016 пользователем ___49___ Ссылка на комментарий
olga1985 Опубликовано 24 февраля, 2016 Автор Поделиться Опубликовано 24 февраля, 2016 спасибо большое! Ссылка на комментарий
___49___ Опубликовано 24 февраля, 2016 Поделиться Опубликовано 24 февраля, 2016 (изменено) Всего вам самого хорошего , выздоравливайте. Будет возможность скидывать рентген контроль сюда, мы будем вам признательны. Изменено 24 февраля, 2016 пользователем ___49___ Ссылка на комментарий
olga1985 Опубликовано 22 апреля, 2016 Автор Поделиться Опубликовано 22 апреля, 2016 Операцию сделали меньше месяца назад. Пока ждала. заболел передний зуб слева, не связанный с кистой. Врач посмотрел КТ и сказал, что там вышли пломбой за канал и поэтому зуб стал болеть. его врач тоже вкрыл, но сказал что этот зуб без прогноза. корень не укорачивал, просто убрал излишки пломбы. болел где-то недели две до операции. Про аномальный зуб, который был виновником всего врач сказал, что это не киста в прямом понимании, т.к. нет оболочки. Решил что корень основной не связан с кистой и его укорачивать не нужно. я поняла, что мне не пломбировали каналы даже аномального корня, который был виной, а просто рассверлили и почистили, укоротили аномальный коронь (отполировали он использовал слово). костную ткань не засыпали. врач сказал, что он не стоит засыпать ее, хотя изначально настраивались засыпать даже два шприца. мне так написали сначала в ценнике за операцию изначально. после операции сказал, что не так все было плохо с костью, поэтому зубы не шатаются, кость есть.после снятия швов осталась дырка в шве над зубом проблемным, и он ноет иногда после фитнеса. прошла неделя после снятия швов, дырка не затянулась. врач сказал, что это не очень хорошо, но гноя нет. меня эта дырка очень беспокоит. врач сказал, что это будет ждать чтобы наросла кость в течении 6 месяцев. если останется воспаление, то зуб придется вырвать и ставить имплант. снимки не делали сразу после операции. следующий осмотр в начале июня.что думаете? Ссылка на комментарий
Гарриевич Опубликовано 22 апреля, 2016 Поделиться Опубликовано 22 апреля, 2016 Без снимков ничего не скажешь Модео только гадать 1 Ссылка на комментарий
olga1985 Опубликовано 16 августа, 2016 Автор Поделиться Опубликовано 16 августа, 2016 дорогие врачи, через 4.5 месяца после операции сильно заболел зуб. через несколько дней боль прошла. лицо опухло, поднялась температура и вылез флюс (или свищ). сходила к другому врачу: тот сказал что нужно перелечивать заново зуб с пломбировкой каналов и что на соседнем зуба трещина. сказал пить антибиотики и воспаление пройдет. если через три месяца повторится, то повторять операцию или удалять зуб. что делать не знаю, устала от боли Ссылка на комментарий
olga1985 Опубликовано 16 августа, 2016 Автор Поделиться Опубликовано 16 августа, 2016 последний ренген прикрепляю. заранее спасибо за ответ! Ссылка на комментарий
shishok Опубликовано 16 августа, 2016 Поделиться Опубликовано 16 августа, 2016 А каналы в аномальном зубе Вам не лечили?В 11 зубе возможно не трещина,а пропакованная латераль. Ссылка на комментарий
olga1985 Опубликовано 16 августа, 2016 Автор Поделиться Опубликовано 16 августа, 2016 Каналы не лечили, врач решил что это не киста, так как между зубов. Сходила к другому врачу, ещё раз сделала снимок: трещины нет, это какой-то глюк с первым рентгеном. Последний врач прописал два антибиотика, сказал если будет усиливаться отек то вырывать зуб сразу. Отправил домой на неделю и через неделю прийти к нему пломбировать каналы. Сказал, что если это не поможет, то снова резать и отрезать часть корня. Сказал, что он в сильных сомнениях насчёт зуба. Он наверняка мертвые после абсцесса который случился. Я опять не понимаю: простое пломбирование каналов же не поможет? Ссылка на комментарий
DmitrySH Опубликовано 16 августа, 2016 Поделиться Опубликовано 16 августа, 2016 У этой "кривульки" так просто их не получится запломбировать. Один да, а остальное под вопросом Ссылка на комментарий
olga1985 Опубликовано 17 августа, 2016 Автор Поделиться Опубликовано 17 августа, 2016 Мне вчера прописали два антибиотика, но ничего врачи не чистили и не трогали абсцесс. Сегодня отек сполз на щеку пониже - это нормально и стоит подождать пару дней или стоит идти вырывать зуб? Врач который делал резекцию без пломбирования корней говорит, что все нормально: пейте антибиотик это не повлияет на заживление. Оба врача покрутили у виска и сказали что без пломбирования конечно шансов не было. По протоколу в Англии как сказал срач, после удаления мне прилепят зуб который будет приклеян к соседним сзади. Буду ждать 3-4 месяца. Потом что-то ещё сделают когда кость нарастет, буду опять ждать 3-4 месяца и потом поставят окончательно зуб. Но я поняла с форума, что хирурги советуют искать сразу имплантолога который и будет вырывать зуб. Стоит мучиться с пломбировкой каналов и ждать полгода результатов или сразу идти на удаление? Ссылка на комментарий
olga1985 Опубликовано 19 августа, 2016 Автор Поделиться Опубликовано 19 августа, 2016 рентген от другого доктора прикладываю Ссылка на комментарий
red_butler Опубликовано 19 августа, 2016 Поделиться Опубликовано 19 августа, 2016 конечно нужен очный осмотр и возможно Кт, но я бы рекомендовал попытаться для начала решить проблему терапевтически. 1 Ссылка на комментарий
Zlata-doctor Опубликовано 20 августа, 2016 Поделиться Опубликовано 20 августа, 2016 эндодонтическое лечение 100%, я бы даже сказала, что надо было сделать до операции. Без этого вообще нет смысла что-то делать с этим зубом Ссылка на комментарий
olga1985 Опубликовано 21 августа, 2016 Автор Поделиться Опубликовано 21 августа, 2016 спасибо большое! буду добавлять снимки по мере прогресса. Ссылка на комментарий
olga1985 Опубликовано 17 сентября, 2016 Автор Поделиться Опубликовано 17 сентября, 2016 добавляю снимки на сегодняшний день. врач сравнил снимки апреля и сентября. сказал, что на 21 зубе не нужно было убирать материал вышедший за корень потому что не это было причиной боли, а боковой канал. но сказал, что сейчас ничего делать не нужно, пока наблюдать. а на проблемный 21 решил, что скорее всего будет достаточно пломбирования. если нет, то будет вкрывать десну и отрезать кусок этого загнутого корня, как мне и советовал первый врач на форуме. Ссылка на комментарий
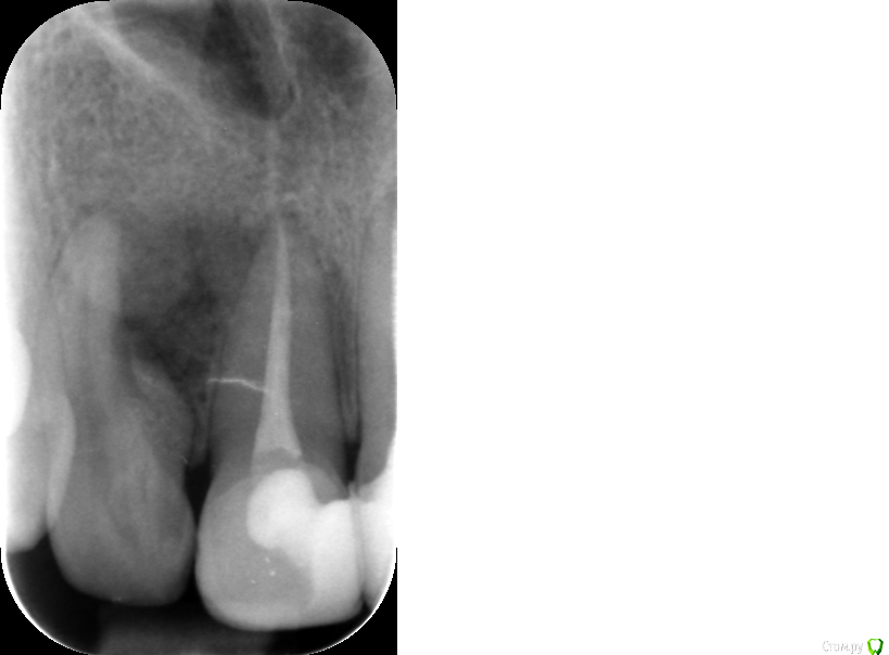
olga1985 Опубликовано 6 октября, 2016 Автор Поделиться Опубликовано 6 октября, 2016 запломбировали каналы, снимок прикрепляю 2 Ссылка на комментарий
Рекомендуемые сообщения
Для публикации сообщений создайте учётную запись или авторизуйтесь
Вы должны быть пользователем, чтобы оставить комментарий
Создать аккаунт
Зарегистрируйте новый аккаунт в нашем сообществе. Это очень просто!
Регистрация нового пользователяВойти
Уже есть аккаунт? Войти в систему.
Войти