Janila Опубликовано 17 февраля, 2016 Поделиться Опубликовано 17 февраля, 2016 Прошу совет. Планирую установку имплантов на место не выросших нижних 4к. Стоят брейкеты. Имплантолог увидев снимки сказал места еще мало, и нужно сместить корни пятерок в параллель с шестерками. Иначе импланты погубят соседние зубы.Ортодонт сказал, что сдвинуть корни не возможно. Места мало, только под 3мм системы. Что делать, кому верить.Вариант с установкой мостов не рассматриваю. Ссылка на комментарий
red_butler Опубликовано 18 февраля, 2016 Поделиться Опубликовано 18 февраля, 2016 Сходите еще на пару консультаций 1 Ссылка на комментарий
m.d.n Опубликовано 19 февраля, 2016 Поделиться Опубликовано 19 февраля, 2016 СМЕНИТЕ ортодонта Ссылка на комментарий
Yana guapa Опубликовано 21 февраля, 2016 Поделиться Опубликовано 21 февраля, 2016 Ортодонт сказал, что сдвинуть корни не возможно. можно Ссылка на комментарий
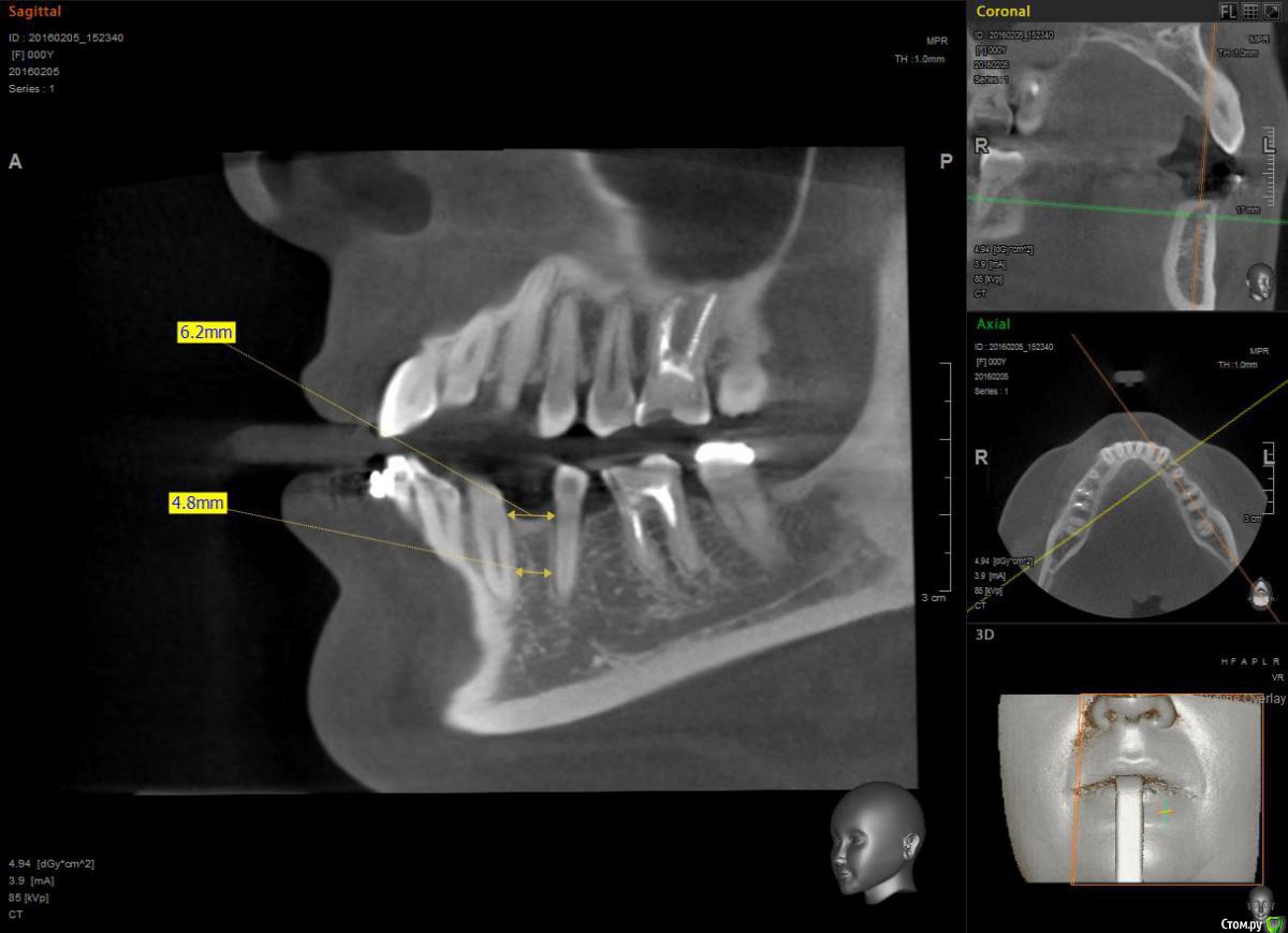
Janila Опубликовано 2 августа, 2017 Автор Поделиться Опубликовано 2 августа, 2017 (изменено) Отчитаюсь по итогам своих мытарств. Была еще у 2х ортодонтов, один сказал, что можно, но с данной системой не работает, второй, видимо не хотел связываться, и сказал, что лечение обойдется в 30 тыс. (с уже установленной системой).Имплантацию сделали в августе 2016 года. Сейчас считаю, что поспешно, под давлением ортодонта. Были у меня нарекания к положению нижних 1-2-3х и 5х зубов, но он уверил, что все доведем до ума после имплантации. Ладно, импланты прижились, дело шло к установке коронок, но передние зубы все не вставали, а 5ки и 6ки не могли поделить место. То 6ки заваливались во внутрь к языку, то 5ки выпадали наружу. Так длилось 4 месяца и 3и активаций. Топтание надоело, мысли о некомпетентности ортодонта вновь стали посещать. И в предновогодние дни попала по рекомендации к детскому ортодонту, заведующей отделением в детской поликлинике. Первое, что никто не замечал, это были мои переростки - 8ки верхние, которые блокировали нижний ряд! После их удаления и свободной фиксации зубов на дуге (каждый зуб отдельно, а не цепочкой), все зубки встали по местам. Благодаря ее опыту, было все доведено до ума за 3 месяца и 2 активации, но конечно из-за поспешной имплантации, ортопеду пришлось коронки делать со смещенным центром. Стоят уже месяц и меня радуют. Так длинно не для специалистов, а для пациентов. Ищите и обрящите. Ортодонт должен быть с большим стажем если у вас сложный случай! На снимке после имплантации как раз видно, что 5ки "выпали" наружу, после их возвращения в зубной ряд, они стали прилегать в плотную к формирователям десны, при этом идеально совпали в позиции с верхним рядом. PS. Из предыстории - в принципе у меня не уродилось нижних 4ок и 8ок, а после беременности и рождения ребенка нижние передние зубы начали разъезжаться веером, хотелось остановить эти изменения из-за чего было начато это приключение. Изменено 2 августа, 2017 пользователем Janila Ссылка на комментарий
IvanK Опубликовано 3 августа, 2017 Поделиться Опубликовано 3 августа, 2017 прикрепленные файлы недоступны Ссылка на комментарий
Рекомендуемые сообщения
Для публикации сообщений создайте учётную запись или авторизуйтесь
Вы должны быть пользователем, чтобы оставить комментарий
Создать аккаунт
Зарегистрируйте новый аккаунт в нашем сообществе. Это очень просто!
Регистрация нового пользователяВойти
Уже есть аккаунт? Войти в систему.
Войти