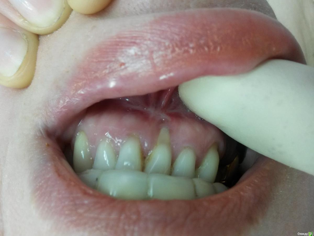
Nazim_NV86 Опубликовано 16 февраля, 2016 Поделиться Опубликовано 16 февраля, 2016 (изменено) Уважаемые коллеги. Какую тактику посоветуете в такой ситуации? Извиняюсь за фото. С телефона да ещё и вниз головой тут. Приду домой исправлю. Изменено 16 февраля, 2016 пользователем Nazim_NV86 Ссылка на комментарий
Евгений Ходыкин Опубликовано 16 февраля, 2016 Поделиться Опубликовано 16 февраля, 2016 Туннельно без проблем Ссылка на комментарий
Doctor Vlad Опубликовано 16 февраля, 2016 Поделиться Опубликовано 16 февраля, 2016 причину найдите сначала... потом и тунели и мосты без проблем Ссылка на комментарий
carloss Опубликовано 16 февраля, 2016 Поделиться Опубликовано 16 февраля, 2016 всё таки тут тоннель не самый лучший выбор.. хотя и возможно но технически сложновато будет.. есть пару не очень располагающих факторов намного проще и предсказуемые сделать латерально смещённый лоскут, особенно учитывая, что КПД рядом прям шепчет)) 5 Ссылка на комментарий
Чертков Александр Опубликовано 17 февраля, 2016 Поделиться Опубликовано 17 февраля, 2016 Туннельно без проблемНе согласен что без проблем... Ссылка на комментарий
Евгений Ходыкин Опубликовано 17 февраля, 2016 Поделиться Опубликовано 17 февраля, 2016 Не согласен что без проблем... Берём широкий трансп, туннелируем влево-вправо на 2 зуба. Должен запитацо... Ссылка на комментарий
Карен Аванесов Опубликовано 17 февраля, 2016 Поделиться Опубликовано 17 февраля, 2016 Запитается, но не весь, вероятность второго этапа операции возрастает. 1 Ссылка на комментарий
Nazim_NV86 Опубликовано 17 февраля, 2016 Автор Поделиться Опубликовано 17 февраля, 2016 всё таки тут тоннель не самый лучший выбор.. хотя и возможно но технически сложновато будет.. есть пару не очень располагающих факторов намного проще и предсказуемые сделать латерально смещённый лоскут, особенно учитывая, что КПД рядом прям шепчет))Мне её направили на пластику уздечки. Я немного рассёк её тогда. Теперь этот рубец мне красноречиво говорит, что зря мол я полез. Думаю сразу надо было всё делать. Ссылка на комментарий
Рекомендуемые сообщения
Для публикации сообщений создайте учётную запись или авторизуйтесь
Вы должны быть пользователем, чтобы оставить комментарий
Создать аккаунт
Зарегистрируйте новый аккаунт в нашем сообществе. Это очень просто!
Регистрация нового пользователяВойти
Уже есть аккаунт? Войти в систему.
Войти