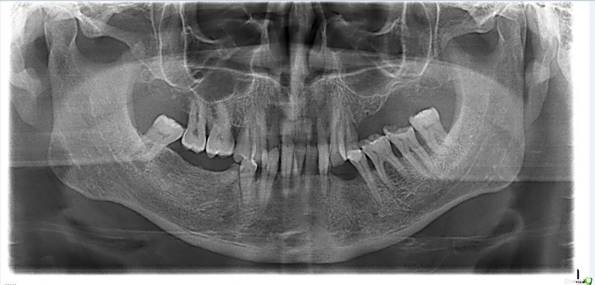
Stomka Опубликовано 14 февраля, 2016 Поделиться Опубликовано 14 февраля, 2016 Я на курсы к Будовскому не ходил, пытаюсь пока сам понять. Если каких точек не хватает, я расставлю. Угол ANSXiPM в пределах нормы, что (как я думаю) позволяет вынести решение о том, что нижняя челюсть "съехала назад" (об этом говорит угол NPogPOr). Совместно с выраженным феноменом Попова-Годона кажется, что высота прикуса весьма занижена (в боковых отделах между окклюзионной поверхностью и альвеолярной десной 2-4 мм). Если мои суждения верны, каким образом я могу вернуть положение нижней челюсти и что делать с боковой группой зубов?P.S. я очень стесняюсь, но правда не знаю, что делать, потому большая просьба не стебаться) Ссылка на комментарий
Ronin Опубликовано 14 февраля, 2016 Поделиться Опубликовано 14 февраля, 2016 А что вы хотите добиться расчетами? как вы это применить собираетесь? Ссылка на комментарий
krokomot Опубликовано 14 февраля, 2016 Поделиться Опубликовано 14 февраля, 2016 половина зубов в плевашку, определение цс, оставшиеся где нужно "пульпировать" коронками выводить в окклюзионную плоскость ну и съемнички или импланты Ссылка на комментарий
Stomka Опубликовано 15 февраля, 2016 Автор Поделиться Опубликовано 15 февраля, 2016 А что вы хотите добиться расчетами? как вы это применить собираетесь?Я не знаю, как применить, собственно спрашиваю совета..) Ссылка на комментарий
Ronin Опубликовано 15 февраля, 2016 Поделиться Опубликовано 15 февраля, 2016 (изменено) Я не знаю, как применить, собственно спрашиваю совета..)Зачем Вам усложнять себе жизнь этим? Вы не Будовский, и это работает у него, в силу возможностей применения и заинтересованностью данным направлением) Ваша задача провести лечение, а не статистический анализ и подтвердить достоверность. Иначе придется на шаблонах отправлять на ТРГ, проверять правильно ли установлены головки по отношению к остным ориентирам, вносить коррекции, снова ТРГ, вы замучаете пациента своего, которому надо лечение проводить, а не расчеты, имхо. Здесь санация первоочередным, устранение не состоятельных зубов, планирование будущей конструкции, и на восковых шаблонах определение цс и регистрация, а от этого уже плясать в направлении протезирования в зависимости от выбранного вида замещения отсутствующих зубов, можно с лицевой дугой после этого регистраты снять еще. Вот собственно и вся направленность.. Изменено 15 февраля, 2016 пользователем Ronin Ссылка на комментарий
m.d.n Опубликовано 15 февраля, 2016 Поделиться Опубликовано 15 февраля, 2016 устраните блок в 4 секстанте. сделайте джиг, определите cr и загипсуйте. а там увидите что делать дальше Ссылка на комментарий
Рекомендуемые сообщения
Для публикации сообщений создайте учётную запись или авторизуйтесь
Вы должны быть пользователем, чтобы оставить комментарий
Создать аккаунт
Зарегистрируйте новый аккаунт в нашем сообществе. Это очень просто!
Регистрация нового пользователяВойти
Уже есть аккаунт? Войти в систему.
Войти