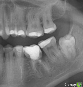
MariaF Опубликовано 12 февраля, 2016 Поделиться Опубликовано 12 февраля, 2016 Уважаемые доктора, Посоветуйте, можно ли спасти зуб? Идет разрушение, советуют удалять и ставить имплант. 1 1 Ссылка на комментарий
art700 Опубликовано 12 февраля, 2016 Поделиться Опубликовано 12 февраля, 2016 Все верно. Удалять и имплантировать. 4 Ссылка на комментарий
___49___ Опубликовано 12 февраля, 2016 Поделиться Опубликовано 12 февраля, 2016 (изменено) 6ку удалил бы. и чем раньше тем лучше т.к. между 6кой и 7кой идет резорбция(растворение) костной ткани (челюсти) из-за плачевного состояния корня 6ки (лечение которого считаю не целесообразным). Дальнейшее затягивание с удалением будет негативно сказываться на 7ке. Удаляйте, не тяните. Изменено 12 февраля, 2016 пользователем ___49___ Ссылка на комментарий
MariaF Опубликовано 12 февраля, 2016 Автор Поделиться Опубликовано 12 февраля, 2016 Спасибо большое! Через какое время после удаления можно начинать работу по имплантации? Ссылка на комментарий
___49___ Опубликовано 12 февраля, 2016 Поделиться Опубликовано 12 февраля, 2016 (изменено) Работу по имплантации начинайте до удаления . Удаляйте зуб у того кто вам будет устанавливать имплантат , это сбережет ваши деньги , время и увеличит в последующем срок службы конструкции ( при должном гигиеническом уходе за ней). Изменено 12 февраля, 2016 пользователем ___49___ 1 Ссылка на комментарий
MariaF Опубликовано 12 февраля, 2016 Автор Поделиться Опубликовано 12 февраля, 2016 Вопрос был небезпочвенный. Доктор, у которого я сейчас лечусь, сказал можно ставить сразу, как заживет.А тот, у которого я лечила почти все зубы (нет возможности далее у него лечиться из-за смены места проживания) говорит, что надо ждить мин 6 мес. 1 1 Ссылка на комментарий
___49___ Опубликовано 12 февраля, 2016 Поделиться Опубликовано 12 февраля, 2016 на этот вопрос вам нужен ответ имплантолога, я хирург не имплантирующий и объема моих знаний будет не достаточно для того чтобы сориентировать вас в данном (уже другом по сути от первоначального в теме) вопросе. Ссылка на комментарий
MariaF Опубликовано 12 февраля, 2016 Автор Поделиться Опубликовано 12 февраля, 2016 Спасибо за ответ. Просто в стране, где я сейчас живу практически нет деления на хирургов, имплантологов и т.д.Разве что ортопеды отдельным строем стоят Ссылка на комментарий
red_butler Опубликовано 12 февраля, 2016 Поделиться Опубликовано 12 февраля, 2016 Я бы рассматривал одномоментную имплантацию 3 1 Ссылка на комментарий
IvanK Опубликовано 12 февраля, 2016 Поделиться Опубликовано 12 февраля, 2016 Ищите Врача. Или одномоментно. Или через 2мес 1 Ссылка на комментарий
MariaF Опубликовано 14 февраля, 2016 Автор Поделиться Опубликовано 14 февраля, 2016 Врача я нашла, он и удаляет и имплантирует.Если под одномоментной имплантацией имеется ввиду установка самого штифта и через пару дней установка его верхней части (коронки), то врач так и планирует делать. Ссылка на комментарий
MariaF Опубликовано 14 февраля, 2016 Автор Поделиться Опубликовано 14 февраля, 2016 Или имеется ввиду имплантация сразу после удаления? (только что прочитав форум узнала о существовании такого варианта) Ссылка на комментарий
doca Опубликовано 14 февраля, 2016 Поделиться Опубликовано 14 февраля, 2016 Или имеется ввиду имплантация сразу после удаления? (только что прочитав форум узнала о существовании такого варианта)Одномоментно- это удаление и в этот же момент установка имплантата в лунку. Коронка в боковых отделах(там где не важна эстетика),как правило,устанавливается после интеграции имплантата,т.е. через несколько месяцев 1 Ссылка на комментарий
MariaF Опубликовано 15 февраля, 2016 Автор Поделиться Опубликовано 15 февраля, 2016 Спасибо за разъяснение! Уважаемый модератор, очередной вопрос к Вам: хочу открыть новую тему в другом разделе, но при открытии вижу, что мой лимит на добавление фото уже слишком мал (около 53 кб) и это не смотря на то, что мы закрыли тему, куда я прикрепила наибольшее кол-во фото.Что делать? Ссылка на комментарий
red_butler Опубликовано 15 февраля, 2016 Поделиться Опубликовано 15 февраля, 2016 Спасибо за разъяснение!Уважаемый модератор, очередной вопрос к Вам: хочу открыть новую тему в другом разделе, но при открытии вижу, что мой лимит на добавление фото уже слишком мал (около 53 кб) и это не смотря на то, что мы закрыли тему, куда я прикрепила наибольшее кол-во фото.Что делать?Смело открывайте, а фото выкладывайте через файлообменники. Например заливайте фото на радикал и выкладывайте вторую ссылку. Ссылка на комментарий
Doctor Vlad Опубликовано 15 февраля, 2016 Поделиться Опубликовано 15 февраля, 2016 в добавок ко всему яб восьмерку удалил еще! Ссылка на комментарий
MariaF Опубликовано 15 февраля, 2016 Автор Поделиться Опубликовано 15 февраля, 2016 О существовании 8-ки я узнала только на снимке, зуб совсем не "проклюнулся". А чем чревато Не удаление? Ссылка на комментарий
Doctor Vlad Опубликовано 15 февраля, 2016 Поделиться Опубликовано 15 февраля, 2016 судя по снимку кость рассасывается за корнем 38 зуба! это не норма уже. Ссылка на комментарий
Doctor Vlad Опубликовано 15 февраля, 2016 Поделиться Опубликовано 15 февраля, 2016 на пародонтальную кисту похоже. она расти может... Ссылка на комментарий
MariaF Опубликовано 15 февраля, 2016 Автор Поделиться Опубликовано 15 февраля, 2016 Что значит рассасывается? Исчезает?А что с ней должно быть в идеале? Про кисту почитаю в Интернете. Ссылка на комментарий
Doctor Vlad Опубликовано 16 февраля, 2016 Поделиться Опубликовано 16 февраля, 2016 в идеале такого быть не должно! сравните со здоровыми зубами верхней челюсти. рассасывается - исчезает да Ссылка на комментарий
MariaF Опубликовано 16 февраля, 2016 Автор Поделиться Опубликовано 16 февраля, 2016 Откровенно говоря, я не вижу разницы между верхней и нижней челюстью.Разве что за 8-кой виднеется какая-то белая полоса, что это - понятия не имею Появился еще 1 вопрос.Нижняя челюсть, 6-ка была давно удалена, больше 10 лет назад.Про последствия я не задумывалась. Только по снимку увидела, что 7-ка наклонилась.Может ли она "поехать" еще дальше?Имплант туда не установишь, места моловато, да и кость совсем истончилась, а без острой надобности наращивать совсем желания нет http://f-picture.net/lfp/s019.radikal.ru/i642/1602/4b/91464803dde6.png/htm Ссылка на комментарий
IvanK Опубликовано 17 февраля, 2016 Поделиться Опубликовано 17 февраля, 2016 пользуйтесь кодом 2,смотреть будет удобнее http://s019.radikal.ru/i642/1602/4b/91464803dde6.png Ссылка на комментарий
IvanK Опубликовано 17 февраля, 2016 Поделиться Опубликовано 17 февраля, 2016 Может ли она "поехать" еще дальше? вряд ли Имплант туда не установишь, места моловато, да и кость совсем истончилась, а без острой надобности наращивать совсем желания нет для ответа на этот вопрос нужны фото Ссылка на комментарий
MariaF Опубликовано 17 февраля, 2016 Автор Поделиться Опубликовано 17 февраля, 2016 http://s019.radikal.ru/i632/1602/6f/51590df174e6.png Ссылка на комментарий
Рекомендуемые сообщения
Для публикации сообщений создайте учётную запись или авторизуйтесь
Вы должны быть пользователем, чтобы оставить комментарий
Создать аккаунт
Зарегистрируйте новый аккаунт в нашем сообществе. Это очень просто!
Регистрация нового пользователяВойти
Уже есть аккаунт? Войти в систему.
Войти