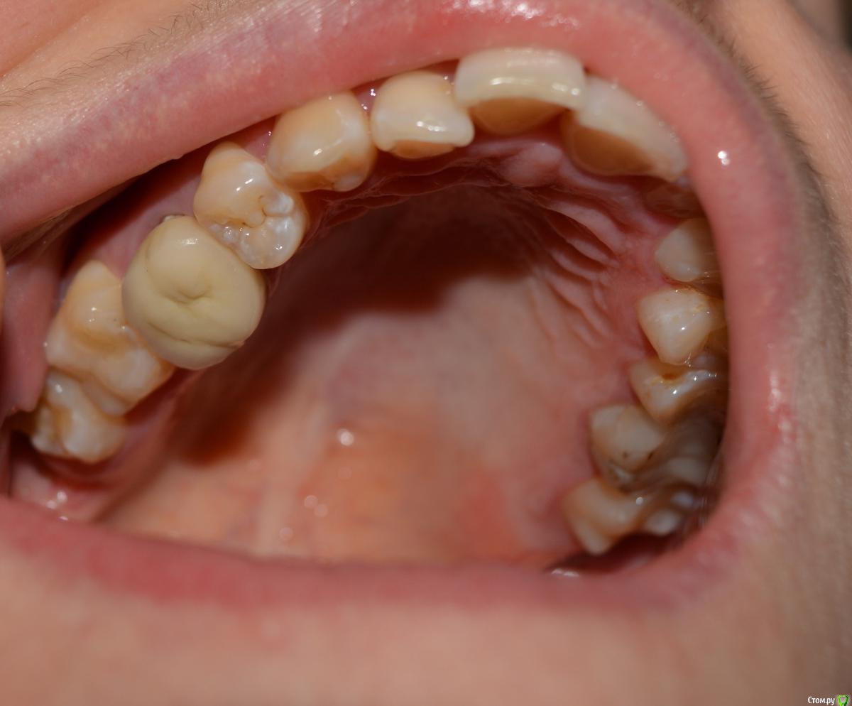
Варвара13 Опубликовано 12 февраля, 2016 Поделиться Опубликовано 12 февраля, 2016 Здравствуйте, уважаемые доктора. Прошу мнения специалистов.Из анамнеза: 46 был денервирован 8 лет назад, к настоящему времени потемнел, скололся. В 16 в процессе лечения был обнаружен глубокий кариес, зуб депульпирован. Рекомендованы коронки на оба зуба.Были установлены никель-хромовые вкладки в оба зуба, вкладки обточены и сняты слепки.Заказаны коронки из диоксида циркония по технологии cad-cam. Выбор был сделан из соображений максимального прилегания коронок, минимального риска попадания пищи и инфицирования.Вкладки ничем не покрывались.Первой пытались установить коронку на 46, она не наделась, пришлось обточить вкладку, затем зафиксировали сразу на постоянный цемент. 16 так же не надевалась, вкладку точили очень долго (около 20 минут), она как бы с трудом надевалась и сразу соскакивала. В конечном итоге надели, зафиксировали так же на постоянный цемент, потом обтачивали жевательную поверхность коронки 16 и немного коронку 46, потому что сильно мешала.Результат оценила только дома. Между коронкой 16 и основанием зуба осталась борозда, она определяется ногтем и даже языком, в ней задерживается пища, скапливается налет. Жевательная поверхность 16 стала вместо вогнутой стала плоско-выпуклой. Жевать достаточно неприятно, пища плохо прожевывается этой стороной, хотя прошло 2 недели. Медиальный межзубный промежуток стал значительно больше, там задерживается еда, а в дистальный флосс проходит с большим трудом, десна кровит при этом.Вопросы:Является ли нормой борозда между коронкой и зубом, или это дефект установки? Обточка вкладки непосредственно перед надеванием коронки – сводит на нет смысл достаточно дорогой технологии cad-cam, или я не права? В чем причина того, что коронки не подошли и пришлось обтачивать вкладки? Могло ли быть причиной то, что когда снимали слепки, ассистент стоматолога держала ложки очень слабо, периодически несколько меняя давление? (есть с чем сравнить, т.к. до этого делали такую же коронку на 36, когда снимали слепок, прижимали ложку очень сильно, болезненно, но коронка села сразу отлично, никаких границ с зубом даже при желании не найти). Что я могу сделать, чтобы исправить ситуацию, если доктор считает, что все получилось хорошо? Ссылка на комментарий
red_butler Опубликовано 12 февраля, 2016 Поделиться Опубликовано 12 февраля, 2016 ВЫ доктор? Вам отдали модели? Ссылка на комментарий
Варвара13 Опубликовано 12 февраля, 2016 Автор Поделиться Опубликовано 12 февраля, 2016 Здравствуйте. Спасибо, что так быстро откликнулись. Я врач акушер-гинеколог. На форуме как пациент, прошу совета. Мне отдали слепки, если Вы об этом, сказали, могут потом пригодиться, есть еще над чем работать. Ссылка на комментарий
Варвара13 Опубликовано 12 февраля, 2016 Автор Поделиться Опубликовано 12 февраля, 2016 Если необходимы снимки, я сделаю, только скажите, какие нужны. Заранее спасибо. Ссылка на комментарий
Doc Опубликовано 12 февраля, 2016 Поделиться Опубликовано 12 февраля, 2016 Обсуждать работу коллеги, не видя медицинской документации, без осмотра в полости рта и беседы с обеими сторонами неправильно. Поэтому мы не можем как-то оценивать эту работу. В любом случае Вы можете подойти к главному врачу или заведующему отделением, показать все это ему воочию, так сказать, и задать все эти вопросы. Думаю, что в случае, если доктор не идет на контакт, это должно помочь. 4 Ссылка на комментарий
Doc Опубликовано 12 февраля, 2016 Поделиться Опубликовано 12 февраля, 2016 Если необходимы снимки, я сделаю, только скажите, какие нужны. Заранее спасибо.Прицельный рентгеновский снимок до и после не помешал бы в любом случае. 2 Ссылка на комментарий
Варвара13 Опубликовано 12 февраля, 2016 Автор Поделиться Опубликовано 12 февраля, 2016 Доктор является хозяином клиники. Ссылка на комментарий
Doc Опубликовано 12 февраля, 2016 Поделиться Опубликовано 12 февраля, 2016 Доктор является хозяином клиники.Это сильно осложняет проблему. Ссылка на комментарий
Варвара13 Опубликовано 12 февраля, 2016 Автор Поделиться Опубликовано 12 февраля, 2016 Спасибо за ответ, я в общем-то, как оперирующий врач, прекрасно понимаю, что бывают удачи и неудачи в работе и от анатомических особенностей пациента много зависит, поэтому и не бегу писать жалобу или что-то подобное. Просто пытаюсь для себя понять, что дальше делать. Принять все это как не идеальные, но допустимые варианты нормальной работы и продолжать лечение, в том числе ортодонтическое, в этой клинике, или искать другого специалиста. Ссылка на комментарий
Doc Опубликовано 12 февраля, 2016 Поделиться Опубликовано 12 февраля, 2016 Для начала сделайте прицельный снимок этого зуба. Ссылка на комментарий
Варвара13 Опубликовано 12 февраля, 2016 Автор Поделиться Опубликовано 12 февраля, 2016 Поняла, спасибо, сделаю. Сделать на визиографе? Ссылка на комментарий
Doc Опубликовано 12 февраля, 2016 Поделиться Опубликовано 12 февраля, 2016 Поняла, спасибо, сделаю. Сделать на визиографе?Да, желательно. Ссылка на комментарий
red_butler Опубликовано 12 февраля, 2016 Поделиться Опубликовано 12 февраля, 2016 Сделать на визиографе? предпочтительнее на визиографеА коронки зафиксированы на постоянном цементе? Ссылка на комментарий
Варвара13 Опубликовано 12 февраля, 2016 Автор Поделиться Опубликовано 12 февраля, 2016 Завтра обязательно сделаю на визиографе.Да, сразу на постоянный. Ссылка на комментарий
Варвара13 Опубликовано 12 февраля, 2016 Автор Поделиться Опубликовано 12 февраля, 2016 Сделала прицельный снимокhttp://s020.radikal.ru/i712/1602/3b/c591e8651d69.jpg Ссылка на комментарий
Doc Опубликовано 14 февраля, 2016 Поделиться Опубликовано 14 февраля, 2016 Ну, все не так плохо. Теперь пощупать границу и понять, насколько она герметична. Если будет протекать, то зуб может погнить слегка. Потому лучше иметь идеальную герметизацию без щелей и доступа слюны из полости рта. 1 Ссылка на комментарий
Варвара13 Опубликовано 17 февраля, 2016 Автор Поделиться Опубликовано 17 февраля, 2016 Спасибо за ответ. Уточните, пожалуйста, определить герметичность границы можно самостоятельно или это может сделать только специалист? Ссылка на комментарий
Варвара13 Опубликовано 17 февраля, 2016 Автор Поделиться Опубликовано 17 февраля, 2016 Уважаемые доктора, скажите, пожалуйста, обточка вкладки непосредственно перед надеванием коронки - нарушение технологии cad-cam? Менять клинику или лечиться дальше, в том числе ставить еще коронки? Ссылка на комментарий
dok1 Опубликовано 17 февраля, 2016 Поделиться Опубликовано 17 февраля, 2016 Небольшая коррекция перед окончательной фиксацией коронки допустима. Незначительные погрешности могут возникнуть на любом этапе. Ссылка на комментарий
Варвара13 Опубликовано 17 февраля, 2016 Автор Поделиться Опубликовано 17 февраля, 2016 Спасибо за ответ. Ссылка на комментарий
Doc Опубликовано 22 февраля, 2016 Поделиться Опубликовано 22 февраля, 2016 Спасибо за ответ. Уточните, пожалуйста, определить герметичность границы можно самостоятельно или это может сделать только специалист?Правильно оценить работу любого специалиста может только специалист с более высоким уровнем работы. 1 Ссылка на комментарий
Рекомендуемые сообщения
Для публикации сообщений создайте учётную запись или авторизуйтесь
Вы должны быть пользователем, чтобы оставить комментарий
Создать аккаунт
Зарегистрируйте новый аккаунт в нашем сообществе. Это очень просто!
Регистрация нового пользователяВойти
Уже есть аккаунт? Войти в систему.
Войти