Перейти к содержанию
Стоматология для всех

Сложность в планировании


Platon

Рекомендуемые сообщения

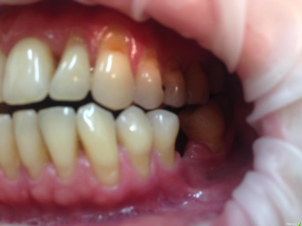
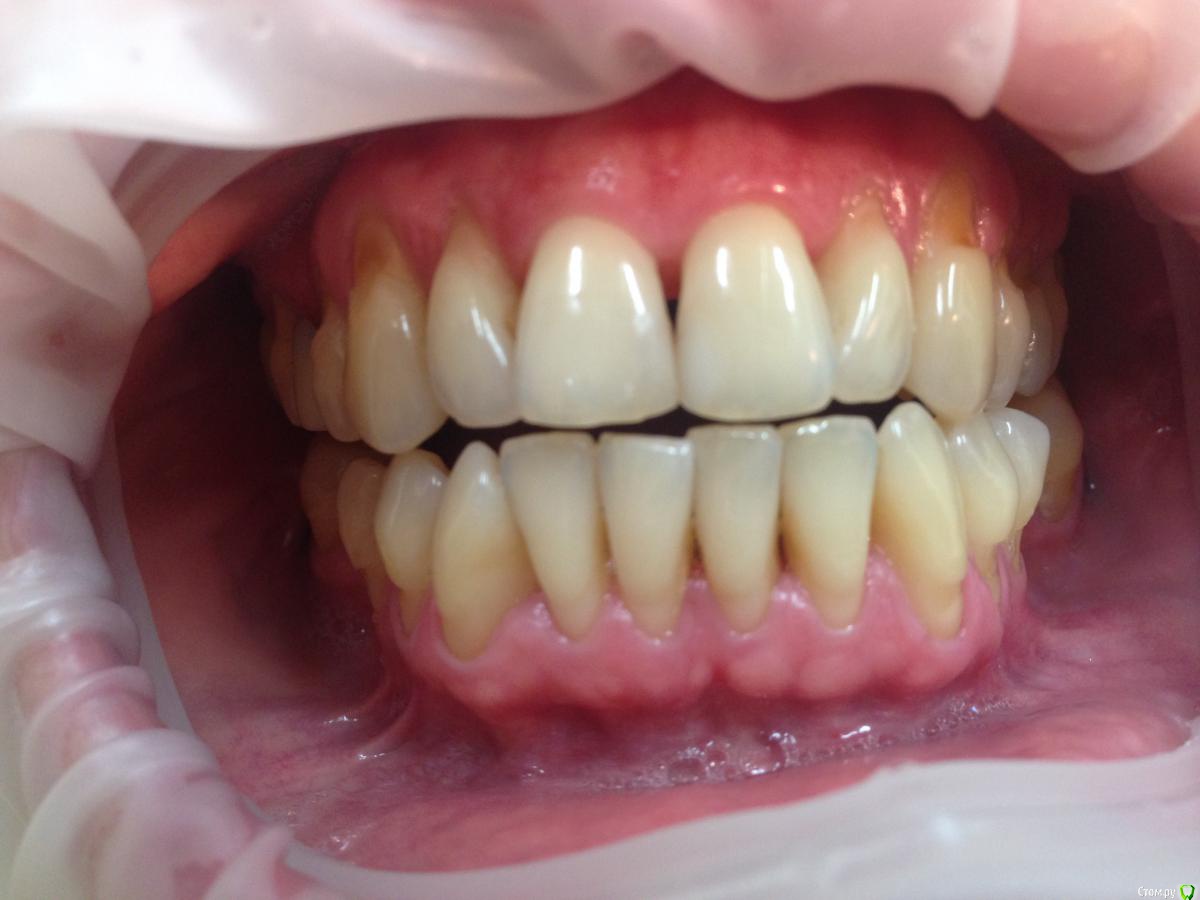
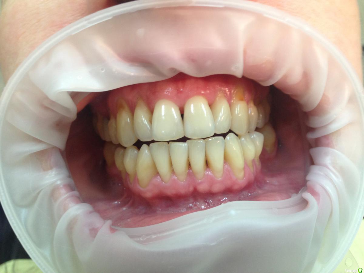
Пациент, Женщина, 45-ти лет, обратилась в клинику с жалобами на боль в ВНЧС, и ощущением несмыкания зубов с правой стороны. Ранее обращалась к ортодонтам в другом месте, где проходила курс лечения каппами, положительного результата, с ее слов не достигнуто. На данный момент каппы никакие не носит.

Обратилась уже в клинику с целью рационального протезирования.

какие варианты возможны, или даже необходимы в таком случае?может некоторые снимки покажутся лишними или дублированными, но ... как -то так.

Заранее спасибо за Ваши предложения.

post-41403-0-64810100-1455124556_thumb.jpg

post-41403-0-93710800-1455124569_thumb.jpg

post-41403-0-87129100-1455124584_thumb.jpg

post-41403-0-90310300-1455124598_thumb.jpg

post-41403-0-78064300-1455124613_thumb.jpg

post-41403-0-01045000-1455124632_thumb.jpg

post-41403-0-42764600-1455124646_thumb.jpg

post-41403-0-01245200-1455124663_thumb.jpg

post-41403-0-39012200-1455124735_thumb.jpg

post-41403-0-44062600-1455124753_thumb.jpg

post-41403-0-86510600-1455124771_thumb.jpg

post-41403-0-63703700-1455124787_thumb.jpg

post-41403-0-77693400-1455124811_thumb.jpg

post-41403-0-28403000-1455124825_thumb.jpg

post-41403-0-95039900-1455124842_thumb.jpg

post-41403-0-64948700-1455124857_thumb.jpg

post-41403-0-98954400-1455124873_thumb.jpg

post-41403-0-65525800-1455124889_thumb.jpg

post-41403-0-27718900-1455124904_thumb.jpg

post-41403-0-37475700-1455124918_thumb.jpg

post-41403-0-06756300-1455124943_thumb.jpg

post-41403-0-89483000-1455125020_thumb.jpg

post-41403-0-43695800-1455125099_thumb.jpg

post-41403-0-24879600-1455125121_thumb.jpg

post-41403-0-80824600-1455125150_thumb.jpg

post-41403-0-99162600-1455125179_thumb.jpg

post-41403-0-03304500-1455125262_thumb.jpg

Ссылка на комментарий

А появление боли и не смыкание появилось после капп, или было до этого и сколько ими пользовалась? эффект отмечает от них?  изменения небольшие по головкам есть, но не криминал ^_^ слева смыкается и впереди? по снимкам - это в прикусе, или так получилось просто??
Как мне кажется, надо достроить правую сторону, пронаблюдать в динамике и оценить эффект, если ок, то стремиться к этому положению, если нет, то искать его. Плюс все загипсовать и вакс апп, по нему ориентироваться при благоприятном исходе..
Может кто еще что думает, коллеги? поделитесь своим видением данной ситуации?! :huh:

Изменено пользователем Ronin
Ссылка на комментарий

Для публикации сообщений создайте учётную запись или авторизуйтесь

Вы должны быть пользователем, чтобы оставить комментарий

Создать аккаунт

Зарегистрируйте новый аккаунт в нашем сообществе. Это очень просто!

Регистрация нового пользователя

Войти

Уже есть аккаунт? Войти в систему.

Войти
×
×
  • Создать...
Вверх