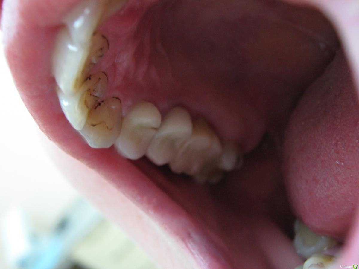
Кирилл 1986 Опубликовано 8 февраля, 2016 Поделиться Опубликовано 8 февраля, 2016 Цельнокерамические коронки на 14,15 зубах (Duceram Kiss на огнеупорной модели), поставлены чуть больше года назад, прилегание коронок сохранено,без изменений, окклюзионная схема тоже. Скол в фиссуре,на всю толщину коронки, произошёл со слов пациента при жевании яблока, скорее всего одним куском ( керамики). При жевании ничего не мешало, зубочистками пациент не пользовался. Какие могут быть причины скола? Что учесть при замене коронки? Ссылка на комментарий
iБолит Опубликовано 8 февраля, 2016 Поделиться Опубликовано 8 февраля, 2016 Информации мало. Хотя бы отлить в гипс Ссылка на комментарий
Ronin Опубликовано 8 февраля, 2016 Поделиться Опубликовано 8 февраля, 2016 Как правило сколы могут быть причиной не отработанного прикуса, хоть и не мешало, уделите больше внимания оклюзиооной схеме и всем движениям нижней челюсти, или нарушение технологического процесса при спекании керамики из-за резкого охлаждения, например, если техник торопился..Информации мало дали, нужны фотоснимки обеих челюстей, диагностика гиперфункции и стискивания, причин множество может быть... Ссылка на комментарий
Evikrol Опубликовано 8 февраля, 2016 Поделиться Опубликовано 8 февраля, 2016 По этому я и вернулся к циркону на жевательную группу. Слишком много нюансов и кто виноват не найти. Ссылка на комментарий
Ronin Опубликовано 8 февраля, 2016 Поделиться Опубликовано 8 февраля, 2016 По этому я и вернулся к циркону на жевательную группу. Слишком много нюансов и кто виноват не найти.Имеете ввиду цельный цирконий, или вообще цирконий, как лучший вариант для жевательной группы? Ссылка на комментарий
Evikrol Опубликовано 13 февраля, 2016 Поделиться Опубликовано 13 февраля, 2016 Когда как, места мало или аллергия то преттау. Если все в порядке то с керамикой, хотя последнее время сотрудничаем с лабораторией которая контактные пункты убивает злодеи. Проще и красивее в полную анатомию преттау заказать Ссылка на комментарий
Ronin Опубликовано 13 февраля, 2016 Поделиться Опубликовано 13 февраля, 2016 Когда как, места мало или аллергия то преттау. Если все в порядке то с керамикой, хотя последнее время сотрудничаем с лабораторией которая контактные пункты убивает злодеи. Проще и красивее в полную анатомию преттау заказатьАбсолютно с вами согласен!) Преттау божественны) ахах Ссылка на комментарий
Evikrol Опубликовано 13 февраля, 2016 Поделиться Опубликовано 13 февраля, 2016 Техники разные, одни керамику так делают что лучше преттаю заказать Ссылка на комментарий
togrul Опубликовано 13 февраля, 2016 Поделиться Опубликовано 13 февраля, 2016 Техники разные, одни керамику так делают что лучше преттаю заказатьКакие наблюдения по поводу коронок в полную анатомию?сколько протезируете на них?Спасибо Ссылка на комментарий
Evikrol Опубликовано 13 февраля, 2016 Поделиться Опубликовано 13 февраля, 2016 А что с ними может случится? В руках неумелого техника выглядит как пластмассовая, а если руки из плечь то очень красиво разрисовать может. Сперва я делал их там где места под керамику нет, вместо цельнолитых. Наблюдений за преттау мало около года. Ещё ни одну не сломали. И технику работы меньше. Ссылка на комментарий
Ronin Опубликовано 13 февраля, 2016 Поделиться Опубликовано 13 февраля, 2016 А что с ними может случится? В руках неумелого техника выглядит как пластмассовая, а если руки из плечь то очень красиво разрисовать может. Сперва я делал их там где места под керамику нет, вместо цельнолитых. Наблюдений за преттау мало около года. Ещё ни одну не сломали. И технику работы меньше.Я года четыре или пять делаю, все отлично полет стабильный)) сколов точно нету совсем)) Ссылка на комментарий
Evikrol Опубликовано 13 февраля, 2016 Поделиться Опубликовано 13 февраля, 2016 Ronin ваши смайлы и "ахаха" сбивают с толку и непонятно, толи сарказм, толи правда Ссылка на комментарий
StomV Опубликовано 14 февраля, 2016 Поделиться Опубликовано 14 февраля, 2016 Ну а как же повышенная стираемость антагонистов цельноциркониевыми коронками? Ссылка на комментарий
Evikrol Опубликовано 14 февраля, 2016 Поделиться Опубликовано 14 февраля, 2016 (изменено) А керамика не стирает зубы? А зубы сами себя не стирают? Это же дело в не в материале. Или я не прав? Изменено 14 февраля, 2016 пользователем Evikrol Ссылка на комментарий
Magomed Опубликовано 14 февраля, 2016 Поделиться Опубликовано 14 февраля, 2016 если всё сделанно правильно,то правы. Но обычно ,всё не получается сделать правильно. Ссылка на комментарий
togrul Опубликовано 14 февраля, 2016 Поделиться Опубликовано 14 февраля, 2016 Вопрос не в сколах, а с точки зрения окклюзии. Может скол это и есть хорошо защита сустава . Не задумывались почему происходит? Мысли для размышления. Ссылка на комментарий
togrul Опубликовано 14 февраля, 2016 Поделиться Опубликовано 14 февраля, 2016 Я видел как и в полную анатомию ломают. Но у циркона с наслоением масса проблем. 1 Ссылка на комментарий
Ronin Опубликовано 14 февраля, 2016 Поделиться Опубликовано 14 февраля, 2016 Ronin ваши смайлы и "ахаха" сбивают с толку и непонятно, толи сарказм, толи правдаБез сарказма совсем, все стабильно, сколов и поломок не наблюдал, делал преттау прокрашиванием, без керамики. У многих это вызывает недоумение, так как некоторые врачи и техники делают якобы цельный цирконий из стандартных блоков, которые обычно обрабатывают под каркасы с керамикой, у них разная физика, поэтому могут быть поломки! С чем я сам год назад с толкнулся, мне техник подсунул обычный цирконий и он лопнул еще на примерке(( Поэтому если грамотно подходить к выбору материала и технологии, то все ок! Без смайлов в этот раз. Ссылка на комментарий
Evikrol Опубликовано 15 февраля, 2016 Поделиться Опубликовано 15 февраля, 2016 Какова минимальная допустимая толщина prettau? Есть цыфры в инструкции? Ссылка на комментарий
Ronin Опубликовано 15 февраля, 2016 Поделиться Опубликовано 15 февраля, 2016 Какова минимальная допустимая толщина prettau? Есть цыфры в инструкции?В инструкции не помню, если честно, но стараюсь меньше 1 мм жевательно не делать, все равно страшновато, хотя говорят, что можно меньше. Я поищу в статьях, если найду, то напишу Ссылка на комментарий
chervoncevdaniil Опубликовано 15 февраля, 2016 Поделиться Опубликовано 15 февраля, 2016 0.4 мм говорят можно преттау,но тоже меньше 1 мм не рискую Ссылка на комментарий
DoctorT Опубликовано 16 февраля, 2016 Поделиться Опубликовано 16 февраля, 2016 0.4 мм говорят можно преттау,но тоже меньше 1 мм не рискуюЕсли выверить по окклюзии и хорошо приклеить то и 0.4 не колонется. Если же по окклюзии все не очень то и 1 мм не спасет, либо зуб, либо расцементировка, да много чего еще может произойти нехорошего. Ссылка на комментарий
Ronin Опубликовано 16 февраля, 2016 Поделиться Опубликовано 16 февраля, 2016 Если выверить по окклюзии и хорошо приклеить то и 0.4 не колонется. Если же по окклюзии все не очень то и 1 мм не спасет, либо зуб, либо расцементировка, да много чего еще может произойти нехорошего. Ну, собственно, так про любую керамику можно сказать тоже, вопрос о цифрах рекомендуемых производителем, а не констатация очевидного Ссылка на комментарий
chervoncevdaniil Опубликовано 17 февраля, 2016 Поделиться Опубликовано 17 февраля, 2016 Если выверить по окклюзии и хорошо приклеить то и 0.4 не колонется. Если же по окклюзии все не очень то и 1 мм не спасет, либо зуб, либо расцементировка, да много чего еще может произойти нехорошего. циркон не клеится,но в целом согласен Ссылка на комментарий
Рекомендуемые сообщения
Для публикации сообщений создайте учётную запись или авторизуйтесь
Вы должны быть пользователем, чтобы оставить комментарий
Создать аккаунт
Зарегистрируйте новый аккаунт в нашем сообществе. Это очень просто!
Регистрация нового пользователяВойти
Уже есть аккаунт? Войти в систему.
Войти