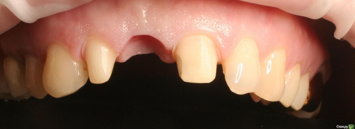
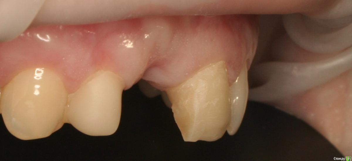
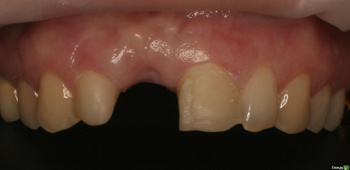
ShkipeR Опубликовано 8 февраля, 2016 Поделиться Опубликовано 8 февраля, 2016 Вариант эстетической реабилитации во фронтальном отделе без имплантацииНа формирование овоида три неделиПланируется диоксид цирконияПоследнее фото - временные коронки)) 15 Ссылка на комментарий
Евгений Ходыкин Опубликовано 8 февраля, 2016 Поделиться Опубликовано 8 февраля, 2016 e.max бы наверное более "живенько" вышел..) Ссылка на комментарий
art700 Опубликовано 8 февраля, 2016 Поделиться Опубликовано 8 февраля, 2016 e.max бы наверное более "живенько" вышел..)Так написано, что в конце временные. Постоянной работы как я понял нет, а временные помоему крутые. Ссылка на комментарий
ShkipeR Опубликовано 8 февраля, 2016 Автор Поделиться Опубликовано 8 февраля, 2016 Так написано, что в конце временные. Постоянной работы как я понял нет, а временные помоему крутые.СпасибоПоследнее фото-временныеПланируется Диоксид циркония)) Ссылка на комментарий
Ronin Опубликовано 8 февраля, 2016 Поделиться Опубликовано 8 февраля, 2016 Выглядит хорошо! Еще бы моделировку и чтоб вошли 13-23 для сравнения, а то не понятно.. Металл менять будете на боковом 26? Покажите результат потом, интересно как выглядит цветовое решение и форма в окончательном варианте, улыбка и соотношение формы со своими зубами) Ссылка на комментарий
ShkipeR Опубликовано 8 февраля, 2016 Автор Поделиться Опубликовано 8 февраля, 2016 Выглядит хорошо! Еще бы моделировку и чтоб вошли 13-23 для сравнения, а то не понятно.. Металл менять будете на боковом 26? Покажите результат потом, интересно как выглядит цветовое решение и форма в окончательном варианте, улыбка и соотношение формы со своими зубами)СпасибоНадеюсь,техник постарается))26 будем менять)) Ссылка на комментарий
Евгений Ходыкин Опубликовано 8 февраля, 2016 Поделиться Опубликовано 8 февраля, 2016 Так написано, что в конце временные. Постоянной работы как я понял нет, а временные помоему крутые.Читать умею, кэп. Речь о выборе постоянного материала... Ссылка на комментарий
art700 Опубликовано 8 февраля, 2016 Поделиться Опубликовано 8 февраля, 2016 Читать умею, кэп. Речь о выборе постоянного материала...))))Неправильно понял значит сообщение))) Ссылка на комментарий
Fatal Опубликовано 8 февраля, 2016 Поделиться Опубликовано 8 февраля, 2016 Спасибо Последнее фото-временные Планируется Диоксид циркония ))Получается, что б сформировать овоид, техник подбирает на гипсе и моделирует времянки, а вы одев их, отжимаете мягкие ткани? Ссылка на комментарий
timvanaxel Опубликовано 9 февраля, 2016 Поделиться Опубликовано 9 февраля, 2016 Лихо...без пролежней)) Ссылка на комментарий
Рекомендуемые сообщения
Для публикации сообщений создайте учётную запись или авторизуйтесь
Вы должны быть пользователем, чтобы оставить комментарий
Создать аккаунт
Зарегистрируйте новый аккаунт в нашем сообществе. Это очень просто!
Регистрация нового пользователяВойти
Уже есть аккаунт? Войти в систему.
Войти