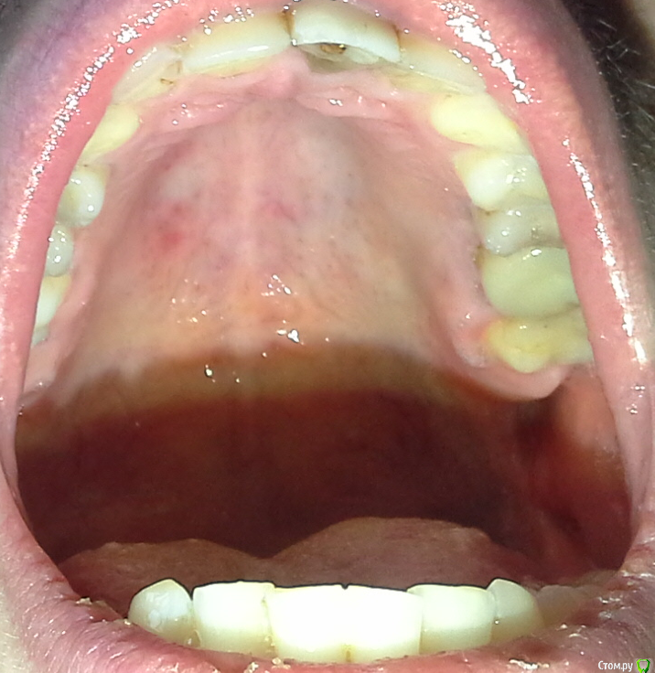
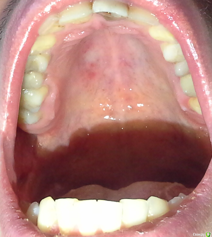
gekelbery Опубликовано 7 февраля, 2016 Поделиться Опубликовано 7 февраля, 2016 (изменено) Долгое время болит нёбо,на общем фоне выделяется белое пятно на слизистой, курю. Есть что-то подозрительное? http://s019.radikal.ru/i609/1602/60/ea6a70def04at.jpg Изменено 7 февраля, 2016 пользователем gekelbery Ссылка на комментарий
red_butler Опубликовано 7 февраля, 2016 Поделиться Опубликовано 7 февраля, 2016 Как долго? 1 Ссылка на комментарий
gekelbery Опубликовано 7 февраля, 2016 Автор Поделиться Опубликовано 7 февраля, 2016 около полугода Ссылка на комментарий
red_butler Опубликовано 7 февраля, 2016 Поделиться Опубликовано 7 февраля, 2016 Rg есть? 1 Ссылка на комментарий
gekelbery Опубликовано 7 февраля, 2016 Автор Поделиться Опубликовано 7 февраля, 2016 (изменено) Rg есть?нету, нужно сделать какие-то обследования? Ко врачу не обращался, боль то появляется, то пропадает Изменено 7 февраля, 2016 пользователем gekelbery Ссылка на комментарий
red_butler Опубликовано 7 февраля, 2016 Поделиться Опубликовано 7 февраля, 2016 нету, нужно сделать какие-то обследования? Ко врачу не обращался, боль то появляется, то пропадаетА вот это зря, по интернету Вас все равно не вылечат. Сделайте ОПГ 2 Ссылка на комментарий
Рекомендуемые сообщения
Для публикации сообщений создайте учётную запись или авторизуйтесь
Вы должны быть пользователем, чтобы оставить комментарий
Создать аккаунт
Зарегистрируйте новый аккаунт в нашем сообществе. Это очень просто!
Регистрация нового пользователяВойти
Уже есть аккаунт? Войти в систему.
Войти