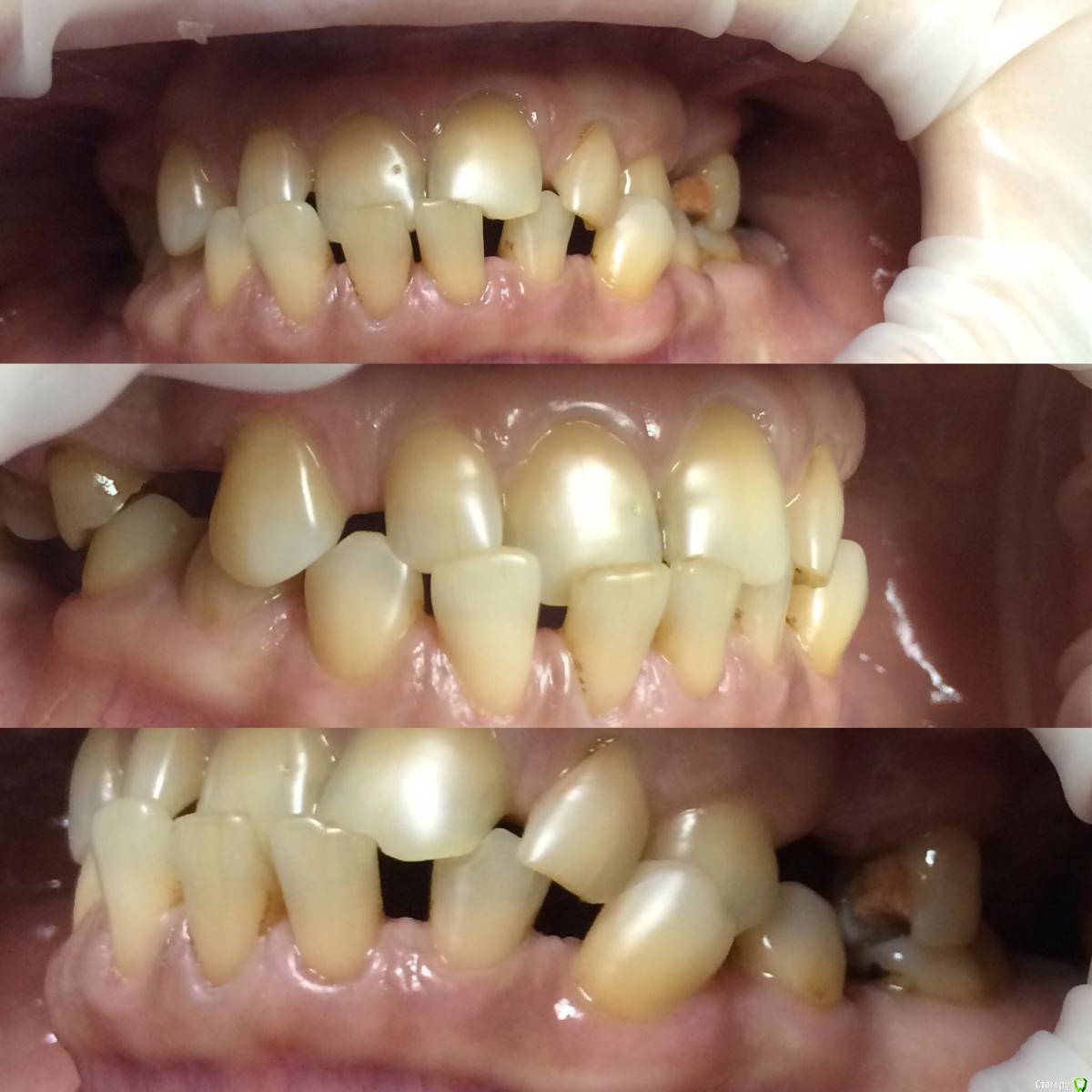
Larnary Опубликовано 6 февраля, 2016 Поделиться Опубликовано 6 февраля, 2016 (изменено) Всем добрый вечер!Нередко перед ортопедическим лечением мы проводим ортодонтическу подготовку. Если раньше в былые времена мы зубы объединяли в блок,то теперь это считается грубой ошибкой. И вот тут камень предкновения,тк ортодонты после ортодонтического лечения рекомендуют ставить ретейнеры. И вот ситуация,мы делаем шикарные одиночки emax и все супер.хорошо,если мы делаем везде виниры. С язычной и небной поверхности поставить ретейнер не проблема. А если цельнокерамические коронки? Не "разъедутся ли зубы через несколько лет обратно?" Все ортодонты,с которыми мне приходилось общаться говорят "разъедутся". Что думаете выФото пациента перед ортодонтическим лечением. В дальнейшем планируются цельнокерамические реставрации Изменено 6 февраля, 2016 пользователем Larnary Ссылка на комментарий
Art 7 Опубликовано 6 февраля, 2016 Поделиться Опубликовано 6 февраля, 2016 Каппы сделаете после протезирования, а до протезирования времянки блоком. Только ношение капп надо чередовать Ссылка на комментарий
Evikrol Опубликовано 6 февраля, 2016 Поделиться Опубликовано 6 февраля, 2016 Каппу можно непоносить недельку и всё поедит. Ссылка на комментарий
Larnary Опубликовано 6 февраля, 2016 Автор Поделиться Опубликовано 6 февраля, 2016 Каппу можно непоносить недельку и всё поедит.Вот и я боюсь этого.Или такой на днях случай. Пришла ко мне девушка сделать коронки 21,23. На сегодня 21,22,23 крупные просевшие пломбы более 50%. При этом 11,12,13,21,22,23 шинированы ретейнером. В анамнезе 3 года назад ортогнатика по-поводу гнатической формы мезиальной окклюзии. И как тут быть? И зубы рушатся и ретейнер снимать опасно Ссылка на комментарий
Ronin Опубликовано 6 февраля, 2016 Поделиться Опубликовано 6 февраля, 2016 Здесь тока каппа, надо приучить пациента к каппам, ношение в ночное время, если ложится спать, то взять за правило надевать их, как чистка зубов, как иной ритуал перед сном, если таковой имеется у кого)) и наблюдение раз в полгода, или чаще у Вас и ортодонта, чтоб следить за исполнением рекомендаций! Настрого предупредить о последствиях и в пустую потраченных деньгах и времени, если не будет следовать необходимым мерам в виде ночного ношения капп! или шинировать, создав перед этим ретенцию для ретейнера... 1 Ссылка на комментарий
Sampson Опубликовано 7 февраля, 2016 Поделиться Опубликовано 7 февраля, 2016 После ношения брекетов делал коронки на 11,21,22 .Ретенционные пункты на коронках были сделаны с небной поверхности в технической. После фиксации ретейнера изготовлена силиконовая каппа. В будущем ретейнер ,как и полагается в таких случаях, отклеился с 22-го зуба. Но благодаря каппе все зубы не разьехались. Ссылка на комментарий
Рекомендуемые сообщения
Для публикации сообщений создайте учётную запись или авторизуйтесь
Вы должны быть пользователем, чтобы оставить комментарий
Создать аккаунт
Зарегистрируйте новый аккаунт в нашем сообществе. Это очень просто!
Регистрация нового пользователяВойти
Уже есть аккаунт? Войти в систему.
Войти