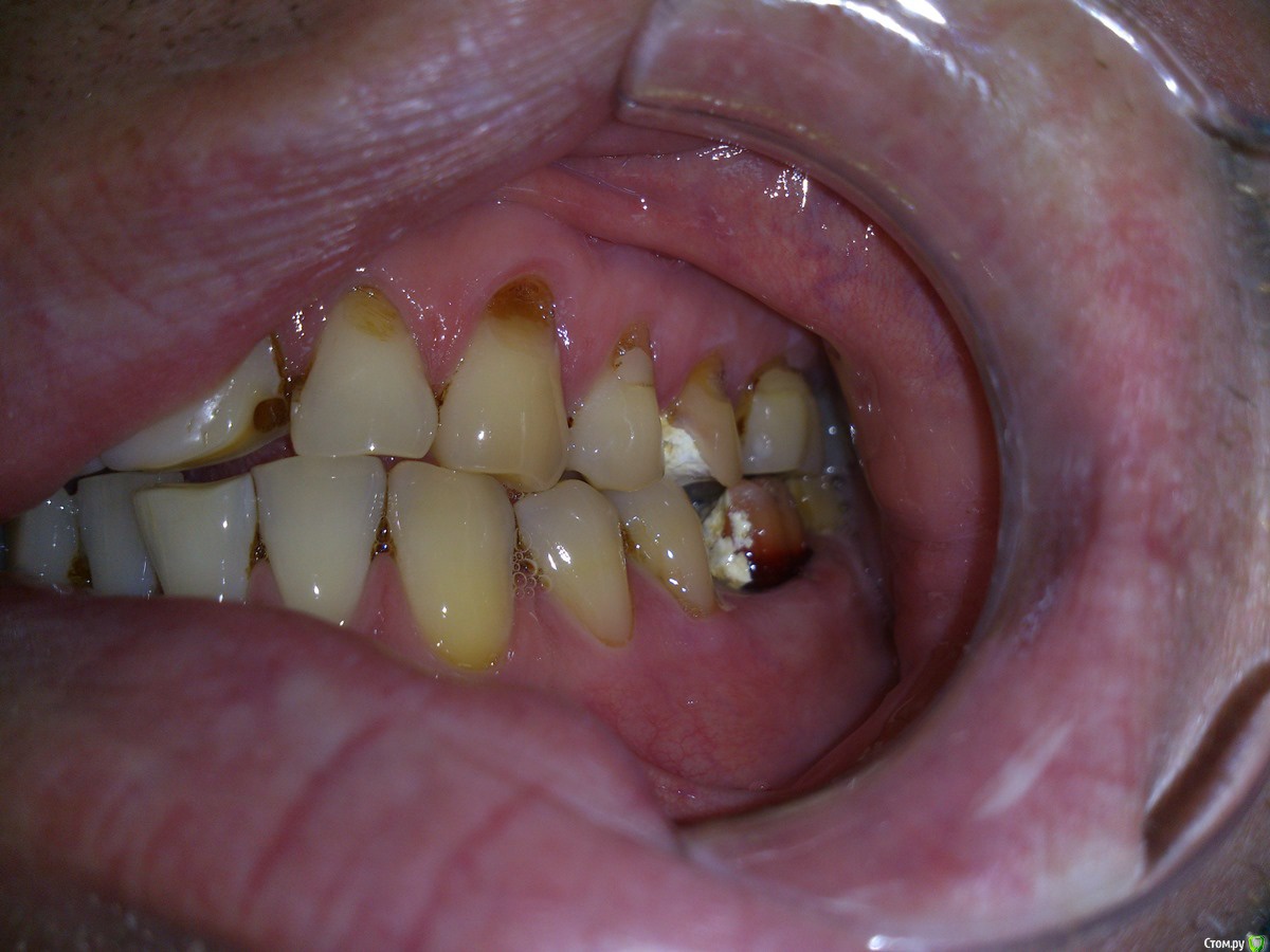
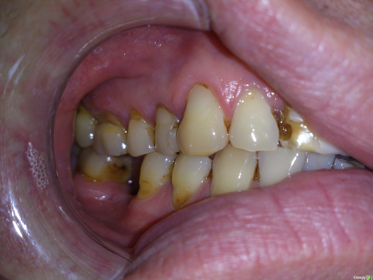
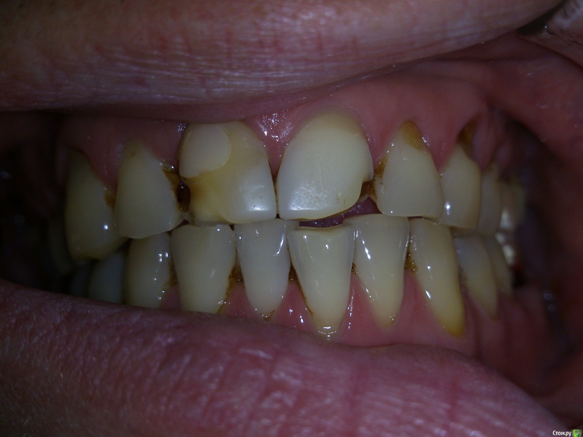
SanderS Опубликовано 6 февраля, 2016 Поделиться Опубликовано 6 февраля, 2016 Пациенту не нравится фронт и пришеечные дефекты, перелечены несколько зубов. Из анамнеза - привычка "стискивать зубы", или как говорит - "попадаю на какой то зуб и начинаю двигать челюсть влево вправо не задумываясь", появилось лет 10 назад, сейчас 35.Возможно обойтись без тотала с каппой, или не браться вообще? Ссылка на комментарий
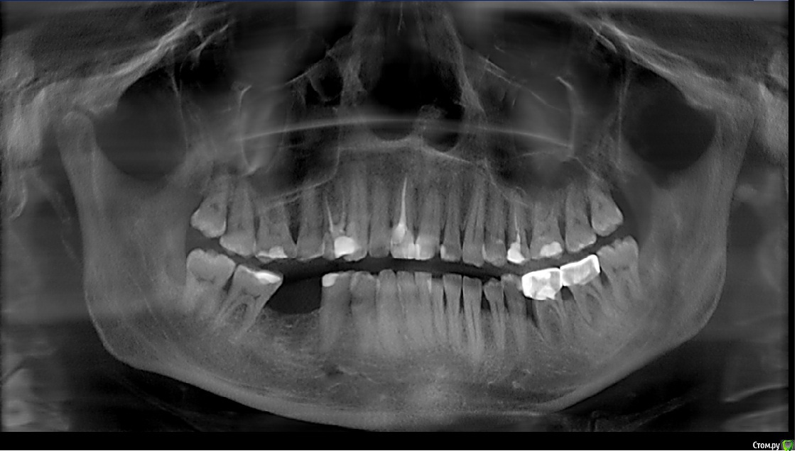
Sampson Опубликовано 7 февраля, 2016 Поделиться Опубликовано 7 февраля, 2016 Если без тотала.1)Снимок. Уз чистка2)Стераемость 13.23/33.43.Востанавливаем клыковую направляющую.3)Эндолечение и попутное поднятие прикуса на накусочных площадках. 4)Времянки Ссылка на комментарий
Ronin Опубликовано 7 февраля, 2016 Поделиться Опубликовано 7 февраля, 2016 Решение оптимальное, как сказал коллега выше, восстановить фронт и клыковое ведение, но как ограничиться этим, ведь бока тоже нужно делать.. там же эндо, как я понял и так делается, одного моляра нет?! реставрации композиционные что ли? Надо учитывать "стискивание" , разломает потом эти зубы и все, плюс расхождение зубов тоже есть, перегрузка, не забудем и про пародонтальный комплекс, высоту поднять, если нужно, предварительно определив, хотя высота, как мне кажется в порядке, но могу ошибаться, на завершающем этапе обязательно каппу, ношение максимальное время! Здесь важно хуже не сделать, если нет уверенности в стабильном результате, ибо не навреди... Если уверенны, то только в путь))) Ссылка на комментарий
SanderS Опубликовано 8 февраля, 2016 Автор Поделиться Опубликовано 8 февраля, 2016 те что после перелечивания естественно будут покрываться коронками, нижний моляр имплантат, если пришеечные дефекты реставрировать композитом при условии восстановления клыковой направляющей + каппа, не повыпадают ли они? Высота у него вроде не снижена, за счет компенсации. Ссылка на комментарий
voff Опубликовано 8 февраля, 2016 Поделиться Опубликовано 8 февраля, 2016 начните с пародонтолога и терапевтического/эндолечения, посмотрите что останется и что нужно будет протезируйте Ссылка на комментарий
SanderS Опубликовано 8 февраля, 2016 Автор Поделиться Опубликовано 8 февраля, 2016 эндо уже сделано, разве что проф чистку Ссылка на комментарий
Ronin Опубликовано 8 февраля, 2016 Поделиться Опубликовано 8 февраля, 2016 те что после перелечивания естественно будут покрываться коронками, нижний моляр имплантат, если пришеечные дефекты реставрировать композитом при условии восстановления клыковой направляющей + каппа, не повыпадают ли они? Высота у него вроде не снижена, за счет компенсации.Пломбы не простоят долго, здесь даже подсказка, что клиновидные дефекты, повсеместно, что перегрузка, упругие деформации в действии имеют место быть. Как временное мероприятие, если средств нет пока заниматься, но лучше уточнить высоту и оставить все на временных до возможности финансово заняться, или билдап сделать на боковых из композита самостоятельно или по вакс-апу, лучше второе. Ссылка на комментарий
Ronin Опубликовано 8 февраля, 2016 Поделиться Опубликовано 8 февраля, 2016 Обратите внимание на 47, если имплантат планируете, то решите пародонтологически страгию, чтоб потом благополучно не расстаться с импл и зубом, 35,36,37 - аналогичная ситуация, пародонтология.Если мероприятия все же будут минимальны, то всегда каппа, максимальное ношение уже сейчас, если не будет реконструкции жевательных плоскостей Ссылка на комментарий
Рекомендуемые сообщения
Для публикации сообщений создайте учётную запись или авторизуйтесь
Вы должны быть пользователем, чтобы оставить комментарий
Создать аккаунт
Зарегистрируйте новый аккаунт в нашем сообществе. Это очень просто!
Регистрация нового пользователяВойти
Уже есть аккаунт? Войти в систему.
Войти