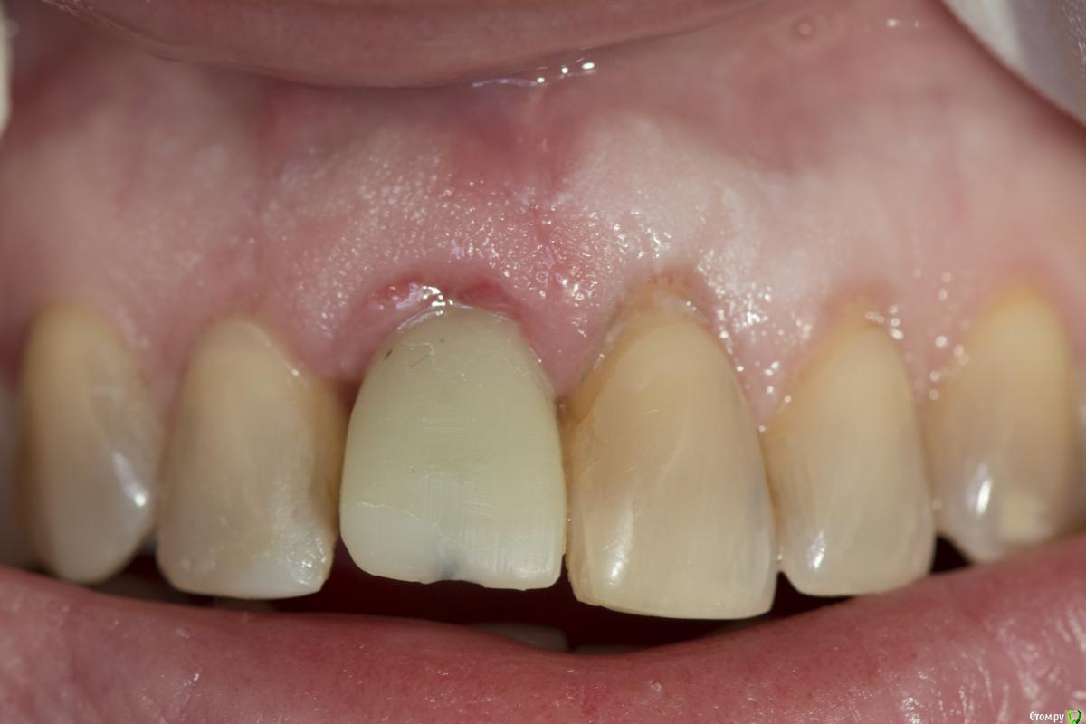
K.E. Опубликовано 4 февраля, 2016 Поделиться Опубликовано 4 февраля, 2016 удален зубустановлен импл. Alpha-bioзабор трасплантанта из бугра, разделен и уложен.временная коронка не очень.снятие швовконтроль через месяцконтроль через четыре месяца, коррекция вр. кор. 10 Ссылка на комментарий
andr99 Опубликовано 4 февраля, 2016 Поделиться Опубликовано 4 февраля, 2016 А зачем отлойка? 3 Ссылка на комментарий
Карен Аванесов Опубликовано 4 февраля, 2016 Поделиться Опубликовано 4 февраля, 2016 Смело. 4 Ссылка на комментарий
K.E. Опубликовано 4 февраля, 2016 Автор Поделиться Опубликовано 4 февраля, 2016 (изменено) а зачем отслойка? страшно было Изменено 4 февраля, 2016 пользователем K.E. Ссылка на комментарий
Большой Зеленый Опубликовано 5 февраля, 2016 Поделиться Опубликовано 5 февраля, 2016 Выпадет Ссылка на комментарий
Jurai Опубликовано 5 февраля, 2016 Поделиться Опубликовано 5 февраля, 2016 НКР бы. Мягкими тканями можно и не выехать. Ссылка на комментарий
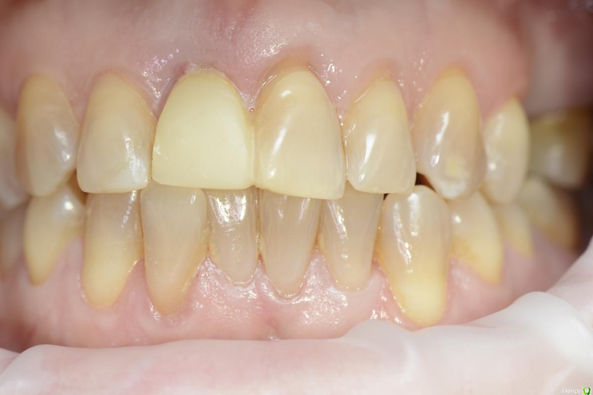
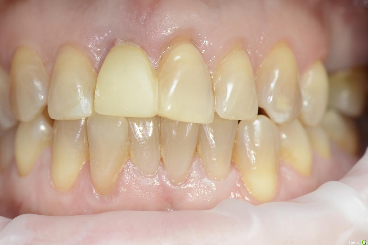
K.E. Опубликовано 5 февраля, 2016 Автор Поделиться Опубликовано 5 февраля, 2016 пока не выпал. года 2 прошло. Ссылка на комментарий
Жандос Муратович Опубликовано 5 февраля, 2016 Поделиться Опубликовано 5 февраля, 2016 контроль через четыре месяца, коррекция вр. кор. снимки не делали? Ссылка на комментарий
red_butler Опубликовано 5 февраля, 2016 Поделиться Опубликовано 5 февраля, 2016 снимки не делали? + 1 интересно Кт через 2 года посмотреть 1 Ссылка на комментарий
K.E. Опубликовано 5 февраля, 2016 Автор Поделиться Опубликовано 5 февраля, 2016 НКР бы. Мягкими тканями можно и не выехать.. Тут было нкр. Был произведён забор костно-слизистого трансплантанта трепаном трансгингивально с бугра в/ч. Ссылка на комментарий
K.E. Опубликовано 5 февраля, 2016 Автор Поделиться Опубликовано 5 февраля, 2016 Выпадет что выпадет? Имплантант? Костный блок? Почему? Ссылка на комментарий
K.E. Опубликовано 5 февраля, 2016 Автор Поделиться Опубликовано 5 февраля, 2016 снимки не делали? зачем? Прицельный не покажет. Нужно кт. Ссылка на комментарий
IvanK Опубликовано 5 февраля, 2016 Поделиться Опубликовано 5 февраля, 2016 тоже интересно рг контроль и фото, поделитесь пожалуйста 2 Ссылка на комментарий
K.E. Опубликовано 5 февраля, 2016 Автор Поделиться Опубликовано 5 февраля, 2016 тоже интересно рг контроль и фото, поделитесь пожалуйста работа делалась удаленно. Рентген попробую найти. КТ точно нет. Какими фото поделиться? Ссылка на комментарий
IvanK Опубликовано 5 февраля, 2016 Поделиться Опубликовано 5 февраля, 2016 Какими фото поделиться? фото через 2 года,спасибо Ссылка на комментарий
zzkz Опубликовано 5 февраля, 2016 Поделиться Опубликовано 5 февраля, 2016 фото на сегодня в студиютрансплантат не фиксировали что ли? Ссылка на комментарий
Жандос Муратович Опубликовано 5 февраля, 2016 Поделиться Опубликовано 5 февраля, 2016 НКР извините НКР это что(ксено)? Ссылка на комментарий
Жандос Муратович Опубликовано 5 февраля, 2016 Поделиться Опубликовано 5 февраля, 2016 зачем? Прицельный не покажет. Нужно кт. смотря что там) на прицельном много чего можно увидеть! 1 Ссылка на комментарий
diesel87 Опубликовано 5 февраля, 2016 Поделиться Опубликовано 5 февраля, 2016 извините НКР это что(ксено)? Мягкотканным-костным сэндвичем с бугра (ауто) Ссылка на комментарий
Жандос Муратович Опубликовано 5 февраля, 2016 Поделиться Опубликовано 5 февраля, 2016 Мягкотканным-костным сэндвичем с бугра (ауто) спасибо за ответ Ссылка на комментарий
diesel87 Опубликовано 5 февраля, 2016 Поделиться Опубликовано 5 февраля, 2016 спасибо за ответ Это я про данный случай сказал, вообще НКР это Направленная Костная Пластика, если вы про аббревиатуру спрашивали, делается и с ауто и с ксено. 1 Ссылка на комментарий
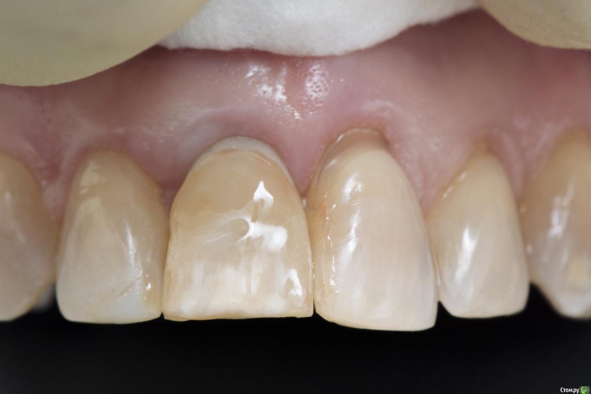
K.E. Опубликовано 5 февраля, 2016 Автор Поделиться Опубликовано 5 февраля, 2016 фото на сегодня в студиютрансплантат не фиксировали что ли? фиксирован только лоскутом. Ссылка на комментарий
K.E. Опубликовано 5 февраля, 2016 Автор Поделиться Опубликовано 5 февраля, 2016 [/quoteфото через 2 года,спасибо пациентка из др. города, протезировалась у себя. Обещала приехать показать. Сейчас, к сожалению, фото только те, что выставил. Ссылка на комментарий
Большой Зеленый Опубликовано 5 февраля, 2016 Поделиться Опубликовано 5 февраля, 2016 А мы голову недавно пересадили успешно..) 4 Ссылка на комментарий
K.E. Опубликовано 5 февраля, 2016 Автор Поделиться Опубликовано 5 февраля, 2016 А мы голову недавно пересадили успешно..) выпадет.)) 10 Ссылка на комментарий
Рекомендуемые сообщения
Для публикации сообщений создайте учётную запись или авторизуйтесь
Вы должны быть пользователем, чтобы оставить комментарий
Создать аккаунт
Зарегистрируйте новый аккаунт в нашем сообществе. Это очень просто!
Регистрация нового пользователяВойти
Уже есть аккаунт? Войти в систему.
Войти