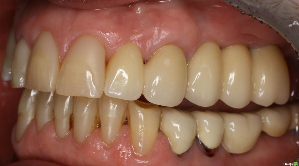
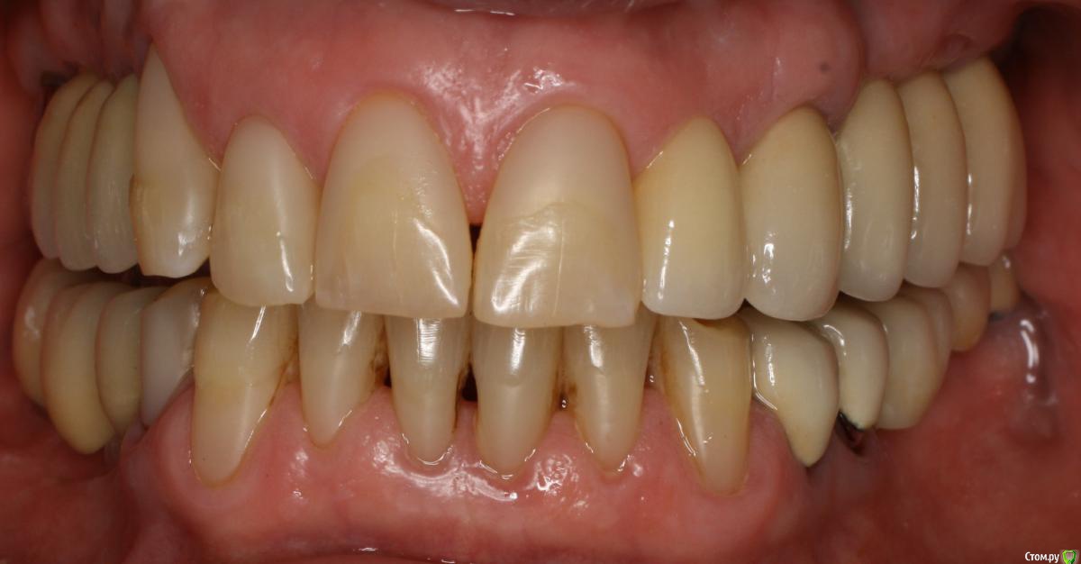
Популярный пост andr99 Опубликовано 4 февраля, 2016 Популярный пост Поделиться Опубликовано 4 февраля, 2016 Одна из первых одномоментных имплантаций . 23 - Нобель с плоскостным еще соединением + сст, 22 - отсутствует.К сожалению, фото операции не информативны.Фотки этапа формирования профиля и результат через 3 года. П.С. с радикалом какие-то проблемы у меня, поэтому постил фото сразу на сайт 29 Ссылка на комментарий
Fibez Опубликовано 4 февраля, 2016 Поделиться Опубликовано 4 февраля, 2016 красиво 3 Ссылка на комментарий
Доктор Хаус Опубликовано 4 февраля, 2016 Поделиться Опубликовано 4 февраля, 2016 (изменено) красиво. еще бы оклюзионно бы посмотреть. Изменено 4 февраля, 2016 пользователем Доктор Хаус 2 Ссылка на комментарий
Карен Аванесов Опубликовано 4 февраля, 2016 Поделиться Опубликовано 4 февраля, 2016 Очень! 1 Ссылка на комментарий
diesel87 Опубликовано 5 февраля, 2016 Поделиться Опубликовано 5 февраля, 2016 (изменено) Достойно друг! А хирургия где? Изменено 5 февраля, 2016 пользователем diesel87 Ссылка на комментарий
alekszander Опубликовано 5 февраля, 2016 Поделиться Опубликовано 5 февраля, 2016 Конструкция мостовидная? И если да, то чем обусловлен выбор? Ссылка на комментарий
andr99 Опубликовано 5 февраля, 2016 Автор Поделиться Опубликовано 5 февраля, 2016 Конструкция мостовидная? И если да, то чем обусловлен выбор? Коронка на имплантате 23 с консолью 22Достойно друг! А хирургия где?Фоткал на мыло, там мало что видно. Но поищу, если интересно Ссылка на комментарий
an_ver Опубликовано 5 февраля, 2016 Поделиться Опубликовано 5 февраля, 2016 Добротно сделал Ссылка на комментарий
kriokov Опубликовано 5 февраля, 2016 Поделиться Опубликовано 5 февраля, 2016 andr99Вопрос к Вам, сст в обл 22 добавляли? временную коронку на имплантат сразу делали? Ссылка на комментарий
andr99 Опубликовано 5 февраля, 2016 Автор Поделиться Опубликовано 5 февраля, 2016 andr99Вопрос к Вам, сст в обл 22 добавляли? временную коронку на имплантат сразу делали? Времянка отсроченно, сст в области 22 как раз уже на временных 1 Ссылка на комментарий
vadimV Опубликовано 10 марта, 2016 Поделиться Опубликовано 10 марта, 2016 Аккуратно сделано! Ссылка на комментарий
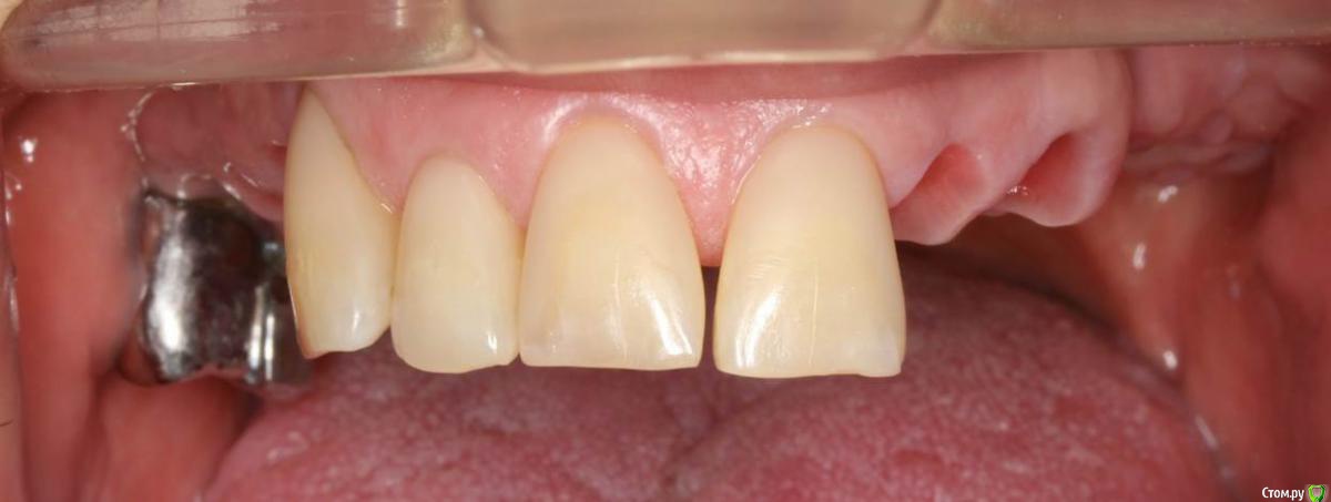
andr99 Опубликовано 10 марта, 2016 Автор Поделиться Опубликовано 10 марта, 2016 (изменено) Спасибо!Ортопед, кстати, сбросил окклюзионный вид после временных Изменено 10 марта, 2016 пользователем andr99 1 Ссылка на комментарий
Рекомендуемые сообщения
Для публикации сообщений создайте учётную запись или авторизуйтесь
Вы должны быть пользователем, чтобы оставить комментарий
Создать аккаунт
Зарегистрируйте новый аккаунт в нашем сообществе. Это очень просто!
Регистрация нового пользователяВойти
Уже есть аккаунт? Войти в систему.
Войти