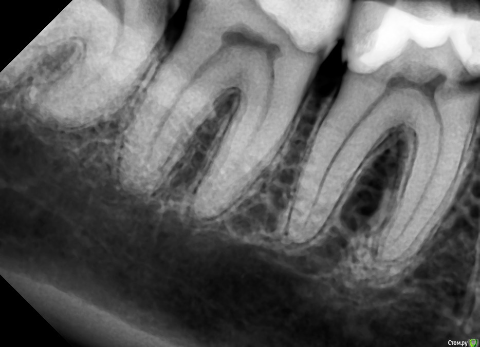
horoshie.veshi Опубликовано 3 февраля, 2016 Поделиться Опубликовано 3 февраля, 2016 Добрый день. В связи с тем, что на жевательных зубах со временем просели пломбы, и прикус сместился на 4-5 зубы, гнатолог (он же ставит коронки) предлагает покрыть 6 и 7 зубы коронками, чтобы прикус был на мощные моляры (сверху на 6 будет имплант, 7 - отсутствует). Вопрос по 6 и 7 зубам справа снизу. Есть большие пломбы, явно межзубный кариес и болевые ощущения от холодного в районе 7 зуба, однажды прилично болел всю ночь после того, как промыла ирригатором холодной водой, даже думала - пульпит. От теплого/горячего не болит. Потом все успокаивается за несколько часов. Бывает - не болит и не реагирует вообще, долго. У меня все живые зубы очень чувствительные (плохая эмаль, оголеннные местами шейки), поэтому прогноз состояния дать не могу, иногда болит все, вот буквально и от любых воздействий. Врач настаивает, чтобы зуб под корону был живым т.к. ткань депульпированных у меня рассыпается значительно быстрее. Обтачивать собирается за несколько раз понемногу, чтобы "не перегревать нерв" за 4-6 раз. Потом около года буду ходить в пластиковых коронках, пока будут обтачиваться другие зубы и приживаться имплант. Меня гложет сомнения, стоит ли идти на авантюру обтачивания таких живых моляров, два пульпита за жизнь уже показали мне небо в алмазах ... 8 зуб удалять не хочу, костная ткань уходит у меня очень быстро, 7-ка оголится сзади под коронкой, придется опять менять. Попробую полечить. - Нужно ли предварительно вычищать и лечить кариес 6 и 7 у терапевта или во время обточки это все протезист снимет все равно? (у терапевта буду завтра, ей в плане лечения доверяю больше)- Рискнуть ли ставить на живые или все-таки депульпировать? Сейчас не беспокоят вообще.- Какие прогнозы по этим зубам под коронками? Хочу еще узнать мнения. Ссылка на комментарий
St. Опубликовано 3 февраля, 2016 Поделиться Опубликовано 3 февраля, 2016 Коронки на живые зубы в прогнозе действительно лучше, но по Вашему снимку кариес достаточно глубокий и есть довольно высокая вероятности хронического пульпита в 6 зубе. Я бы первоначально убрала весь кариес и заменила пломбы или восстановила и временные коронки. И понаблюдать пару недель. Если в процессе вскроется "нерв" или разболится - тогда конечно депульпировать.Р.С. Меня как-то очень смущает методика Обтачивать собирается за несколько раз понемногу, чтобы "не перегревать нерв" за 4-6 раз. . 3 Ссылка на комментарий
horoshie.veshi Опубликовано 3 февраля, 2016 Автор Поделиться Опубликовано 3 февраля, 2016 Коронки на живые зубы в прогнозе действительно лучше, но по Вашему снимку кариес достаточно глубокий и есть довольно высокая вероятности хронического пульпита в 6 зубе. Я бы первоначально убрала весь кариес и заменила пломбы или восстановила и временные коронки. И понаблюдать пару недель. Если в процессе вскроется "нерв" или разболится - тогда конечно депульпировать.Р.С. Меня как-то очень смущает методика . именно мои мысли Вы передали слово в слово!планы интуитивно были такими же, и методика обточки смущает тоже, совершенно не хочется потом полезть на стену опять же 6 посещений, 6 заморозок...Хотелось бы узнать, правда ли, что в этом случае нерв удается не беспокоить?... я тоже о таком не слышала. Ссылка на комментарий
St. Опубликовано 3 февраля, 2016 Поделиться Опубликовано 3 февраля, 2016 Нерв минимально раздражается если аккуратно пилить под анестезией, с водяным охлаждением и использовать временные коронки. Не вижу целесообразности растягивать это удовольствие на 6 визитов. Может Вы всё-таки что-то не совсем поняли из того что рассказывал врач? Я такое просто первый раз слышу..И как вариант имеет смысл показаться другому ортопеду, послушать альтернативное мнение. Можете на форуме поискать, тут много докторов из Москвы. Ссылка на комментарий
horoshie.veshi Опубликовано 3 февраля, 2016 Автор Поделиться Опубликовано 3 февраля, 2016 (изменено) Нерв минимально раздражается если аккуратно пилить под анестезией, с водяным охлаждением и использовать временные коронки. Не вижу целесообразности растягивать это удовольствие на 6 визитов. Может Вы всё-таки что-то не совсем поняли из того что рассказывал врач? Я такое просто первый раз слышу..И как вариант имеет смысл показаться другому ортопеду, послушать альтернативное мнение. Можете на форуме поискать, тут много докторов из Москвы.да, видимо, нужно об этом подумать... а завтра зубы просто вычистить от кариеса и походить со временными пломбами? Я просто не совсем понимаю технологию: при покрытии коронками временные пломбы меняют на постоянные или удаляют совсем?Я все-таки лелею шанс, что, когда зуб будет закрыт коронкой, и тепловое воздействие прекратится, может, он и беспокоить не будет от холодного, как сейчас... Но вот, если наоборот (( А поняла я правильно, что ж тут можно еще не понять: "я буду аккуратно снимать слой за слоем понемногу за минимум 4 визита, чтобы не перегреть нерв и свести шанс его воспаления к нулю/минимуму".... Изменено 3 февраля, 2016 пользователем horoshie.veshi Ссылка на комментарий
St. Опубликовано 3 февраля, 2016 Поделиться Опубликовано 3 февраля, 2016 С временными пломбами походить не получится. Под коронки они чаще всего из композита(как обычная пломба на зуб), если они недавно и хорошо поставленные то зуб опиливают вместе с пломбой, ничего не меняя. Пока Вы будете с временнми коронками - пульпит - это вобщем неприятно но не проблема. при возникновении ноющей боли или длительной самопроизвольной ночной - нужно быстренько звонить доктору и тогда убираются ""нервы". Но пока не уберете кариес и не сделают временные коронки узнать это не возможно. А поняла я правильно, что ж тут можно еще не понять: "я буду аккуратно снимать слой за слоем понемногу за минимум 4 визита, чтобы не перегреть нерв и свести шанс его воспаления к нулю/минимуму".... А между этими визитами предлагал ходить как? с открытым недопиленным зубом?? Ссылка на комментарий
horoshie.veshi Опубликовано 4 февраля, 2016 Автор Поделиться Опубликовано 4 февраля, 2016 St. : Спасибо, теперь хотя бы понимаю, что если с решением затяну, то можно поставить хорошую световую пломбу, и ее потом можно оставить в конструкции. Относительно технологии: Я так поняла (на пальцах ибо не медик), что после минимального снятия дентина он образует в течении какого-то времени (между приемами) типа защитного слоя что ли (или воздушной прослойки - точно не помню), и за счет него не даст пульпиту развиться. Словом, рассказывает красиво и логично для человека не близкого к теме... Подкрепляет свои доводы фиксированной суммой (а не за каждый прием) и гарантией. Поэтому, как-то сомнения сначала вроде не посещали... Ссылка на комментарий
red_butler Опубликовано 4 февраля, 2016 Поделиться Опубликовано 4 февраля, 2016 Обтачивать собирается за несколько раз понемногу, чтобы "не перегревать нерв" за 4-6 раз. что после минимального снятия дентина он образует в течении какого-то времени (между приемами) типа защитного слоя что ли (или воздушной прослойки - точно не помню), и за счет него не даст пульпиту развиться. в первый раз такое слышу. Заместительный дентин конечно будет образовываться, но за бооолее долгое время. Ссылка на комментарий
horoshie.veshi Опубликовано 4 февраля, 2016 Автор Поделиться Опубликовано 4 февраля, 2016 red_butler: Вот-вот - заместительный дентин! Именно.Это все не сразу, в течении 1,5-2 мес (только обточка 2 зубов, потом временные коронки). Разумеется, мне самой не хочется растягивать процесс на такое длительное время, тем более,каждое посещение это укол анастезии, а потом боль несколько суток от растревоженных нервов, и страх, а не выльется ли это в пульпит именно в этот раз, и не пойдут ли все усилия прахом Но я так поняла, оставить зуб живым он считает крайне важным, а другого способа минимизировать риски для нерва - нет... Вот и терзают меня сомнения, не плюнуть ли, не депульпировать ли все это разом, чтобы потом обточить за один прием без 2месячного ожидания, когда я полезу на стенку... Настолько ли быстрее рассыпаются депульпированные зубы, если покрыты коронками СРАЗУ после удаления нерва? Ссылка на комментарий
red_butler Опубликовано 4 февраля, 2016 Поделиться Опубликовано 4 февраля, 2016 Вот-вот - заместительный дентин! Именно. Это все не сразу, в течении 1,5-2 мес На его образование уйдет намного больше времени. Но я так поняла, оставить зуб живым он считает крайне важным, а другого способа минимизировать риски для нерва - нет... Аккуратное препарирование с полноценным охлаждением, покрытие десенситайзерами и временными коронками. Вот и терзают меня сомнения, не плюнуть ли, не депульпировать ли все это разом, чтобы потом обточить за один прием без 2месячного ожидания, когда я полезу на стенку... Вам уже предложили вариант, начинайте с лечения. Настолько ли быстрее рассыпаются депульпированные зубы, если покрыты коронками СРАЗУ после удаления нерва? нет конечно Ссылка на комментарий
horoshie.veshi Опубликовано 4 февраля, 2016 Автор Поделиться Опубликовано 4 февраля, 2016 (изменено) Вам уже предложили вариант, начинайте с лечения. Так этим и занимаюсь. Сегодня вычистили полностью 8 (абсолютно спокоен) и 7 со стороны их контакта. Попросила еще снимки переделать до начала лечения, чтобы не было половины "отрезанных" зубов... http://s015.radikal.ru/i332/1602/7e/ff3dd3436447.jpg http://s019.radikal.ru/i640/1602/e1/69b726316ccd.jpg 7 с его небольшой полостью со стороны контакта в принципе, до пульпы-то далеко, но в процессе к концу третьего часа начал ощутимо колоть на бормашину и воздух + десна раскровилась, и вот сейчас поднывает, но терпимо... Даже, если допустить, что эти ощущения от "растревоженности" через несколько дней уйдут, не уверена я что-то в своем желании проходить его обточку живым, чтобы не то, что 6 раз, а даже пару-тройку это терпеть... С другой стороны депульпирование и чистку каналов я тоже переношу очень болезненно, никогда еще не было так, чтобы не подпрыгивала в кресле от боли, "уколы" сильные и глубокие, их не снимает даже двойная доза Ультракаина... Трудный выбор. Депульпировать можно в субботу, когда будем делать 6 и 7 со стороны контакта... Изменено 4 февраля, 2016 пользователем horoshie.veshi Ссылка на комментарий
St. Опубликовано 4 февраля, 2016 Поделиться Опубликовано 4 февраля, 2016 Даже, если допустить, что эти ощущения от "растревоженности" через несколько дней уйдут, не уверена я что-то в своем желании проходить его обточку живым, чтобы не то, что 6 раз, а даже пару-тройку это терпеть... С другой стороны депульпирование и чистку каналов я тоже переношу очень болезненно, никогда еще не было так, чтобы не подпрыгивала в кресле от боли, "уколы" сильные и глубокие, их не снимает даже двойная доза Ультракаина... Трудный выбор. Аккуратное препарирование с полноценным охлаждением, покрытие десенситайзерами и временными коронками. проводится за один раз и под обезболиванием. Подумайте всё-таки о смене доктора. Ссылка на комментарий
horoshie.veshi Опубликовано 4 февраля, 2016 Автор Поделиться Опубликовано 4 февраля, 2016 (изменено) проводится за один раз и под обезболиванием. Подумайте всё-таки о смене доктора. Я вот сижу, прислушиваюсь к этим ноющим ощущениям, и думаю, что я все-таки не буду рисковать и ставить коронки на живой 7 зуб, какой бы доктор в итоге ни делал. В любом случае, если даже, я, как партизан, перетерплю пост-лечебные боли после чистки 7-6 контакта, а потом после обточки (не важно, сколько раз), зуб этот уже слишком ненадежный, чтобы доверять ему долгосрочный прогноз под коронкой... Я уже перенесла два острых пульпита (один - как раз в 7 напротив), боже упаси от третьего, да еще и под коронкой, до которого фиг потом доберешься... 6 - тогда посмотрим, как будет реагировать. Благодарю Вас очень. Ваши советы помогают, я хотя бы попробовала полечить, просто похоже, убеждаюсь, что дело не в кариесе. Уже не в нем. Немного странно, что в моем случае такие противные процессы возникают в зубах, которые по сравнению с другими, как раз в более-менее приличном состоянии. А те, что "на ладан дышат" - стоят, не болят, и черт им не брат... Изменено 4 февраля, 2016 пользователем horoshie.veshi Ссылка на комментарий
St. Опубликовано 4 февраля, 2016 Поделиться Опубликовано 4 февраля, 2016 Благодарю Вас очень. Ваши советы помогают, я хотя бы попробовала полечить, просто похоже, убеждаюсь, что дело не в кариесе. Уже не в нем. Пожалуйста! В любом случае - удачи Вам) Ссылка на комментарий
Рекомендуемые сообщения
Для публикации сообщений создайте учётную запись или авторизуйтесь
Вы должны быть пользователем, чтобы оставить комментарий
Создать аккаунт
Зарегистрируйте новый аккаунт в нашем сообществе. Это очень просто!
Регистрация нового пользователяВойти
Уже есть аккаунт? Войти в систему.
Войти