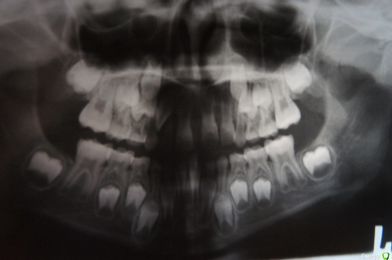
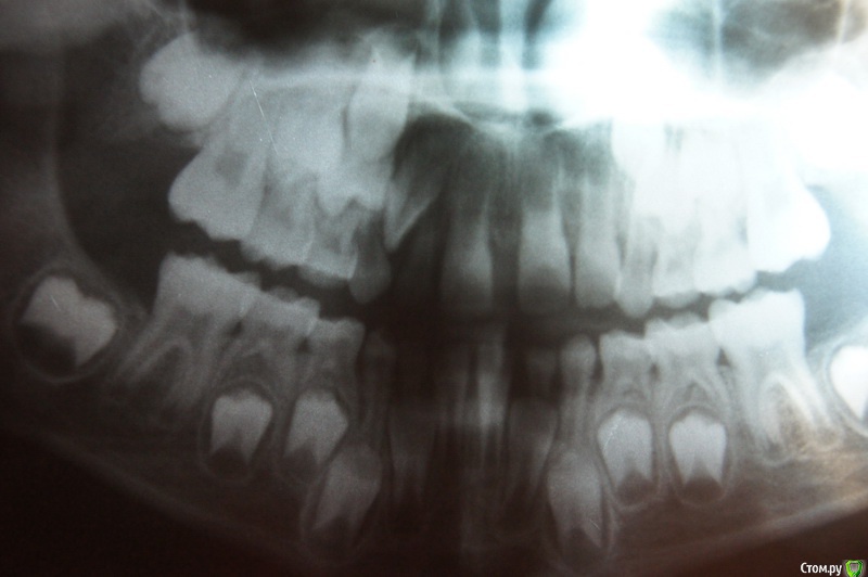
darida Опубликовано 2 февраля, 2016 Поделиться Опубликовано 2 февраля, 2016 (изменено) Ребёнок 8 лет (девочка). С рождения была массивная уздечка верхней губы (и "хвостик" из тканей десны между верхними передними резцами). Уздечку подрезали и подшили когда прорезались две постоянные единицы. Хвостик хирург не трогал, мотивируя тем, что когда зубы начнут сдвигаться (с помощью пластинки или брекетов - как решит ортодонт) - он рассосётся, так как мягкие ткани более податлитвы, чем рубцовые, которые образуется в случае его подрезания. Это было год назад.Через месяц после подрезания пошли к ортодонту. Ортодонт сказала приходить через год когда вылезут полностью постоянные двойки верхние, чтобы была возможность зацепить за них пластинку для устранения передней щели. На тот момент была только левая постоянная двойка, но кривая. Правая двойка по снимку тоже видно было, что вылезет кривой. Молочную правую двойку удалили вместе с подрезанием уздечки, так как не было даже намёка на шатание, а постоянная уже почти проклюнулась через десну над молочной.Двойки ортодонт сказала, что ровнять не будем пока не сменятся клыки.Несколько месяцев назад выпал сам правый молочный клык. Скорее всего его вытолкала эта постоянная двойка, так как очень-очень плотно стояла к нему, не было ни малейшей щели между ними (а вот между единицей и двойкой правыми - наоборот огромная щель, и многие (не врачи, естественно) даже принимают двойку за клык).В настоящее время побыли у другого ортодонта, которая предложила такой вариант: ориентировочно раз в год делать снимок, и когда будет видно, что постоянный клык уже продвигается вниз и скоро вылезет - поставить на передние верхние четыре зуба частичную брекет-систему (я уточняла на счет крепления - за шестёрки или как, но она сказала, что только именно на четыре зуба и всё) на месяца четыре ориентировочно, так как однокоренные зубы быстро сдвигаются и много времени не потребуется. А потом после становления резцов на место - установить со стороны языка "проволоку" до момента прорезывания клыков, чтобы зубы назад не разъехались.Пластинку она ставить категорически против, так как она наклоняет только коронку зуба и практически не воздействует на корень, то есть не подвигает зубы, а только наклоняет, а нам нужно именно передвигать (сдвигать) их.Прокомментируйте, пожалуйста, ситуацию и дайте советы и рекомендации.Если этих фото недостаточно, скажите какие ещё добавить.Снимок годичной давности, когда ещё был в наличии молочный правый клык. Изменено 2 февраля, 2016 пользователем darida Ссылка на комментарий
Yana guapa Опубликовано 4 февраля, 2016 Поделиться Опубликовано 4 февраля, 2016 Поддерживаю вариант "второго" ортодонта. Сейчас тоопиться не следует. Ближе к прорезыванию клыков начните собирать рецзы, и тем самым подготовите место для клыков. Клыки прорежутся и не дадут обратно разъехаться резцам. Ссылка на комментарий
darida Опубликовано 4 февраля, 2016 Автор Поделиться Опубликовано 4 февраля, 2016 Спасибо. Мне этот подход тоже ближе и "по душе". Только один вопрос гложет: "частичная" брекет система. Везде пишут, что брекеты частичные - это... ну вообщем совсем неправильно и непрофессионально...Но и ждать смены всех зубов и потом надевать брекеты на полные как то не хочется, если можно обойтись малой кровью так сказать, потому что по мнению нескольких врачей у которых мы были, с прикусом и размером челюсти всё в порядке и если место для клыка своевременно освободить - есть вероятность, что все остальные зубы вылезут правильно, а если не освободить, то уже однозначно неправильно, даже шанса нет.Хотелось бы услышать мнения врачей на счёт этой частичной брекет системы на 4 зуба. Это действительно применяется в практике и даёт хорошие результаты в подобных случаях? Действительно можна рассчитывать на 4 месяца ношения, или всё же 4 - это не реально в нашей ситуации и настраиваться на гораздо большее время?И про пластинку прокмментируйте, пожалуйста: действительно ли она только наклоняет и/или поворачивает только коронку зуба и не воздействует на корень, не перемещает целиком вместе с корнем? И пока не будет клыков - двойки никак к единицами не придвинуть пластинкой?Спасибо. Извините за много вопросов, просто хочется принять такое решение, в которм не будешь сомневаться. Зубы ведь только один раз меняются и второго шанса не будет. Ссылка на комментарий
Yana guapa Опубликовано 4 февраля, 2016 Поделиться Опубликовано 4 февраля, 2016 если место для клыка своевременно освободить - есть вероятность, что все остальные зубы вылезут правильно, а если не освободить, то уже однозначно неправильно, даже шанса нет. все верно. И про пластинку прокмментируйте, пожалуйста: действительно ли она только наклоняет и/или поворачивает только коронку зуба и не воздействует на корень, не перемещает целиком вместе с корнем? И пока не будет клыков - двойки никак к единицами не придвинуть пластинкой? все верно. двигаются, но недостаточно ровно Это действительно применяется в практике и даёт хорошие результаты в подобных случаях? Действительно можна рассчитывать на 4 месяца ношения, или всё же 4 - это не реально в нашей ситуации и настраиваться на гораздо большее время? применяется. и дает хорошие результаты)) . профилактика - лучшее лечение. Ссылка на комментарий
Yana guapa Опубликовано 4 февраля, 2016 Поделиться Опубликовано 4 февраля, 2016 Действительно можна рассчитывать на 4 месяца ношения, или всё же 4 - это не реально в нашей ситуации и настраиваться на гораздо большее время? я такие большие щели стараюсь закрывать за более длительное время (хотя бы 8-9 месяцев). + чем медленне и плавнее их стягивать, тем ровнее они двигаются на встречу друг другу. так что не ставьте никаких сроков, а просто спокойно закрывайте щели (+ у всех организм разный, и похожие клинические ситуации могут сильно отличаться по временным затратам) Ссылка на комментарий
darida Опубликовано 5 февраля, 2016 Автор Поделиться Опубликовано 5 февраля, 2016 Yana guapa, спасибо Вам большое за подробные разъяснения. А подскажите ещё - с какого в среднем возраста относительно безобасно устанавливать детям брекеты (я имею ввиду по зрелости эмали и формированию корней резцов, к какому в среднем возрасту это происходит)? Про сроки моё внутреннее чутьё и простая логика тоже подсказывали мне, что как то уж совсем маленькие сроки доктор называет с такими не просто большими, а огромными щелями, я тоже за принцип: "медленно, но верно" и "тише едешь - дальше будешь", по крайней мере в этой ситуации. Буду иметь ввиду Вашу рекомендацию. Огромное спасибо. И расскажите, если не сложно, что это за система такая частичная? Действительно только на 4 зуба и без всяких упоров на 6-ки или ещё куда? Или что обычно на практике в подобных случаях применяется у детей? Ссылка на комментарий
Yana guapa Опубликовано 5 февраля, 2016 Поделиться Опубликовано 5 февраля, 2016 с какого в среднем возраста относительно безобасно устанавливать детям брекеты (я имею ввиду по зрелости эмали и формированию корней резцов, к какому в среднем возрасту это происходит)? эмаль не имеет значение (ничего с ней не будет, если хорошо чистить зубы). Корни имеют значение, желательно чтобы корень был сформирован на 2/3 длины (это как раз около 9 лет). И расскажите, если не сложно, что это за система такая частичная? самые обычные брекеты, просто не полный набор приклеивается, а только 4 или 6. Действительно только на 4 зуба и без всяких упоров на 6-ки или ещё куда? я ставлю 4 брекета, а в конце добавляю 6-ки, чтобы можно было вставить дугу (она имеет форму правильной зубной дуги) и тогда вторые резцы будут стоять не в одной линии с центральными резцами, а как бы немного кзади, то есть по форме дуги. Ссылка на комментарий
darida Опубликовано 5 февраля, 2016 Автор Поделиться Опубликовано 5 февраля, 2016 Все понятно кроме одного: "...а в конце добавляю 6-ки..." Это Вы имеете ввиду в конце лечения, когда все резцы собрались и остаётся только их выстроить по форме дуги? Или "в конце" это имеется ввиду в конце челюсти, а устанавливается дуга сразу? Ссылка на комментарий
darida Опубликовано 6 февраля, 2016 Автор Поделиться Опубликовано 6 февраля, 2016 И ещё один вопрос волнует: хвастик этот между передними зубами. Как Ваше мнение: есть вероятность, что он рассосется, когда зубы начнут сдвигаться или хирургически его удалить пока ничего не поставили на зубы? Ссылка на комментарий
Yana guapa Опубликовано 8 февраля, 2016 Поделиться Опубликовано 8 февраля, 2016 И ещё один вопрос волнует: хвастик этот между передними зубами. Как Ваше мнение: есть вероятность, что он рассосется, когда зубы начнут сдвигаться или хирургически его удалить пока ничего не поставили на зубы?ничего удалять не надо. Это Вы имеете ввиду в конце лечения, когда все резцы собрались и остаётся только их выстроить по форме дуги? да. 1 Ссылка на комментарий
Рекомендуемые сообщения
Для публикации сообщений создайте учётную запись или авторизуйтесь
Вы должны быть пользователем, чтобы оставить комментарий
Создать аккаунт
Зарегистрируйте новый аккаунт в нашем сообществе. Это очень просто!
Регистрация нового пользователяВойти
Уже есть аккаунт? Войти в систему.
Войти