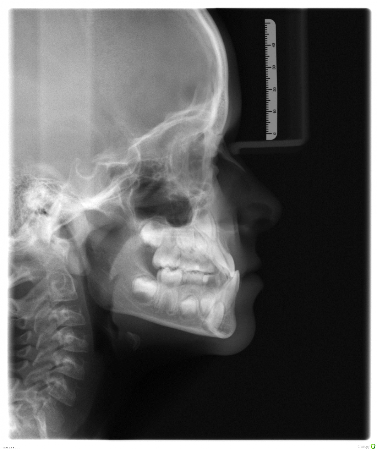
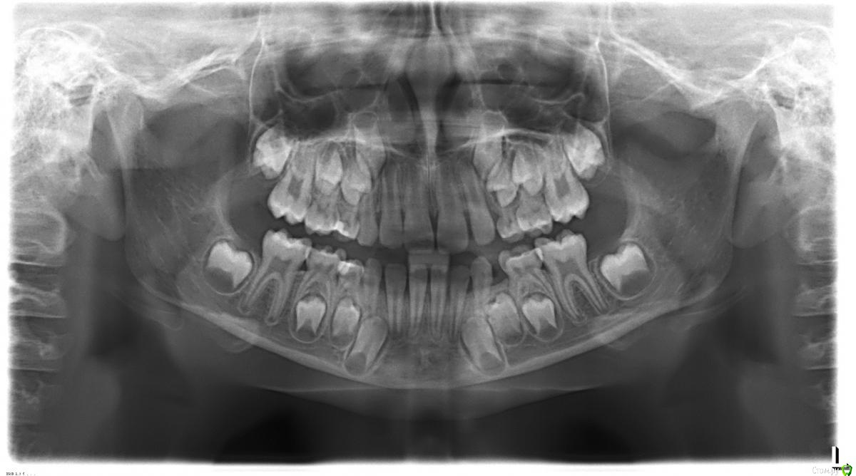
Светка255 Опубликовано 2 февраля, 2016 Поделиться Опубликовано 2 февраля, 2016 Здравствуйте, уважаемые врачи!Ребёнок, 8 лет, мезиальный прикус. Есть два различных мнения по поводу исправления:1). ночная капа OCCLUS-O-GUIDE.2). аппарат Брюкля.Мне сложно определиться, я не специалист, поэтому прошу ваших мнений и комментариев.Заранее спасибо! Ссылка на комментарий
Yana guapa Опубликовано 2 февраля, 2016 Поделиться Опубликовано 2 февраля, 2016 Ночная каппа работает только ночью (и час днем), но этого мало. Весь день ребенок будет "функционировать" не правильно. Лучше работают аппараты, которые 24ч во рту. Необязательно аппарат Брюкля, множество и других вариантов. Главное, разобраться с причиной, устранить все отрицательные сопутствующие факторы патологии и подобрать аппаратурное лечение. Ссылка на комментарий
Force Опубликовано 4 февраля, 2016 Поделиться Опубликовано 4 февраля, 2016 Ставит ли ребенок зубы стык-в-стык? Ссылка на комментарий
Светка255 Опубликовано 4 февраля, 2016 Автор Поделиться Опубликовано 4 февраля, 2016 Ставит ли ребенок зубы стык-в-стык? Да. Ссылка на комментарий
Светка255 Опубликовано 5 февраля, 2016 Автор Поделиться Опубликовано 5 февраля, 2016 Сегодня даже слегка задвинул нижнюю челюсть назад. Ссылка на комментарий
Рекомендуемые сообщения
Для публикации сообщений создайте учётную запись или авторизуйтесь
Вы должны быть пользователем, чтобы оставить комментарий
Создать аккаунт
Зарегистрируйте новый аккаунт в нашем сообществе. Это очень просто!
Регистрация нового пользователяВойти
Уже есть аккаунт? Войти в систему.
Войти