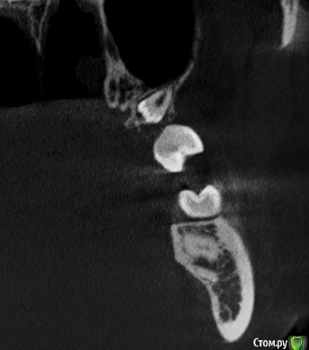
Astronaft Опубликовано 2 февраля, 2016 Поделиться Опубликовано 2 февраля, 2016 Создаю тему где предлагаю всем делиться случаями удаления сверхкомплектных зубов. Интересных "невосьмерок".Сверхкомплектные. "Девятки". "Десятки". Начну с мезиоденс'а. Пациентке 17 лет. Врожденная адентия 15,25,35, но сверхкомплектный межрезцовый резец. Без симптомов. Ушел легко.http://miworks.weebly.com/uploads/1/6/8/7/16879370/6952682_orig.jpg http://miworks.weebly.com/uploads/1/6/8/7/16879370/7284182_orig.jpg http://miworks.weebly.com/uploads/1/6/8/7/16879370/7082559_orig.jpg http://miworks.weebly.com/uploads/1/6/8/7/16879370/8629346_orig.jpg http://miworks.weebly.com/uploads/1/6/8/7/16879370/3198688_orig.jpg http://miworks.weebly.com/uploads/1/6/8/7/16879370/4948578_orig.jpg http://miworks.weebly.com/uploads/1/6/8/7/16879370/8219726_orig.jpg http://miworks.weebly.com/uploads/1/6/8/7/16879370/1060470_orig.jpg http://miworks.weebly.com/uploads/1/6/8/7/16879370/1118917_orig.jpg http://miworks.weebly.com/uploads/1/6/8/7/16879370/9400670_orig.jpg 12 Ссылка на комментарий
red_butler Опубликовано 2 февраля, 2016 Поделиться Опубликовано 2 февраля, 2016 Ортодонт прислал? Ссылка на комментарий
voff Опубликовано 2 февраля, 2016 Поделиться Опубликовано 2 февраля, 2016 приятно посмотреть на молодые ровные зубы 1 Ссылка на комментарий
Astronaft Опубликовано 3 февраля, 2016 Автор Поделиться Опубликовано 3 февраля, 2016 Ортодонт прислал?Сам нашёл при осмотре. Ссылка на комментарий
IvanK Опубликовано 3 февраля, 2016 Поделиться Опубликовано 3 февраля, 2016 Сам нашёл при осмотре.были жалобы? Ссылка на комментарий
Astronaft Опубликовано 3 февраля, 2016 Автор Поделиться Опубликовано 3 февраля, 2016 (изменено) были жалобы?Нет. В книгах пишут мезиоденс надо удалять как можно раньше, чтобы не влиял на резцы. Я был первый кто сделал панораму. Вот и удалил в результате. Изменено 3 февраля, 2016 пользователем Astronaft Ссылка на комментарий
Astronaft Опубликовано 1 марта, 2016 Автор Поделиться Опубликовано 1 марта, 2016 49 - беспокоила "тяжесть" справа в челюсти.Была тоненькая крыша сверху. После снятия зуб ушел легко.http://miworks.weebly.com/uploads/1/6/8/7/16879370/2644049_orig.jpg http://miworks.weebly.com/uploads/1/6/8/7/16879370/6494035_orig.jpg http://miworks.weebly.com/uploads/1/6/8/7/16879370/8303977_orig.jpg http://miworks.weebly.com/uploads/1/6/8/7/16879370/7427060_orig.jpg http://miworks.weebly.com/uploads/1/6/8/7/16879370/9619289_orig.jpg http://miworks.weebly.com/uploads/1/6/8/7/16879370/9179783_orig.jpg 6 Ссылка на комментарий
kriokov Опубликовано 1 марта, 2016 Поделиться Опубликовано 1 марта, 2016 Astronaftвопрос прозаический, чем крышу снимаете не обязательно у сверхкомплектных у ретенированных тоже, или когда ортодонты присылают зачатки нижних 8-х, лет в 13-14 удалять? работал и турбиной и пьезо. турбиной показалось быстро, но грязновато/ Пьезо аккуратно но медленно. Сейчас вроде приспособился физиодиспенсером , на наконечник 20 к 1 ставлю фрезу шаровидную для кости твердосплавную 4 мм в диаметре и на 2000 оборотах и торке 55 ньютон, крышу убираю. Ссылка на комментарий
L.E.S.I.K. Опубликовано 21 марта, 2016 Поделиться Опубликовано 21 марта, 2016 Интересный и редкий случай сегодня попался. Пациент 58 лет. Жалобы на то, что "прорезавшиеся" зубы в ментальном отделе мешают пользоваться съемным протезом. На лицо все признаки ключично-черепного дизостоза (хотя ранее диагноз не устанавливался.) Удалил зубы в ментальном отделе( кроме "лежащего" премоляра справа - много для доступа пришлось бы кости убирать,побоялся перелома) и гнилые корешки.8-ки не трогал по той же причине,тем более они не визуализируются в полости рта и пациент на них не жалуется.http://s017.radikal.ru/i409/1603/c6/9275a61b825e.jpghttp://s018.radikal.ru/i514/1603/4b/8e634c76a43c.jpghttp://s017.radikal.ru/i430/1603/3f/af56bb779752.jpg 10 Ссылка на комментарий
red_butler Опубликовано 21 марта, 2016 Поделиться Опубликовано 21 марта, 2016 какой запасливый пациент 1 Ссылка на комментарий
L.E.S.I.K. Опубликовано 21 марта, 2016 Поделиться Опубликовано 21 марта, 2016 какой запасливый пациент)) Еще на пару операций осталось. Ссылка на комментарий
dok1 Опубликовано 21 марта, 2016 Поделиться Опубликовано 21 марта, 2016 Ето что за ... незнаю названия? Ссылка на комментарий
L.E.S.I.K. Опубликовано 22 марта, 2016 Поделиться Опубликовано 22 марта, 2016 Ето что за ... незнаю названия?Если Вы спрашиваете, каков диагноз, то это наследственное заболевание- ключично-черепной дизостоз (болезнь Шейтхауэра-Мари-Сентона), одним из симптомов которого является гипердентия и множественная ретенция зубов. Ссылка на комментарий
dok1 Опубликовано 24 марта, 2016 Поделиться Опубликовано 24 марта, 2016 Именно это. Спасибо. Вроде ничего особенного. Много чего видел в хирургии. Но это как-то передёрнуло. Ссылка на комментарий
Дмитрий М Опубликовано 9 ноября, 2020 Поделиться Опубликовано 9 ноября, 2020 28,38 без особенностей29 под костным, повернут коронкой в небную сторону, нежно аккуратно, чтобы не протолкнуть в пазуху, удалял в зеркало 4 Ссылка на комментарий
Рекомендуемые сообщения
Для публикации сообщений создайте учётную запись или авторизуйтесь
Вы должны быть пользователем, чтобы оставить комментарий
Создать аккаунт
Зарегистрируйте новый аккаунт в нашем сообществе. Это очень просто!
Регистрация нового пользователяВойти
Уже есть аккаунт? Войти в систему.
Войти