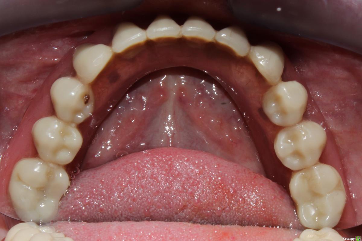
dr.Dre Опубликовано 1 февраля, 2016 Поделиться Опубликовано 1 февраля, 2016 Добрый день что это за система фиксации съёмников ? Ссылка на комментарий
Stomka Опубликовано 1 февраля, 2016 Поделиться Опубликовано 1 февраля, 2016 (изменено) я знаю, что это называется супрарадикулярный аттачмент.. по моему не тянет на громкое слово "система" Изменено 1 февраля, 2016 пользователем Stomka Ссылка на комментарий
anvladd Опубликовано 1 февраля, 2016 Поделиться Опубликовано 1 февраля, 2016 насколько надежны такие аттачменты? не повылетают из корней? Ссылка на комментарий
Дмитрий171 Опубликовано 1 февраля, 2016 Поделиться Опубликовано 1 февраля, 2016 СИЦ держит плохо. Фиксирую адгезивно на композитный цемент Ссылка на комментарий
Larnary Опубликовано 1 февраля, 2016 Поделиться Опубликовано 1 февраля, 2016 (изменено) Обычные Бреденты(или аналог) на вкладках. Реализация идеи ненадежная. Что касается протеза на нижнюю челюсть.Правильнее было бы сделать в протезе литую балку и вставить в нее матрицы. Изменено 1 февраля, 2016 пользователем Larnary Ссылка на комментарий
Doc Опубликовано 1 февраля, 2016 Поделиться Опубликовано 1 февраля, 2016 Прямо ностальгия замучала. ))Мы такие вкладки с шариками делали еще в прошлом веке в платной поликлинике. )) Надо же, еще живы. Кстати, парочка пациентов с этим по сей день ходит. 2 Ссылка на комментарий
Ronin Опубликовано 1 февраля, 2016 Поделиться Опубликовано 1 февраля, 2016 У меня это просто культевые аттачменты по типу бредента, как упомянули ранее)) иногда приходится делать, когда финансы не позволяют разгуляться на другие виды конструкций или в свете атрофии и сопутствуещей патологии.. Зато лучше, чем просто съемник при диабете или частичный. А по поводу фиксации самих замков, то как вкладки, если нормально ставить, соблюдая протокол, то ничего не вылетает))) Ссылка на комментарий
Beznika Опубликовано 2 февраля, 2016 Поделиться Опубликовано 2 февраля, 2016 Прямо ностальгия замучала а вы как делаете сейчас? Ссылка на комментарий
Doc Опубликовано 2 февраля, 2016 Поделиться Опубликовано 2 февраля, 2016 а вы как делаете сейчас? Ну, чаще всего, если нет кости и денег, то "все на четырех". Если даже на "все на четырех" денег не хватает, то съемник на балку. Ссылка на комментарий
Heatshock Опубликовано 2 февраля, 2016 Поделиться Опубликовано 2 февраля, 2016 Ну, чаще всего, если нет кости и денег, то "все на четырех". Если даже на "все на четырех" денег не хватает, то съемник на балку.Док, а все на 4х, зубы гарнитур или металлокомпозит/акрилат? Ссылка на комментарий
Doc Опубликовано 2 февраля, 2016 Поделиться Опубликовано 2 февраля, 2016 Док, а все на 4х, зубы гарнитур или металлокомпозит/акрилат? От гарнитура полностью отошли. Слишком часто зубы отваливаются. Сначала грешил на лабу. Менял техников, ругался, что плохо зачищают полировку, проверял наносят ли насечки, все равно отваливаются. Стали делать композит - все прошло. Правда композит у курильщиков чернеет на счет раз. Бегают на чистку каждые несколько месяцев. Так что если есть возможность, делаю мк или ДЦ, если нет, то металлокомпозит. У каждого варианта свои недостатки. Идеала нет. Ссылка на комментарий
Beznika Опубликовано 2 февраля, 2016 Поделиться Опубликовано 2 февраля, 2016 все на четырех". Если даже на "все на четырех" денег не хватает, то съемник на балку есть ли грамотные книженции на данную тему? спасибо за ответы Ссылка на комментарий
Heatshock Опубликовано 2 февраля, 2016 Поделиться Опубликовано 2 февраля, 2016 (изменено) От гарнитура полностью отошли. Слишком часто зубы отваливаются. Сначала грешил на лабу. Менял техников, ругался, что плохо зачищают полировку, проверял наносят ли насечки, все равно отваливаются. Стали делать композит - все прошло. Правда композит у курильщиков чернеет на счет раз. Бегают на чистку каждые несколько месяцев. Так что если есть возможность, делаю мк или ДЦ, если нет, то металлокомпозит. У каждого варианта свои недостатки. Идеала нет.Аналогичные проблемы были. Делаю мк сейчас. Пока не нашел техника который делал бы металлокомпозит нормальный. У вас техник какой использует композит? Изменено 2 февраля, 2016 пользователем Heatshock Ссылка на комментарий
Doc Опубликовано 2 февраля, 2016 Поделиться Опубликовано 2 февраля, 2016 Керамаж, кажется сейчас. Он несколько перепробовал. Ссылка на комментарий
Doc Опубликовано 2 февраля, 2016 Поделиться Опубликовано 2 февраля, 2016 есть ли грамотные книженции на данную тему? спасибо за ответы Хм, есть даже грамотные курсы. Правда дороговатые немного и не у нас.Тут баннер Нобеля наверху регулярно крутит рекламу. Ссылка на комментарий
GurDoc Опубликовано 4 февраля, 2016 Поделиться Опубликовано 4 февраля, 2016 (изменено) Хм, есть даже грамотные курсы. Правда дороговатые немного и не у нас.Тут баннер Нобеля наверху регулярно крутит рекламу. Подскажите всё на 4х,те несьемная? И что вы имеете ввиду гарнитур зубы от от сьемника на планшетке :-D У меня был негативный опыт такого колхоза, то патрицы вылетели, сажали потом на супер глюк,то расцеминтирвка -может из-за несвоевременного перебаза ,а глядишь и зуб навыход по причине уже сказанного диабета, печально. Изменено 4 февраля, 2016 пользователем GurDoc Ссылка на комментарий
Doc Опубликовано 4 февраля, 2016 Поделиться Опубликовано 4 февраля, 2016 Подскажите всё на 4х,те несьемная? И что вы имеете ввиду гарнитур зубы от от сьемника на планшетке :-DУ меня был негативный опыт такого колхоза, то патрицы вылетели, сажали потом на супер глюк,то расцеминтирвка -может из-за несвоевременного перебаза ,а глядишь и зуб навыход по причине уже сказанного диабета, печально. От гарнитура полностью отошли. Слишком часто зубы отваливаются. Сначала грешил на лабу. Менял техников, ругался, что плохо зачищают полировку, проверял наносят ли насечки, все равно отваливаются. Стали делать композит - все прошло. Правда композит у курильщиков чернеет на счет раз. Бегают на чистку каждые несколько месяцев. Так что если есть возможность, делаю мк или ДЦ, если нет, то металлокомпозит. У каждого варианта свои недостатки. Идеала нет. Ссылка на комментарий
GurDoc Опубликовано 4 февраля, 2016 Поделиться Опубликовано 4 февраля, 2016 Отличный ответ,но по-моему вы это уже писали Ссылка на комментарий
Doc Опубликовано 4 февраля, 2016 Поделиться Опубликовано 4 февраля, 2016 Отличный ответ,но по-моему вы это уже писалиТогда я не понял вопроса. Разбейте на два полегче. Ссылка на комментарий
Evikrol Опубликовано 4 февраля, 2016 Поделиться Опубликовано 4 февраля, 2016 есть ли грамотные книженции на данную тему? спасибо за ответы Тоже бы от литературы не отказался. А так да нобель в португалию возит к Пало Мало. Неплохой курс, все вроде очень просто, но не хватает литературы Ссылка на комментарий
Рекомендуемые сообщения
Для публикации сообщений создайте учётную запись или авторизуйтесь
Вы должны быть пользователем, чтобы оставить комментарий
Создать аккаунт
Зарегистрируйте новый аккаунт в нашем сообществе. Это очень просто!
Регистрация нового пользователяВойти
Уже есть аккаунт? Войти в систему.
Войти