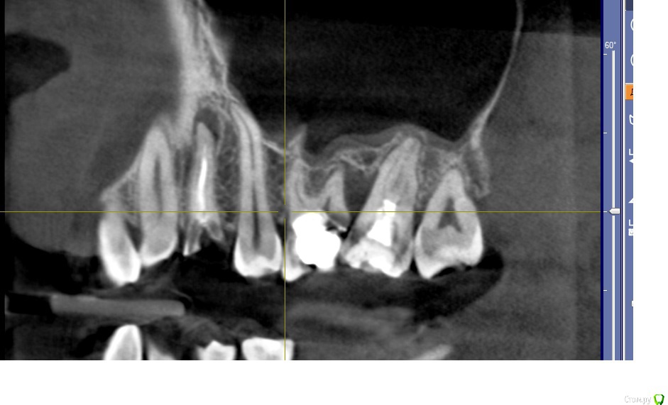
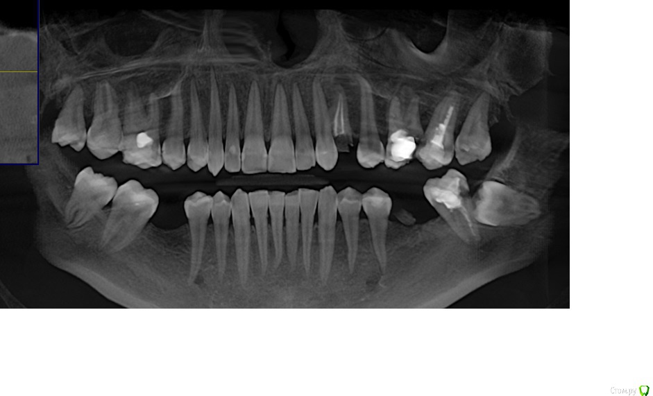
Doctor Vlad Опубликовано 31 января, 2016 Поделиться Опубликовано 31 января, 2016 здравствуйте!зуб 24 и корешок 36 удалены ранее 2 мес назад, слева: и верх и низ молярная группа сохранению не подлежит! 26 ниже уровня кости разрушен... карман между 26 и 27 до верхушки. 7 подвижна слегка. пациент хочет имплант в 24 первоначально. удалять жевательную группу пока не хочет но протезировать будет на имплантах.мои мысли: поставить 24 да пусть он там приживается месяца 3. тем временем удалить верх 26 27 кюретаж засыпать БИООС для сохранения высоты кости мембрана зашить. 28 как стенка дефекта пусть постоит) по заживлению верха удаление низ 37 38. через 3 месяца импланты в области 26 и 36.. чз месяца 3 одновременно запротезировать 24 26 36 и ввести в функцию.не стоит отдельно перегружать 24, лучше уговорить на одномоментную нагрузку? сильно перегрузиться правая сторона за время отсутствия левой? ваше мнение? альтернативные варианты.. предложения)? Ссылка на комментарий
Doctor Vlad Опубликовано 2 февраля, 2016 Автор Поделиться Опубликовано 2 февраля, 2016 что совсем нет мыслей? до 6 или 7 имплантировать? оставить 27 и 37 зуб для удержания прикуса? Ссылка на комментарий
Рекомендуемые сообщения
Для публикации сообщений создайте учётную запись или авторизуйтесь
Вы должны быть пользователем, чтобы оставить комментарий
Создать аккаунт
Зарегистрируйте новый аккаунт в нашем сообществе. Это очень просто!
Регистрация нового пользователяВойти
Уже есть аккаунт? Войти в систему.
Войти