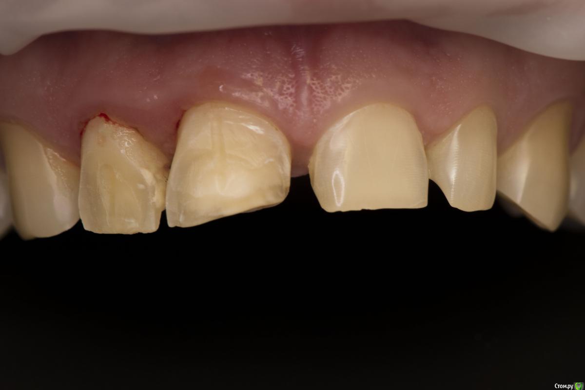
K.E. Опубликовано 29 января, 2016 Поделиться Опубликовано 29 января, 2016 (изменено) 1.1 и 2.1 стояли штамповки на момент фотографирования были сняты.сделано восковое планирование, перенос не очень получился.преп маркер 0.3виниры e.max Изменено 29 января, 2016 пользователем K.E. 3 Ссылка на комментарий
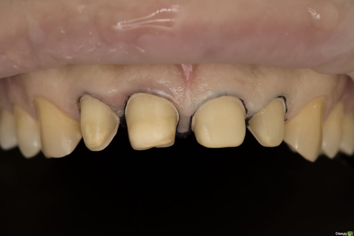
Evikrol Опубликовано 29 января, 2016 Поделиться Опубликовано 29 января, 2016 Фотографии с окончательным дизайном препарирования есть? Ссылка на комментарий
diesel87 Опубликовано 29 января, 2016 Поделиться Опубликовано 29 января, 2016 кмк уступы рваные, не ровные, или мне кажется. Пациент доволен? Ссылка на комментарий
K.E. Опубликовано 29 января, 2016 Автор Поделиться Опубликовано 29 января, 2016 пациент доволен, с препом не пойму как добавить. Ссылка на комментарий
Evikrol Опубликовано 29 января, 2016 Поделиться Опубликовано 29 января, 2016 Так же как и другие фото 1 Ссылка на комментарий
K.E. Опубликовано 29 января, 2016 Автор Поделиться Опубликовано 29 января, 2016 преп 4 Ссылка на комментарий
Evikrol Опубликовано 29 января, 2016 Поделиться Опубликовано 29 января, 2016 Аккуратное препарирование Ссылка на комментарий
K.E. Опубликовано 29 января, 2016 Автор Поделиться Опубликовано 29 января, 2016 Спасибо Ссылка на комментарий
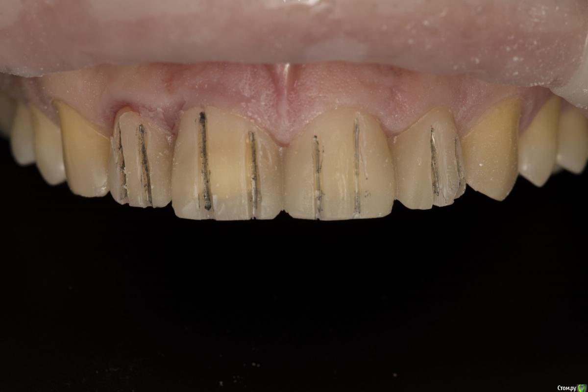
Rasim-AZ Опубликовано 29 января, 2016 Поделиться Опубликовано 29 января, 2016 Кажется центральные низкие и широкие. Можно было дистальные углы боле сглаженные сделать.. имхо. Это к технику. А врач старался. Ссылка на комментарий
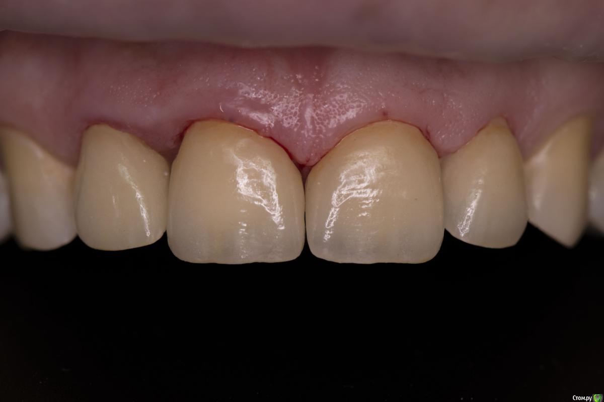
GurDoc Опубликовано 4 февраля, 2016 Поделиться Опубликовано 4 февраля, 2016 Здорого!кмк препарирование превосходит виниры)))а что за цвет а3.5или Б 3-4? Ссылка на комментарий
K.E. Опубликовано 4 февраля, 2016 Автор Поделиться Опубликовано 4 февраля, 2016 A3 Ссылка на комментарий
Рекомендуемые сообщения
Для публикации сообщений создайте учётную запись или авторизуйтесь
Вы должны быть пользователем, чтобы оставить комментарий
Создать аккаунт
Зарегистрируйте новый аккаунт в нашем сообществе. Это очень просто!
Регистрация нового пользователяВойти
Уже есть аккаунт? Войти в систему.
Войти