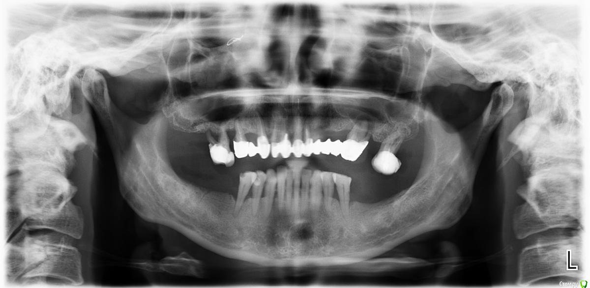
Татьяна_1973 Опубликовано 28 января, 2016 Поделиться Опубликовано 28 января, 2016 Здравствуйте!Интересует вопрос: возможна ли постановка имплантов при таком состоянии зубов и челюсти (все отягощено еще и курением с периодическим бросанием )? Врачи говорят: снимаем мост, удаляем весь верх, постановка имплантов невозможна при таком пародондите (он является абсолютным противопоказанием), только съемная. Лечение не предлагают. Морально совсем не готова "зубы на полку").И был уже опыт отказов от меня в моем городке 12 лет назад, мост делали в соседнем, простоял 12 лет вместо 5-7 обещанных. Тогда тоже здесь говорили, убираем все, делаем съемную. Понимаю, что ситуация не улучшилась, а только ухудшилась. Но, читая форум, предполагаю, что варианты вполне могут быть. На данный момент половина моста просто снимается (как сделал врач при осмотре), потому решать надо сейчас и, если решаться на возможность имплантов, искать врача в радиусе сотен километров .Не знаю, важно или нет, был перелом верхней челюсти права (говоря по-обывательски, альвеолярного отростка - так по-моему правильно?), при первом протезировании (12 лет назад) отказ в постановке имплантов был именно по этой причине: что они однозначно не приживутся (перелом случился за год до начала протезирования). Заранее большое спасибо Ссылка на комментарий
Evikrol Опубликовано 28 января, 2016 Поделиться Опубликовано 28 января, 2016 Для планирования имплантации необходима трёхмерная компьютерная томограмма. Но думаю что на верхней челюсти можно поставить "все на 4" с одномоментным удалением и мплантацией. Временный несъёмный протез будет готов в течении недели. 2 Ссылка на комментарий
Татьяна_1973 Опубликовано 28 января, 2016 Автор Поделиться Опубликовано 28 января, 2016 (изменено) Вы подарили надежду,спасибо!!! где делать КТ - еще не знаю, но буду уточнять.Скажите пож-ста, а наращивание кости (не знаю, как это верно называется) - необходимо?и не могли бы Вы при возможности написать здесь план работ)))? мне понять хотя бы приблизительно по времени и каких врачей искать...спасибо! и скажите, я могу просто прийти в клинику и попросить сделать КТ? или необходимы какие-то особенные слова?) Изменено 28 января, 2016 пользователем Татьяна_1973 Ссылка на комментарий
Evikrol Опубликовано 28 января, 2016 Поделиться Опубликовано 28 января, 2016 Найдите в интернете клинику в вашем районе которая работает по технологии всё на 4 ( all on 4) так и наберите в поисковике "все на 4" и ваш город. При соблюдении данного протокола костная пластика не потребуется. Ссылка на комментарий
Татьяна_1973 Опубликовано 28 января, 2016 Автор Поделиться Опубликовано 28 января, 2016 спасибо, но у нас такого нету. буду искать по соседям Ссылка на комментарий
Evikrol Опубликовано 28 января, 2016 Поделиться Опубликовано 28 января, 2016 Удачи вам. 1 Ссылка на комментарий
Evikrol Опубликовано 28 января, 2016 Поделиться Опубликовано 28 января, 2016 http://s017.radikal.ru/i415/1601/e5/d9705620a6d5.jpghttp://s011.radikal.ru/i315/1601/e4/e74ace2ad4db.jpg Протез выглядит так Ссылка на комментарий
Татьяна_1973 Опубликовано 29 января, 2016 Автор Поделиться Опубликовано 29 января, 2016 по соседям тоже ничего не нашла. ссылки выходят Москва, С-петербург. Может я ощибаюсь и в Сибири тоже это делают? не прошу указать отдельную клинику, а просто продолжать ли искать дальше)))спасибо и отдельное огромное спасибо Evikrol за пояснения! Ссылка на комментарий
Большой Зеленый Опубликовано 29 января, 2016 Поделиться Опубликовано 29 января, 2016 по соседям тоже ничего не нашла. ссылки выходят Москва, С-петербург. Может я ощибаюсь и в Сибири тоже это делают? не прошу указать отдельную клинику, а просто продолжать ли искать дальше)))спасибо и отдельное огромное спасибо Evikrol за пояснения!В каком городе Вы живете? Ссылка на комментарий
Татьяна_1973 Опубликовано 29 января, 2016 Автор Поделиться Опубликовано 29 января, 2016 Бийск Ссылка на комментарий
Большой Зеленый Опубликовано 29 января, 2016 Поделиться Опубликовано 29 января, 2016 потому решать надо сейчас и, если решаться на возможность имплантов, искать врача в радиусе сотен километров . Нет пророка в своем отечестве... 3 Ссылка на комментарий
Большой Зеленый Опубликовано 29 января, 2016 Поделиться Опубликовано 29 января, 2016 ..В личке Ссылка на комментарий
Рекомендуемые сообщения
Для публикации сообщений создайте учётную запись или авторизуйтесь
Вы должны быть пользователем, чтобы оставить комментарий
Создать аккаунт
Зарегистрируйте новый аккаунт в нашем сообществе. Это очень просто!
Регистрация нового пользователяВойти
Уже есть аккаунт? Войти в систему.
Войти