___49___ Опубликовано 24 января, 2016 Поделиться Опубликовано 24 января, 2016 Интересен любой материал - текстовый , видеофайлы , ссылки по теме протезирование при расщелине твердого неба . И безусловно интересен ваш бесценный опыт протезирования при данной патологии ( во любых ее клинических вариациях ) врожденной, приобретенной, с отсутствием части зубного ряда, полные не полные и т.д. Авансом огромное спасибо всем кто поделится опытом и знаниями. Ссылка на комментарий
m.d.n Опубликовано 25 января, 2016 Поделиться Опубликовано 25 января, 2016 Интересен любой материал - текстовый , видеофайлы , ссылки по теме протезирование при расщелине твердого неба . И безусловно интересен ваш бесценный опыт протезирования при данной патологии ( во любых ее клинических вариациях ) врожденной, приобретенной, с отсутствием части зубного ряда, полные не полные и т.д. Авансом огромное спасибо всем кто поделится опытом и знаниями.Что вам именно нужно.У меня достаточно опыта в этом вопросе В тюмени там Белоусов такой есть. К нему не пробовали? Ссылка на комментарий
___49___ Опубликовано 25 января, 2016 Автор Поделиться Опубликовано 25 января, 2016 Доброго времени. Я не в самой Тюмени - про Белоусова не слышал (спасибо поинтересуюсь) . На данный момент у меня клинический случай - расщелина с отсутствием фронтальной группы зубов. Мне интересны все клинические и лабораторные этапы замещения подобных дефектов ( осознаю что информация достаточно объемная - тем более для меня - только начинающего подобные работы ) . показания и противопоказания к тем или иным конструкциям , технические тонкости ( типа полого обтюратора) , целесообразность использования мягкой подложки, можно ли выполнить небольшой буртик с отрицательным углом из мягкой подложки входящий в носовую полость ( может это категорически запрещено) ? ..... Ссылка на комментарий
m.d.n Опубликовано 26 января, 2016 Поделиться Опубликовано 26 января, 2016 фото и КТ Ссылка на комментарий
___49___ Опубликовано 28 января, 2016 Автор Поделиться Опубликовано 28 января, 2016 m.d.n. благодарю за вашу помощь - спасибо вам и создателям данного форума за возможность такого общения.По теме сейчас выложу модели , позже будет КТ - насчет Фото пока не обещаю. Ссылка на комментарий
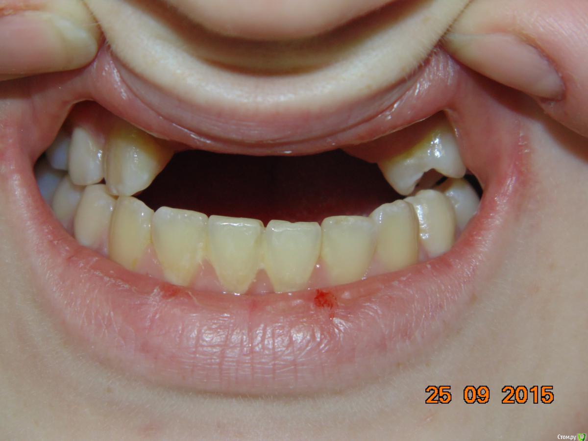
___49___ Опубликовано 2 февраля, 2016 Автор Поделиться Опубликовано 2 февраля, 2016 Спасибо за участие - более детально можно описание или хронологию в фото, как изготавливался протез , что за вид протеза, какой дефект был изначально , что сделали с зубами и т.д. заранее спасибо . Ссылка на комментарий
___49___ Опубликовано 2 февраля, 2016 Автор Поделиться Опубликовано 2 февраля, 2016 m.d.n. Есть КТ - дайте адрес я вам скину по почте ( в КТ имеются данные пациента, выкладывать в общедоступном разделе форума считаю неправильным). фото сейчас загружу - но на них принципиальной разницы с ранее выложенными моделями нет( на моделях по моему даже лучше видно) . Ссылка на комментарий
___49___ Опубликовано 2 февраля, 2016 Автор Поделиться Опубликовано 2 февраля, 2016 фото Ссылка на комментарий
___49___ Опубликовано 8 февраля, 2016 Автор Поделиться Опубликовано 8 февраля, 2016 Как говорится " если гора не идет к Магомеду, то Магомед сам пойдет к горе " . В общем предоставляю на обозрение итог протезирования расщелины. От коллег хочу услышать объективную критику ( можно и не объективную ), особенно ценен будет отзыв от тех, кто этим занимается . Спасибо . 4 Ссылка на комментарий
___49___ Опубликовано 11 февраля, 2016 Автор Поделиться Опубликовано 11 февраля, 2016 еще фото Ссылка на комментарий
bugel Опубликовано 11 февраля, 2016 Поделиться Опубликовано 11 февраля, 2016 Из какого металла лили? Ссылка на комментарий
___49___ Опубликовано 11 февраля, 2016 Автор Поделиться Опубликовано 11 февраля, 2016 КХС Ссылка на комментарий
Ronin Опубликовано 11 февраля, 2016 Поделиться Опубликовано 11 февраля, 2016 (изменено) Неплохо вышло, только ретракторы лучше угловые, чтоб не пальцами) а то за дурной тон примут))Впервые такого плана работу делали с сообщением ороантральным, кажется так называется?! Выглядит массивно и надежно) ахаха Изменено 11 февраля, 2016 пользователем Ronin Ссылка на комментарий
___49___ Опубликовано 12 февраля, 2016 Автор Поделиться Опубликовано 12 февраля, 2016 (изменено) Спасибо , да делал впервые , у меня очень хороший коллега, техник с которым можно вести конструктивный диалог, и который с любовью относится к своей работе. Если бы был не уверен, что он сможет воплотить в жизнь то, что я задумал, не стал бы браться за такую работу. Изменено 12 февраля, 2016 пользователем ___49___ Ссылка на комментарий
Ronin Опубликовано 12 февраля, 2016 Поделиться Опубликовано 12 февраля, 2016 Спасибо , да делал впервые , у меня очень хороший коллега, техник с которым можно вести конструктивный диалог, и который с любовью относится к своей работе. Если бы был не уверен, что он сможет воплотить в жизнь то, что я задумал, не стал бы браться за такую работу.Вспомнил ,что есть книга "Челюстно-лицевое протезирование - ортопедические методы лечения дефектов чло" Миняева ВА, если еще интересно изучить тему, то весьма актуально будет) Ссылка на комментарий
m.d.n Опубликовано 14 февраля, 2016 Поделиться Опубликовано 14 февраля, 2016 Нормально , дефект у пациента послеоперациооный? непохоже на впр. Ссылка на комментарий
___49___ Опубликовано 14 февраля, 2016 Автор Поделиться Опубликовано 14 февраля, 2016 (изменено) Да дефект приобретенный . Изменено 14 февраля, 2016 пользователем ___49___ Ссылка на комментарий
Рекомендуемые сообщения
Для публикации сообщений создайте учётную запись или авторизуйтесь
Вы должны быть пользователем, чтобы оставить комментарий
Создать аккаунт
Зарегистрируйте новый аккаунт в нашем сообществе. Это очень просто!
Регистрация нового пользователяВойти
Уже есть аккаунт? Войти в систему.
Войти