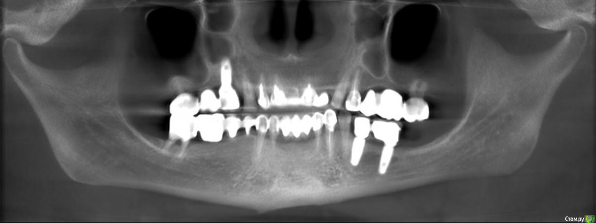
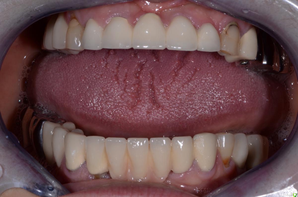
DimaKoleso Опубликовано 24 января, 2016 Поделиться Опубликовано 24 января, 2016 Доктора, вот такая пациентка пришла. Что бы вы сделали? Ссылка на комментарий
johniola Опубликовано 24 января, 2016 Поделиться Опубликовано 24 января, 2016 Я бы на ней не женился 10 Ссылка на комментарий
red_butler Опубликовано 24 января, 2016 Поделиться Опубликовано 24 января, 2016 А чего хочет сама пациентка? Ссылка на комментарий
Lolopop Опубликовано 24 января, 2016 Поделиться Опубликовано 24 января, 2016 1.выяснений пожеланий пациента2.внимательный анализ кт, 3. вакс-ап 2 Ссылка на комментарий
DimaKoleso Опубликовано 24 января, 2016 Автор Поделиться Опубликовано 24 января, 2016 Пациентка хочет все белое и верх и низ Ссылка на комментарий
red_butler Опубликовано 24 января, 2016 Поделиться Опубликовано 24 января, 2016 Есть обычная панорама?3.2 4.2 4.7 на выход Ссылка на комментарий
DimaKoleso Опубликовано 24 января, 2016 Автор Поделиться Опубликовано 24 января, 2016 А что по поводу 27 и 17? Ссылка на комментарий
red_butler Опубликовано 24 января, 2016 Поделиться Опубликовано 24 января, 2016 А что по поводу 27 и 17?По вашему снимку, видно только, что эти зубы есть Ссылка на комментарий
Ronin Опубликовано 5 февраля, 2016 Поделиться Опубликовано 5 февраля, 2016 Доктора, вот такая пациентка пришла. Что бы вы сделали?Балка возможна при сильном желании, локаторы теже, или на шариках, если доставить имплантатов, на культевых аттачменах, если хотим что-то оставить своего, бюгелёк даже можно, после оценки КЛКТ, конечно все это при всех удачных аспектах и оговорках, а также правильном планировании и понимании финансов)) Ссылка на комментарий
Рекомендуемые сообщения
Для публикации сообщений создайте учётную запись или авторизуйтесь
Вы должны быть пользователем, чтобы оставить комментарий
Создать аккаунт
Зарегистрируйте новый аккаунт в нашем сообществе. Это очень просто!
Регистрация нового пользователяВойти
Уже есть аккаунт? Войти в систему.
Войти